CD30在各淋巴瘤亚型中都会有所表达,特别是cHL和TCL中高表达。研究显示靶向CD30的抗体偶联药物维布妥昔单抗(Bentuximab Vedotin,BV)联合AVD一线治疗晚期HL疗效优于ABVD,同时能够降低肺毒性风险。也已有研究进一步探索含BV方案(BrECADD方案、联合免疫治疗)在cHL一线治疗中的作用,对于ASCT后高风险复发患者,BV可显著延长PFS。多项研究表明,BV单药或联合免疫治疗在HL患者中显示出高缓解率,及去化疗的优势。那么CD30阳性的B细胞淋巴瘤治疗现状如何?
CD30阳性B细胞淋巴瘤的治疗探索
弥漫性大B细胞淋巴瘤(DLBCL)是成人最常见的淋巴瘤亚型,具有高度侵袭性。R-CHOP是DLBCL患者的标准一线治疗方案,但治疗后仍有高达40%-50%的患者原发耐药或复发,目前复发难治DLBCL没有标准治疗方案,临床多采用利妥昔单抗(R)联合二线化疗方案或自体干细胞移植,但最终约30%的患者治疗失败。
由于许多淋巴瘤表达CD30,因此有很多临床试验探索采用CD30单抗来提高疗效。一项多中心、开放标签、II期临床试验,采用BV治疗难治/复发性NHL,同其他的化疗相比,明显地提高了总反应率,进一步细分,难治DLBCL的ORR为44%,CR率为15%;复发DLBCL为38%,CR为25%,原发难治比复发疗效要略差[1]。
同时研究者还探索BV联合来那度胺治疗复发难治的弥漫大B细胞淋巴瘤,研究中17例患者可以评估疗效, ORR为53%[2],CR率为41.2%。BV和来那度胺均可引起神经病变,该研究中有22%的患者出现了神经病变,其次还有一些血液学的毒性和低钾低钙的治疗相关不良事件发生,但多数患者是可耐受的。
实际案例
既往病史及外院治疗情况
-
患者,男,28 岁,6个月前无明显诱因出现左上腹痛,伴乏力、粘膜苍白,入当地医院检查。
-
2019.09.23胃镜:1.胃体粘膜病变性质待定;2.胃内食物滞留,胃镜病理回报示:(胃体)恶性肿瘤
-
2019.09.24全腹CT平扫示胃壁弥漫增厚,腹部增强CT示腹腔内多发增大淋巴结;盆腔少量积液;
-
2019.09.30上腹部增强CT示:胃壁小弯侧粘膜增厚,考虑恶性肿瘤性病变,伴肝门区、肝胃间隙、胃体下方、幽门下区多发淋巴结转移。
-
2019.10.08病理回报示:(胃镜活检)弥漫性大B细胞淋巴瘤(DLBCL),现有组织倾向非生发中心来源。IHC(我院):CD20(弱+),CD79a(+),CD3(-),Ki67(60-70%+),CD5(-),CD10(-),BCL6(-),MUM1(弱+),C-MYC(10%+),BCL2(-),P53(+),CyclinD1(-),CD30(-),ALK(-),TdT(-),CK(-),CEA(-),CD38(-),CD138(-), Kappa(个别+), Lambda(-)。
在外院接受既往治疗方案及疗效总结

在外院结束上述疗程治疗后患者转入北京博仁医院完善各项检查,如下:
-
生命体征:体温:36.8℃-38.7℃,脉搏:95 次/min,呼吸:20次/min,血压:124/86mmHg。身高:175cm,体重:70kg。
-
查体:贫血貌,消瘦体型,全身浅表淋巴结未触及肿大,双肺呼吸音低,双下肺可闻及少量湿罗音,腹软,左上腹压痛,可触及4cm*5cm肿物,质韧,无反跳痛及肌紧张,双下肢无水肿。
-
血常规:白细胞:8.17×10^9/L、中性粒细胞:6.58×10^9/L↑、红细胞:2.07×10^12/L↓、血红蛋白 54g/L↓、血小板 263×10^9/L;
-
生化:直接胆红素:8.69umol/L↑、总蛋白:46.80g/L↓、白蛋白:27.60g/L↓、前白蛋白:13.90mg/L↓、钠:130.70mmol/L↓、氯:96.50mmol/L↓、钙:1.96mmol/L↓、镁:0.67mmol/L↓、乳酸脱氢酶 :447.00U/L↑;
-
腹部超声:肝内多个低回声结节,考虑占位性病变,上腹部多个低回声包块,考虑淋巴瘤;脾稍大;副脾、胰、双肾未见明显异常;
-
头颅MRI:未见异常.
-
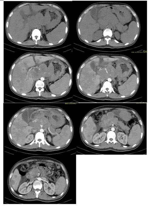
腹部增强CT(如下图一所示):肝脏、胃、腹腔及腹膜后多发淋巴瘤(腹腔、肝门区及腹膜后见多发肿块影.增强后轻度强化,融洽成大块,大小约85X110X97mm,肿块与胰腺关系密切)。2、腹腔少量积液

图一
-
2020-3-25 腹部超声引导下穿刺
复核病理:(腹腔肿物)弥漫性大B细胞淋巴瘤,非特指型,非生发中心起源(Hans模型)双重表达淋巴瘤。免疫组化:CD3(-),CD5(-),CD20(50%+),CD19(-),CD22(+,95%强),CD38(-),PAX5(+),Ki67(90%+),CD10(-),Bcl2(80%+),Bcl6(+),MUM-1(+),P53(90%+),CD30(+),C-MYC(>40%+),CD15(-),PD-L1(70%+),CD23(-)。原位杂交结果:EBV-EBER(-)。
-
FISH:C-MYC阴性,BCL2拷贝数异常, BCL6拷贝数异常(如图二所示)

图二
-
血液肿瘤基因测序示:TP53突变,BRCA2突变,KMT2D突变,NUDT15突变,CYP2C19突变
治疗方案:
-
2020-3-31给予化疗:BV-IVE
异环磷酰胺 D1-5;多美素 D1;阿糖胞苷 D1-5;依托泊苷 D1-5
Brentuxiamb Vedotin 150mg D7
-
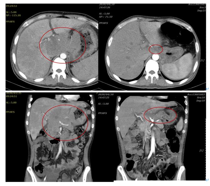
2020-4-20复查腹部增强CT(图三所示):腹腔、肝门区及腹膜后见多发肿块影.增强后轻度强化,融洽成大块,大小约40X43X44mm,较前明显缩小,肿块与胰腺关系密切,主胰管无明显扩张.胃壁不规则稍增厚并强化。

图三
通过上述影像学变化我们可以看到BV-IVE方案治疗后,患者瘤灶明显缩小(如上图三)。该患者经过减瘤治疗后续进入CAR-T治疗。从此病例我们可以看出CD30阳性的弥漫大B患者,对BV的治疗反应还是比较好的。
另外,国际一项CheckMate436研究显示,BV联合PD1的治疗对原发纵隔大B有效。该研究为一项开放、多中心、Ⅰ/Ⅱ期临床研究对R/R PMBL采用联合BV和PD1治疗的方案,评价该方案的疗效和安全性,主要终点为研究者评估的ORR和安全性,在30例PMBL患者中,中位随机11.1个月时,研究者评估的ORR为73%,CR率为37%,独立评估的ORR为70%,CR为43%;联合治疗的安全性可控[3]。
小结
DLBCL是成人最常见的淋巴瘤亚型,具有高度侵袭性。目前R/R DLBCL没有标准的治疗方案,临床多采用利妥昔单抗(R)联合二线化疗方案或自体干细胞移植,但最终约30%的患者治疗失败。约14-40% DLBCL患者高表达CD30,多项研究表明BV单药或联合治疗在R/R DLBCL治疗中已显示出较高的缓解率。目前NCCN指南已推荐维布妥昔单抗单药用于R/R DLBCL的二线及后续治疗。
参考文献
1. Jacobsen ED,et al.Blood. 2015 Feb 26;125(9):1394-402.
2. ClinicalTrials.gov Identifier: NCT02086604夏塘, 等. 白血病 ·淋巴瘤. 2016, 25(3):155.
3. Zinzani PL, et al. J Clin Oncol. 2019 Nov 20;37(33):3081-3089.
