作为一名呼吸科大夫,经常要劝人戒烟,大部分人都会同意吸烟有害健康,但总有一小部分人会逆反的笑笑,甚至还会有人分辨说,谁谁又喝酒又抽烟却获得长寿,凭什么我抽烟就会肺气肿,通常碰到这样的患友,我并不急于一时的要说服他,因为吸烟很容易在肺功能上呈现出下降趋势,白纸黑字的数字会说服患友。吸烟和肺气肿之前到底存在怎样的关系呢?

吸烟就是吸PM2.5
现在炒的很热的名词就是PM2.5,大家谈之色变,仿佛吸入PM2.5就会生肺癌,对他的恐惧促使其成为一个公共话题,一到冬天就成了热搜名词。事实上香烟燃烧后产生的烟雾最主要的成分就是PM2.5,其成分之复杂和有害,不亚于汽车尾气和工业废气产生的环境污染,因此,香烟对肺的危害和环境污染的颗粒物是一样的。
吸烟的人是不是一定会得肺气肿
事实上,吸烟后每一个人的反应是不一样的,慢性支气管炎以及肺气肿只是吸烟所导致的最常见的肺部疾病,与吸烟相关的肺部疾病至少有100余种,有人吸烟得肺气肿, 有的人得肺纤维化,甚至有人吸烟后肺功能几乎没有下降,其中的原因尚未完全研究清楚,这与有的人的酒量不同是一样的道理,但是无论人的酒量怎么样,无限制的喝下去,总会有一瓶就让人醉倒。

影响人寿命的因素不仅仅是吸烟
抽烟喝酒每顿红烧肉活到八九十岁的人大有人在,但人的健康相互之间是没有可比性的,寿命的影响因素也并不是只有吸烟喝酒,有的人一生勤于锻炼,身体素质很好,但一场大病就一蹶不振,有的人病病歪歪,却歪歪扭扭的活的长寿,你看到的可能只是表面上的恶习,别人很多优越条件可能是你看不到的。

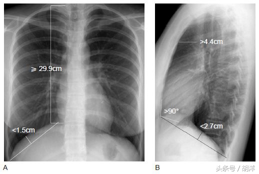
肺气肿患者的胸廓各个指标超过标准值
吸烟对于人来说几乎是有百害无一利,从口腔,咽喉到气管食道,每一个香烟经过的通道都受到其强烈的影响,身体中的多种疾病与香烟有关,人的生命只有一次,不要用自己的身体去试探香烟的危害。