乳腺癌超声可见粗大血流信号 (乳腺癌超声表现)

【知识要点】

1.概述

乳腺癌是女性最常见的恶性肿瘤之一,发病率呈逐年上升趋势。乳腺癌分为非浸润癌、浸润癌和特殊性癌三大类,临床上以浸润性导管癌最为多见。乳腺癌发病与激素、遗传、环境等相关,如晚生育、未哺乳、高脂肪、放射线照射和缺乏锻炼等。

乳腺癌的超声图像表现,早期乳腺癌的超声表现 2. 临床表现

早期可无任何症状,部分因乳头血性溢液而发现;中期常有无痛、质地硬肿块;晚期出现乳房疼痛、肿大变形、形成溃疡等。临床实践表明,凡45岁以上妇女在乳房内发现无痛性肿块,应引起高度警惕,考虑乳腺癌的可能。

3.预防治疗

建议女性朋友了解乳腺疾病的科普知识,养成定期乳腺自查习惯,积极参加乳腺癌筛查,坚持锻炼并保持良好的生活方式。乳腺癌的治疗主要包括手术、化疗、放射治疗以及靶向治疗。

【超声声像图特征】

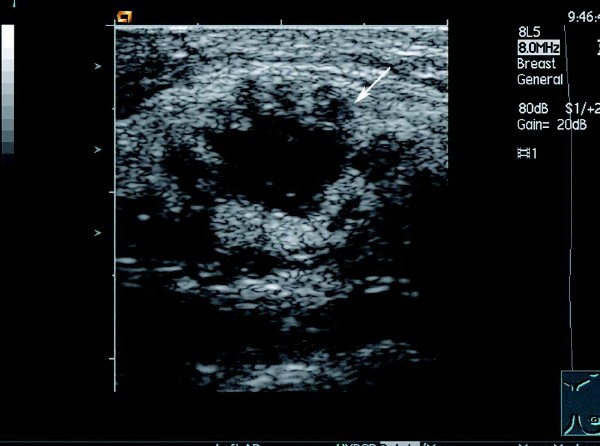
1. 肿块位于乳腺腺体内,边界模糊、不规则,多无包膜,呈浸润状、锯齿状或蟹足状,肿物的前后径大于左右径。

乳腺癌的超声图像表现,早期乳腺癌的超声表现 2. 内部多呈低回声,少数呈等回声或稍强回声,回声不均匀,可以见到不伴声影的点状、簇状和弧形强回声钙化灶;发生出血、坏死时,可出现不规则液性暗区。

乳腺癌的超声图像表现,早期乳腺癌的超声表现 3. 后方回声衰减,在浸润性导管癌和硬癌中比较常见,侵及乳腺后间隙,出现后间隙变薄或消失;侵及肌层,出现肌筋膜连续性中断。但有些少见癌(如单纯癌和髓样癌)中则不一定出现回声衰减,甚至可能会出现后方回声增强的征象。

乳腺癌的超声图像表现,早期乳腺癌的超声表现 4. 部分肿块边缘可出现“恶性晕”征,表现为肿块前壁和侧壁不规则、厚薄不均的强回声带包绕,厚度约 1~3 mm

5.CDFI 显示肿块周边及内部血流信号增多,并有新生血管及动-静脉瘘形成,内见穿支动脉血流,形成高速高阻及动静脉混叠现象。

【鉴别诊断】

乳腺癌主要与乳腺良性病变进行鉴别诊断,主要鉴别点有:

①恶性病变形态不规则、小分叶状,边缘模糊、有毛刺,多有强回声“晕环”;良性病变形态规则的圆形或椭圆形或呈大分叶状,边缘光滑、有包膜,无“晕环”。

②恶性病变内部回声强弱不均,多有成簇的沙砾样钙化,纵横比>1,无侧方声影,后方回声多有衰减;良性病变内部回声为均匀弱回声,无或有粗大钙化,纵横比<1,有侧方声影,后方回声无变化或稍增强。

③恶性病变内部血流丰富、杂乱,频谱以高速高阻型为主;良性病变内部无血流或仅少许点线状血流信号频谱以低速低阻型为主。

【经典病例】

患者,女,46岁。查体时发现右乳腺一肿物,活动度差,质硬。超声检查报告显示:右侧乳腺外上下象限乳腺边缘可见一大小约1.5 cm×1.2cm的偏低回声团,边界不清晰,形态不规则,包膜不明显。内部回声不均匀,可见少量沙砾样强回声点,纵横比>1,偏低回声团后方衰减明显。CDFI:其内可见短管样血流信息,动脉可见高速,高阻血流信息。

超声提示:右侧乳腺实质性肿块伴钙化,考虑乳腺癌

更多专业知识!请关注微信公众号“超声掌中宝”