一到夏天
就有不少人爱上这道菜
凉凉的、薄薄的、脆脆的
入口即化,这一口可真爽了!

但是就是这样爽口的鱼生
让深圳的程女士
险些失去了性命!
可不是吓唬你的
赶紧来看看怎么回事

腹部持续疼痛还恶心呕吐
深圳一女子差点成重症胰腺炎
深圳的程女士去年12月就查出了胆囊结石,但一直不当一回事。“又没啥症状,不痛不痒的。多喝水等它自己排出来就是了。”
本以为随着时间的流逝结石会自己消失,一天一天过去,就当程女士都忘了有胆囊结石这件事的时候,它毫无预兆地“发威”怒刷存在感。
今年3月24日,程女士突然出现腹部疼痛,同时伴随恶心、呕吐等表现。持续的疼痛迟迟不能缓解,于是程女士来到了深圳市第三人民医院。
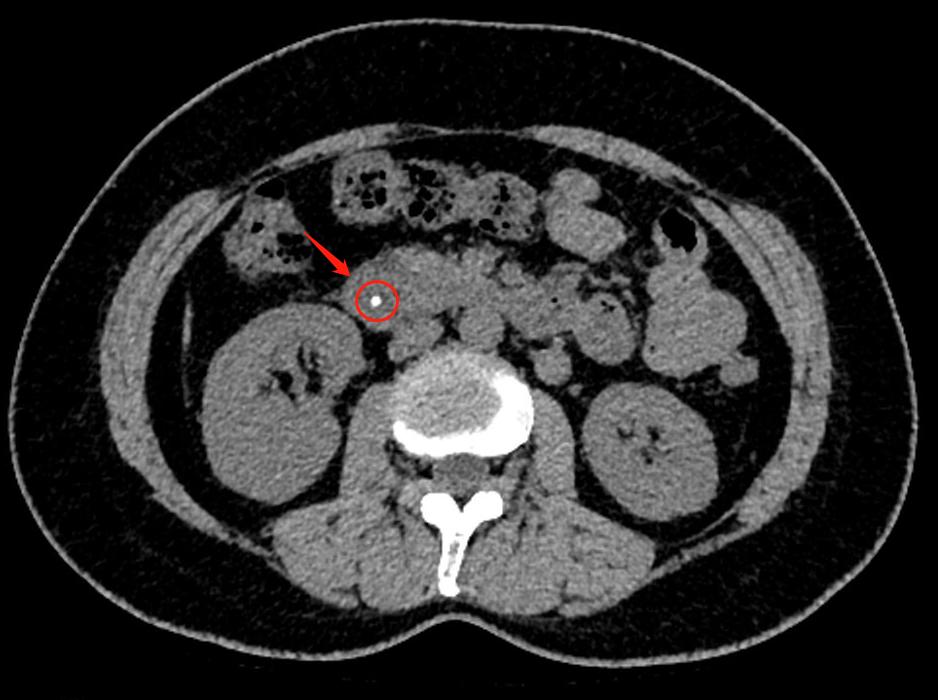
经过了CT检查,很快就找出了原因——胆总管卡着一颗大小约4mm的“石头”。这个石头卡在胆汁与胰液的出口处,让程女士出现腹痛。

程女士的CT片子
医生表示,若再不进行治疗可能会出现进一步发展到重症胰腺炎,会有死亡的风险。
程女士经过核酸检测排除了新冠肺炎后,被收入深圳市第三人民医院肝胆外科进行了2天的保守治疗。随后,她的腹痛得到极大缓解,但堵住胆汁与胰液的石头依旧存在。
为了避免伴随而来的可能发生肝脏的损伤和胰腺炎,医生通过微创手术的方式将结石取出。3月27日,手术顺利结束。医生还在程女士的体内放置了一个“鼻胆管”,使胆汁可以直接引流到体外。
本以为程女士这样就可以康复
万万没想到,手术后第三天
医生又在程女士的身体里
有了新的发现!

体内突然发现异物
竟然是生鱼片中的“寄生虫”
就在术后第三天,一次查房过程中,医生发现程阿姨的鼻胆管管腔中有两个又扁又小的粉色“肉片”,长度1cm,还在胆汁之中还会自由伸缩。
在程女士
鼻胆管管腔中发现的寄生虫
▽

遇到这样的情况所有医生都高度警惕——程女士很可能不是单纯的胆囊结石,而这个会伸缩的“肉片”极有可能是一种寄生虫。
如果是这样患者便可能因为死去的寄生虫尸体,形成患者胆囊内的结石,结石落入胆总管,造成后续一系列的表现。
也就是说
程女士的“胆囊结石”
极有可能是“寄生虫尸体”
在体内变化形成结石……

经过病理科的检验也证实了医生的推断:这个会伸缩的“肉片”正是华支睾吸虫(肝吸虫),是一种存在于淡水鱼虾体内的寄生虫。
无端端的
为何会有寄生虫在鼻胆管管腔?
据程女士回忆,去年12月曾和家人一起吃过一次潮汕生鱼片。而她第一次发现胆囊结石,也恰恰是在去年12月。而就在这次病发前不久,程女士也曾 一次性大量进食潮汕生鱼片。

医生推断——
程女士是吃了带有寄生虫而未经烹煮的鱼肉,寄生虫在胆道内繁殖或死亡,虫尸体就会停留在胆管里,当胆汁和虫尸体糅杂在一起,就形成胆结石。
如果不清除掉所有的寄生虫,程女士可能还会不断受到类似此次入院前的折磨,甚至还可能因为这样的病因继发恶性肿瘤。
找到了“元凶”,医院肝胆外科立刻请求感染科医生提供最佳的治疗方案。根据患者的病情与自身情况,感染科医生制定出以吡喹酮片口服为主的治疗方式。4月3日程女士出院了,医生嘱咐她不要再吃淡水鱼生了。
这“肝吸虫”
竟有这么大“威力”?
我们来了解下它!
鱼生里的寄生虫
可跟随宿主20-30年没感觉
严重甚至引起肝癌
肝吸虫喜欢“躲在”淡水鱼虾体内,随着人们吃鱼生、未熟透的鱼虾等方式悄悄潜伏进人体。它们在人的肝胆管内寄生产卵并生产代谢产物,从而引发一系列并发症,堵塞胆管。
同时,它的生命力也很顽强,一旦在宿主体内住下来,可以一直跟随20-30年。
所以...
你以为你吃的是美味的生鱼片
其实可能吃下去的是寄生虫!

感染初期,人可能还没什么感觉,因为轻者几乎无症状;但严重的话会有腹痛、腹泻、消化不良、营养不良、疲倦乏力、肝区隐痛、肝肿大等临床表现,晚期可出现肝硬化和腹水,还可并发胆囊炎、胆管炎、胆管阻塞等,甚至引起肝癌。
如果宿主是孩子,还会严重影响生长发育,甚至导致侏儒症。
所以
还是不要冒险了!
关于吃“鱼生”,还有几大误区
误区一:
酱油、芥末等调味料能杀死肝吸虫?不能!
肝吸虫的囊蚴对调味品的抵抗力比较强,调味品短时间内无法起到杀虫功效。专家指出,肝吸虫囊蚴在醋中可存活2小时,在酱油中可存活5小时。
误区二:
喝白酒可以杀虫?不能!
喝白酒不但杀不死肝吸虫,反而会加重对肝脏的负担。
误区三:
与别人共餐时有鱼生,自己不食用鱼生,会感染吗?
有这样的可能性。因为寄生在鱼肉上的肝吸虫囊蚴可污染到筷子,交叉污染到别的热菜。
躲开“寄生虫”
你得这么吃
01.至少煮沸5分钟才能吃
不吃生或未煮熟的淡水鱼虾。彻底煮熟方可进食,要保证至少煮沸5分钟以上再动筷子哦~
02.严格区分生熟食品用具
切生熟食品所用的刀和砧板要分开,不可混用;盛过生鱼的各种用具要洗刷干净。
03.不要用生的食物喂猫狗
不要用生的鱼鳞、鱼内脏、鱼鳃等喂狗、猫,洗鱼的生水也不要喂猪或其他家养动物。
04.勤洗手
同时也要注意手卫生,勤洗手!

>>>湖南女子监狱发生疫情?通报来了!

>>>一确诊病例途经湖南!已追踪到密切接触者8人

>>>两女子肺部CT全是白色,竟是84消毒液惹的祸?!
扫码进入长沙晚报公众号在对话框发送 “健康卡”
按提示操作,获取 电子健康卡
5月1日起,这项政策有变!
中央决定:大规模开展核酸和抗体检测!
通报!这个地方27名师生感染
好消息!芙蓉路和湘雅路交会处拟建跨线桥

来源丨深圳大件事(ID:nandusz)、深圳市第三人民医院
编辑丨彭雨纯
值班主任丨黄飞武

被吓出一身冷汗啊!
爱吃生鱼片的戳
