
此次沧州市中心医院的张敬超老师专门拍了3组图片来给大家讲讲超声内镜的两个调节参数,DR与CSI。
作者 | 张敬超 沧州市二院
来源丨内镜中的超声视界
DR是动态范围的英文缩写,要说动态范围,要先提到超声的一个基础概念:灰阶。二维黑白图像由不同明暗层次的光点组成,这种明暗度的层次程为灰阶,明暗层次越丰富,即灰阶数越多,图像就越细腻。在仪器灰阶的总范围内设定一个可上下移动的相对固定范围,以侧重显示较弱的回声(向下移)或较强的回声(向上移)。类似与CT的窗宽窗位概念。说简单一些,鉴别低回声病变,调小DR效果会更好,反之亦然。
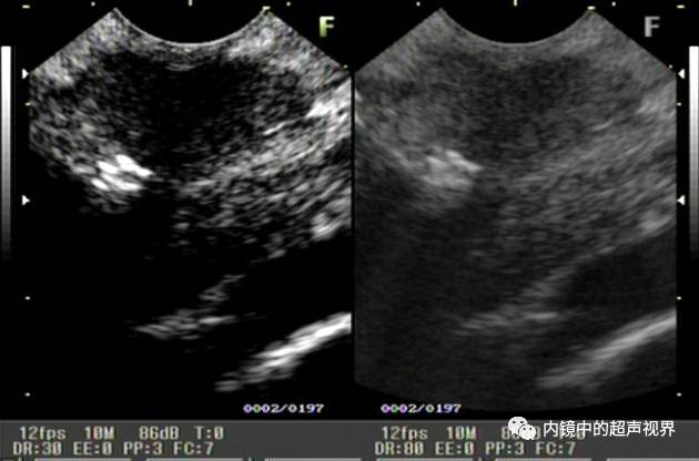
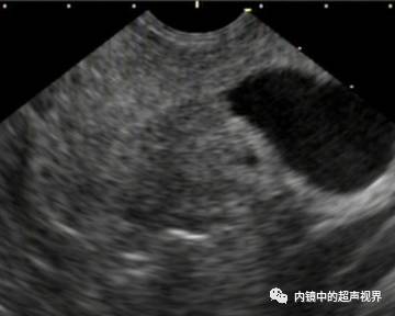
我现在使用的超声内镜DR可调节范围为30-90。以下三张图片显示的是同一个胰头肿物,肿物回声与胰腺回声非常接近,DR分别为90、70、40,其它参数相同,您更喜欢哪一张。

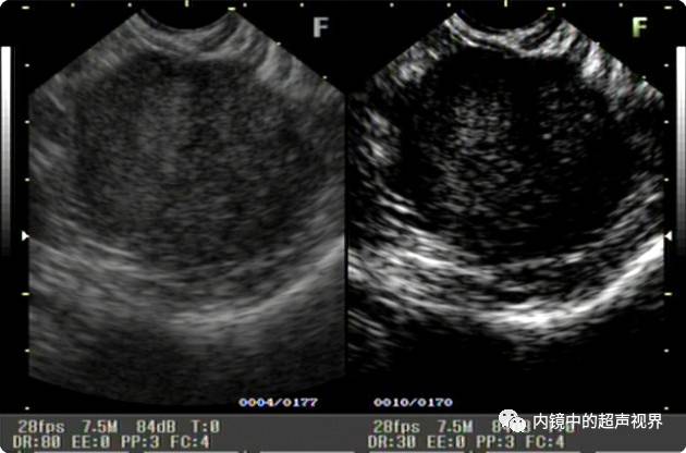
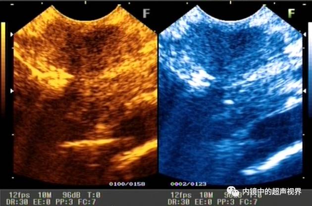
再来一纵隔肿物的图片,是DR30和80的对比,很明显。

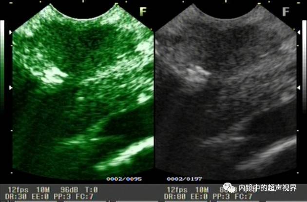
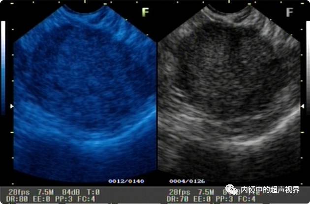
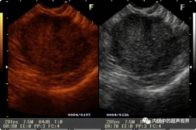
再来一张间质瘤的图片,也是DR30和80的对比。

有没人觉得,这个间质瘤的图片跟前面两个病灶不太一样,似乎感觉高DR模式看起来更舒服,那是因为,间质瘤为低回声,它周围的软组织为高回声,本身就能形成良好的对比,无需降低DR,而高DR模式更显细腻。
说到这里有没有人想到超声造影的那种模式啊?一样的双屏对比,一样的黑。那种模式是不是降低DR调来的,我没有做过超声造影,只是这样猜测,请大咖前来指导。
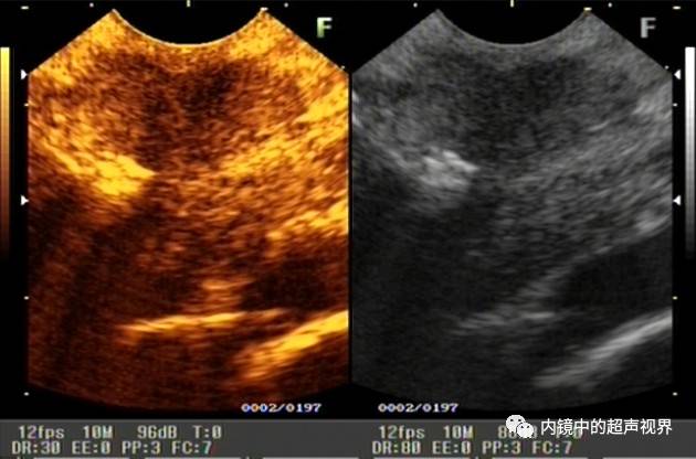
再说伪彩,它把黑白图像处理成黑橙、黑绿、黑蓝、黑粉等图像,一定程度上改变了图像的视感,类似于FICE、iSCAN等后处理光学染色功能,萝卜白菜各有所爱,喜欢哪个直接拿走。
胰头占位

纵隔肿物

间质瘤
