今天我同大家分享「免疫缺陷宿主呼吸道感染诊疗策略」。
一、「免疫缺陷」意味着什么?如何评估免疫功能?
我们将免疫缺陷宿主分两类,一类是原发性免疫缺陷病(primary immunodeficiency diseases,PID),一类是继发性免疫缺陷 。对于 继发性免疫缺陷 ,临床医生相当熟悉,随着免疫*制剂抑**和化疗药物(如糖皮质激素、细胞毒*药性**物、嘌呤类似物等)、抗淋巴细胞抗体(抗CD20抗体抗、CD52抗体、ATG抗胸腺球蛋白等)、抗细胞因子(IL-1受体拮抗剂、IL-6受体拮抗剂,TNF-α受体拮抗剂等)的在皮肤、风湿等科室的广泛应用,大家也比较熟悉这类药物会引起宿主的「免疫功能异常」,且在逐渐认识它和「感染」的关系。继发性免疫缺陷还包括血液系统恶性肿瘤(如白血病、淋巴瘤、MDS、MM等)、代谢疾病(如肾病综合征)及高龄、手术或创伤、慢性疾病例如系统性红斑狼疮等其它因素,如下表。
|
分类 |
种类 |
|
免疫抑制药物和化疗药物应用 |
糖皮质激素 |
|
细胞毒*药性**物 |
|
|
嘌呤类似物 |
|
|
硫唑嘌呤他克莫司 |
|
|
环孢素A麦考霉酚 |
|
|
雷帕霉素(西罗莫司)依维莫司 |
|
|
抗淋巴细胞抗体 |
抗CD20抗体抗、CD52抗体、ATG抗胸腺球蛋白 抗T细胞单克隆抗体、抗B细胞单克隆抗体 抗T和B单克隆抗体、T细胞融合蛋白 |
|
抗细胞因子 |
IL-1受体拮抗剂、IL-6受体拮抗剂,TNF-α受体拮抗剂、白细胞迁徙*制剂抑**、JAK*制剂抑**、补体C5受体拮抗剂 |
|
血液系统恶性肿瘤 |
白血病、淋巴瘤、MDS、MM等 |
|
代谢疾病 |
肾病综合征 |
|
其他因素 |
高龄、手术或创伤、慢性疾病例如系统性红斑狼疮 |
而对于先天性的免疫缺陷,我们一直认为它是个罕见的疾病,往往也认为没什么好的解决办法,就表现为反复的难治性感染,但是这几年, 原发性免疫缺陷病 (primary immunodeficiency diseases,PID)的概念也在更新,其分类每2~3年更新1次,2017年首次提出建议使用 免疫出生错误 (inborn error of immunity,IEI)这一概念来代替PID, 免疫出生错误是由单基因胚系突变导致编码蛋白表达丧失、功能丧失或功能获得。表现为对感染性疾病、自身免疫性、自身炎症性疾病、过敏性疾病和/或恶性肿瘤的易感性增加 ,因为这些蛋白质在维持内稳态以及对外部抗原(如感染原或环境抗原)和内部(如细胞因子、自身抗原和癌细胞)刺激发生的免疫应答中起关键作用。

图:(左)近十年增加了250多例;(右)临床和实验室表型分类
那么, 如何评估免疫功能呢? 在病史和体检中,临床医生可能会怀疑免疫系统功能障碍,但是原发性免疫缺陷诊断很少,可能会怀疑药物、感染或其他疾病引起的继发免疫调节抑制的结果。然而,不同患者的特定宿主缺陷及其严重程度可能存在很大差异。
通常,我们会检测免疫球蛋白、细胞免疫CD4、CD8等,但其实这些远远不够,除了测 数目 ,我们还应该测它的 功能 ,如巨噬细胞的吞噬功能、白细胞的驱化能力,目前实验室还无法达到常规检测……

针对细胞免疫,尤其器官移植后的特异性T细胞功能的评估,目前有一种进展是通过特异性抗原来刺激宿主产生免疫应答,如果CD8阳性T淋巴细胞产生免疫应答,说明免疫功能在恢复,特别是针对肾移植后的巨细胞病毒(CMV)感染,如果在干扰素释放试验中,通过CMV抗原刺激有了特异性的TCD8+淋巴细胞的表达,说明患者的免疫功能有所恢复。

二、免疫缺陷相关的感染病原学相当复杂,建议对免疫缺陷的住院患者进行全面的微生物学检查
「肺部感染」的影响因素很多,包括患者免疫状态、所接触的环境,以及免疫缺陷类型不同,其肺部感染病原体种类不同,所致的感染病原学也相当复杂……
|
免疫缺陷类型 |
原因 |
感染病原学类型 |
|
抗体缺乏 |
免疫球蛋白缺乏(先天性或获得性低γ球蛋白血症),多发性骨髓瘤、脾切除等 |
对荚膜细菌抵抗力明显下降、缺乏调理作用、IgM生成减少 肺炎链球菌、B型流感嗜血杆菌、大肠杆菌、金黄色葡萄球菌、奈瑟菌、少数病毒 肺炎(化脓性细菌、病毒) |
|
细胞免疫缺陷 |
继发性细胞免疫缺陷:肿瘤化疗、放疗后,器官移植,糖皮质激素、AIDS等 |
多种致病菌,包括机会致病菌 1)细菌:李斯特菌、军团菌、分支杆菌、奴卡菌等 2)真菌:曲霉、新隐球菌、组织胞浆菌、球孢子菌、耶氏肺孢子菌 3)病毒:CMV、疱疹病毒 4)原虫:弓形虫等 |
|
补体缺乏 |
先天性 |
败血症(链球菌、肺炎球菌、奈瑟菌) |
|
吞噬细胞 |
化疗、白血病、移植 |
葡萄球菌、真菌、分枝杆菌 肠杆菌科、铜绿假单胞菌 |
病情比较稳定的患者、围手术期或住院期间的患者也可分为CAP和HAP。整体上,体液免疫受损往往是细胞外寄生菌感染,而细胞免疫缺损往往是细胞内寄生菌感染,如真菌、结核以及器官移植的巨细胞病毒感染……
当我们面对复杂的呼吸道感染时,很难在临床上通过宿主状况、影像资料找出明确病因,这时就凸显了「临床微生物实验室诊断平台」的重要性。 对于免疫缺陷的住院患者,建议进行全面的微生物学检查,目的是对病原体治疗和降阶梯治疗。
临床微生物实验室诊断平台:
1、传统的形态和生化:
细菌涂片及培养、真菌涂片及培养、厌氧菌培养;
抗酸染色、弱抗酸、六胺银染色等特殊染色都可以帮助临床诊断;
鉴定(质谱鉴定)、药敏测定;
分枝杆菌的培养及药敏。

「可以做药敏」是进行培养的好处,能够给临床提供用药的选择,目前常见的细菌、真菌及分支杆菌是能够用传统方法拿到一部分结果的,但当常规方法拿不到病原学时呢?
2、分子生物:
流感、呼吸道合胞病毒、冠状病毒等呼吸道病毒核酸;
肺炎支原体、衣原体以及嗜肺军团菌核酸检测;
结核分枝杆菌核酸(Xpert-TB+RIF耐药)检测;
PCP核酸检测;
将来还可能有真菌核酸检测。
单一病原学PCR、多种病原学PCR的方法能够帮助临床。
3、感染免疫:
肺炎链球菌尿抗原;嗜肺军团菌尿抗原;隐球菌荚膜抗原;G、GM、M实验、曲霉IgG,念珠菌IgG;PCT;结核干扰素释放实验……
通过宿主的一些免疫学方法解决部分病原学的诊断。
免疫功能低下的患者中引起CAP的「核心呼吸道病原体」与非免疫功能低下患者相同:

可能是肺炎链球菌、金黄色葡萄球菌(MSSA)为主,也会有「非典型」病原体,也会有呼吸道病毒如流感病毒……
目前,肺炎链球菌对大环内酯类高度耐药,对二代头孢菌素耐药率也很高;阿莫西林/克拉维酸、头孢曲松、氟喹诺酮类对肺炎链球菌保持较高抗菌活性(下图)。

图:一项监测2012年1月至2012年12月中国成人CARTI病原菌:肺炎链球菌、流感嗜血杆菌和卡他莫拉菌耐药性的多中心研究,11家医院共分离出599株细菌,其中肺炎链球菌381株,流感嗜血杆菌137株,卡他莫拉菌81株。
病例
这是一位58岁的鼻咽癌男性患者,发热8天,加重伴咳嗽、喘憋6天,于2020年1月10日就诊。在日本旅游时出现发热,体温最高40℃,日本查流感抗原甲型阳性,口服xofluza一次抗流感病毒治疗后仍发热并出现喘憋,回北京就诊后来到我院发热门诊,血常规发现WBC高达16*10^9/L,PCT 5.0,流感核酸Gene-Xpert 甲型阳性。
即刻抽血培养,13小时报警:革兰阳性菌,质谱鉴定:金黄色葡萄球菌。

可见这位存在免疫缺陷的患者,起因是流感,但容易合并脓毒症。
军团菌感染
我们通常认为,军团菌主要以社区感染为主,除发热、咳嗽及呼吸困难等呼吸道症状外,还可伴有伴有呕吐、腹痛、腹泻等消化道症状。部分呈精神错乱、定向力障碍、昏迷。常见并发症包括:心肌炎、心包炎、急性肾功能衰竭、DIC等。 重症肺炎比例较高,住院的军团菌感染患者近50%需入住ICU,其病死率达5~30%。
它的高危因素有可疑环境接触史,包括接触被污染的空调或空调冷却塔、温泉洗浴、园艺工作、管道修理、接触被污染的饮用水;还有本文提到的这些免疫功能低(包括存在肾功能或肝功能衰竭、糖尿病、恶性肿瘤、使用糖皮质激素、肿瘤坏死因子*制剂抑**以及其他高龄、免疫功能下降)的患者。在军团菌的病原学诊断方面,目前我院主要凭借军团菌尿抗原、军团菌PCR、血清抗体急性期恢复期4倍升高(但这个方法不太适合临床急性诊断)这三点。
在治疗方面,对于免疫功能正常的轻、中度军团菌肺炎患者,可采用大环内酯类、多西环素或喹诺酮类单药治疗;对于重症病例、单药治疗失败、免疫功能低下患者建议喹诺酮类药物联合利福平或大环内酯类药物治疗(I A)。当喹诺酮类药物联合大环内酯类药物治疗时,应警惕发生心脏电生理异常的潜在风险(I A)。
病例
67岁,乙肝肝硬化于2021年5月27异体肝移植术后,移植后发生急性排斥反应,激素冲击治疗,发热呼吸困难一周,呼吸衰竭插管,BALF 发现军团菌PCR阳性,培养为铜绿假单胞菌,对舒普深耐药。
影像显示从9月23日开始,患者的肺部就开始有小小的渗出,到9月25日、10月1日,病情一直在加重……治疗药物调整为阿奇霉素、左氧氟沙星、头孢他定,后两者对绿脓都是敏感的,左氧氟沙星军团菌也有效,11月9日,这位患者明显好转。提示院内感染也可以出现军团菌。

三、几点疑问和建议:不同免疫缺陷的患者需要警惕哪些不同病原体?
1、哪些免疫功能低下的CAP患者应将经验性治疗扩展覆盖 「耐药G-杆菌」,包括铜绿假单胞菌?
-年龄≥65岁或有基础疾病(如心力衰竭、心脑血管疾病、慢性呼吸系统疾病、肾功能衰竭、糖尿病等)
-在过去12个月中有耐药G-杆菌定植或感染史
-此前住院时有广谱抗生素使用史
-气管切开术、肾脏替代、中性粒细胞减少或合并肺部基础疾病(如囊性纤维化、支气管扩张、反复加重的COPD需要使用糖皮质激素和抗生素)
2、哪些免疫功能低下的CAP患者应将经验性治疗扩展覆盖 「MRSA」?
建议对于那些在过去12个月中存在MRSA定植或感染史的患者,最初的经验性治疗应覆盖MRSA。
3、重症肺炎可以作为针对耐药G+和G-病原体进行经验性治疗的指征,随后在没有发现耐多药病原体的情况下迅速降阶梯。
还需要考虑的特殊病原体:

表:除核心呼吸道病原体外常见的可能在免疫功能低下患者中造成CAP并且有抗菌药物治疗的呼吸道病原体
4、免疫功能低下患者的 肺结核:

图:结核基因检测阳性;利福平耐药阴性
结核干扰素试验阳性可用于诊断结核分枝杆菌感染,但不能区分活动性结核病还是潜伏性结核感染,也不能准确预测潜伏性结核感染发展为活动性结核病的风险;可在常规诊断依据的基础上,阳性对疑似结核病患者起到「补充或辅助诊断」结核的作用,阴性结果对「排除」结核感染有一定帮助;用于筛查潜伏性结核感染时不受卡介苗接种的影响,较少受到NTM感染的影响,但不适用于流行病学筛查,不推荐以替代PPD试验用于健康人群公共卫生干预中的筛查手段;在免疫缺陷感染人群中,筛查潜伏性结核感染的敏感度优于PPD试验,但在其他人群中的检测效率尚需进一步研究。

5、哪些免疫功能低下CAP患者中,最初的经验性治疗应覆盖 肺孢子菌肺炎?
-存在双肺弥漫性间质浸润或肺泡斑片影且尚未接受PCP预防治疗的患者
-CD4+T淋巴细胞计数<200个/μL(或百分比<14%)
-细胞免疫严重受损者(例如联合使用糖皮质激素与细胞毒药物)
-主要症状为发热、干咳和进行性呼吸困难

病原学:痰、BALF六胺银染色以及PCR分子诊断。辅助诊断:LDH升高、G试验升高。
预防:移植术后至少3~6个月内每天服用复方磺胺甲噁唑,以预防PCP。而AST则推荐为6~12个月。复方磺胺甲噁唑片剂(TMP80mg/SMZ 400mg),口服,1片qd或双剂量(TMP160mg/SMZ800mg)qd~3次/周,或氨苯砜 100mg 口服qd;6个月。
治疗:轻度(氧分压>70mmHg),每8小时口服两片甲氧苄啶/磺胺甲噁唑(甲氧苄啶160mg,磺胺甲噁唑800mg);病情严重或不能耐受口服的患者,可以每8小时静脉给一次甲氧苄啶/磺胺甲噁唑(甲氧苄啶 20mg/kg);整个疗程通常为21天。
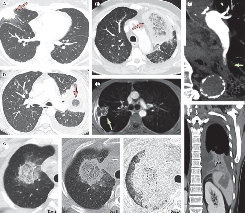
6、哪些免疫功能低下的CAP患者中,最初的经验性治疗应覆盖 曲霉菌?

图:肿瘤患者接受化疗存在严重和长期的中性粒细胞减少,且影像学上表现为结节周围存在环状磨玻璃影(晕轮征)和/或空洞。
2020年IDSA提出,曲霉菌「GM试验」的推荐标本从血清扩大到BALF、血浆和脑脊液;临床阈值:单次阈值(血清、血浆、BALF和脑脊液)≥1.0;同时检测阈值:血清/血浆≥0.7 以及BALF≥0.8,可以作为临床诊断。
另外把曲霉的PCR检测也放在了临床诊断依据中,以下任意一项都可以进行曲霉菌的临床诊断:1)血浆、血清或全血连续2次或以上PCR阳性;2)BALF重复2次或以上PCR检测阳性;3)血浆、血清或全血至少1次PCR检测阳性,同时BALF至少1次PCR检测阳性。

将来的新诊断方法:
|
方法 |
标本 |
|
|
EIA:酶免疫分析法 (测定GM) |
血清和BALF,也可以用于血浆和脑脊液的LFA |
|
|
point-of-care tests (POCT) 床边诊断 |
LFA:Lateral flow assay (测定GM) (胶体金免疫层析法) |
血清和BALF |
|
LFD:Lateral flow device 免疫层析侧流仪 (检测细胞外甘露糖蛋白) |
用曲霉特异性单克隆抗体 JF5同真菌释放 的细胞外糖蛋白抗原结合 ,可用免疫层析侧流仪法(lateral flow device ,LFD)在宿主的血清和 BALF 中检测到 ,在动物模型上敏感度,特异度均优于 GM 测定 ,且更快速 |
|
|
Lateral flow urine assay(测流免疫层析法尿分析) |
用单克隆抗体(mAb476)检测尿液中的分泌半乳甘露聚糖样抗原 |
|

针对曲霉菌的治疗:
1)目前一线推荐的治疗药物还是「伏立康唑」,但要进行浓度的监测;
2)伏立康唑不耐受情况下的替换治疗可以使用「脂质体两性霉素B」进行起始和挽救治疗,资源有限时使用两性霉素B(strong recommendation; moderate-quality evidence);
3)棘白菌素不建议起始单一治疗,主要用于单一或联合用于挽救治疗。
4)联合治疗:伏立康唑或两性霉素B脂质体联合棘白霉素类的治疗方案是否有增加或协同抗曲霉临床效果,尚未有一致的研究结果。若患者病情严重,或许可以考虑联合治疗。对于病情顽固、进展的患者进行挽救治疗时:在目前抗真菌药的基础上增加一种不同类别抗真菌药物,或非起始应用的其他类别抗真菌药物的联合应用。

这是另外一项研究结论:

7、在哪些免疫功能低下患者中,最初的经验性治疗应覆盖 毛霉菌?

图:肿瘤患者接受化疗存在严重长期的中性粒细胞减少且影像学上表现为结节、反晕征或胸腔积液。
新冠疫情时,印度报告了很多毛霉菌感染病例,目前针对毛霉菌还没有很好的分子诊断方法或生物标记物,但病原学诊断时仍要做GM试验等,如果这些都是阴性,又怀疑是真菌感染,就要提醒大家进行毛霉菌的鉴别,这时就需要做些组织病理学诊断,组织病理去做镜检或培养(培养时千万不要研磨)。
病原学诊断:


举个例子
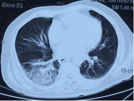
这是一位75岁的男性骨髓增生异常综合征(MDS)患者,化疗后出现发热咳嗽一个月,多种抗生素(泰能、替加环素、利奈唑胺) 以及伏立康唑治疗无效。
影像可见患者右下肺有较大的实变:


胸水是血性的,我们下了决心去穿刺,肺穿刺组织培养48小时发现根毛霉,病理也看到了丝状真菌:


在抗真菌药物治疗方面,多烯类药物(两性霉素B的不同剂型)和广谱*唑三**类药物(泊沙康唑,艾莎康唑)具有体外的抗接合菌活性。
多烯类药物具有更为充分的临床证据,新型*唑三**类药物完成了一系列的非劣效研究,表现出现出相似的临床疗效和更好的药物安全性。
8、哪些免疫功能低下患者中,最初的经验性治疗应覆盖 奴卡菌?
药物诱导(糖皮质激素或免疫*制剂抑**)、恶性肿瘤(血液及实体瘤化疗后),器官移植,SLE等自身免疫病。
这些患者会出现全身侵袭性病变,具有多样性,局部或多叶受累,表现为结节,实变和空洞阴影或脑脓肿。

目前诊断可以靠镜检,能够看到很典型的穿珠样,染色+培养:革兰阳性杆菌,有分枝,短链状,弱抗酸阳性。也可以用PCR方法来帮助诊断,因为奴卡菌的培养时间长,容易被忽视。

在奴卡菌的治疗方面,起始经验性治疗,推荐联合治疗,尤其是病情严重,中枢神经感染和播散性感染者,推荐三个药物的联合治疗(如果培养出了结果,希望实验室能给临床提供药敏证据)。磺胺是最基础的治疗,通常联合治疗,阿米卡星联合Beta-内酰胺类(美罗培南和头孢曲松)是在磺胺治疗基础上最经典的联合方案,确保对所有的奴卡菌至少有两个敏感药物,以提高患者的预后。
四、肺部终身面临感染风险,「免疫出生错误」的诊断和治疗该如何进行?
临床表现为反复感染,尤其是肺部和皮肤反复感染,播散性机会菌感染(NTM、真菌、病毒)等的情况下要警惕免疫出生错误(inborn error of immunity,IEI)性疾病,这一疾病不只是免疫功能低下或缺失而以易感染为主的特征,还应该包括诸多免疫功能亢进或失调(自身免疫、自身过度炎症、过敏)的表现。
由于部分疾病外显不全,且缺乏明显的基因型与临床表型相关性,因此分子诊断对于IEI患者的明确诊断、精准治疗十分重要。
自2010年首次应用二代测序(next generation DNA sequencing,NGS)鉴定新PID以来,全外显子组测序(whole exome sequencing,WES)或全基因组测序(whole genome sequencing,WGS)已成为鉴定新的致病基因突变体的新标准。
研究的最新进展不断发现能够进行特定治疗的靶点从而改善预后,包括单克隆抗体和小分子生物制剂,如细胞因子或细胞因子*制剂抑**,用于根据发病机制上调或下调特定途径;干细胞移植治疗,基因治疗。免疫治疗或造血干细胞移植开始治疗特定类型的IEI的发生的顽固真菌感染。
实际病例
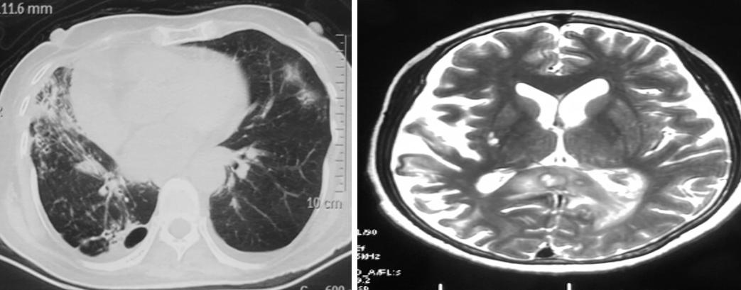
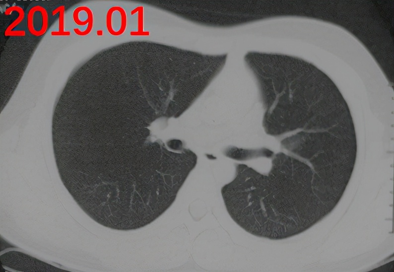
21岁男大学生,肺部阴影3年余,头晕2月。早期呈现为肺部感染,未拿到病原学证据,随着病情逐渐进展,住院时发现血嗜酸性粒细胞、总IgE特别高,于是怀疑是高IgE综合症。
2017.9:体检发现肺部空洞(PPD阳性,TB-DOT阳性,曲霉菌抗体阳性)→抗细菌、抗真菌、抗结核吸收欠佳。

2018.3:气管镜(刷片、灌洗及透壁活检病理均未见异常, BALF病原学阴性),透壁活检后出现气液平→肺脓肿,脓胸→胸水培养提示具核梭杆菌;IgE:2265kU/L,烟曲霉IgE:2.73,抗真菌、细菌治疗。


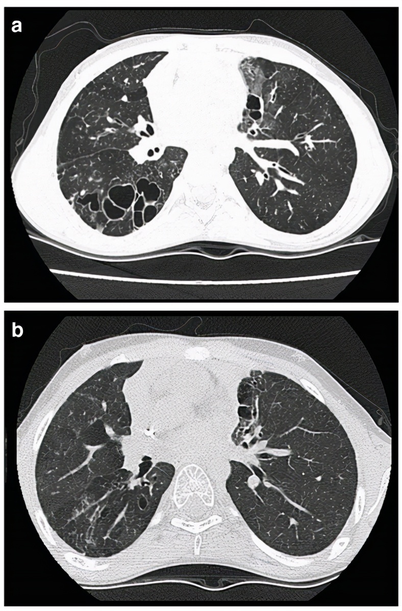
2020.10:头晕,伴有左侧肢体麻木2个月;头颅核磁:肿块伴环形强化;PET-CT:颅内,肺部,皮下,腹腔、左侧股骨颈;代谢活性增高多发结节灶;血嗜酸性粒细胞3.6*10^9/L,总IgE大于5000kU/L。


面对高IgE综合症这个疾病,我们就要思考如何对症治疗,是什么类型的感染?如何保护皮肤、预防感染?肺部终身面临感染风险,如何应对?终身用药吗?
|
病理类型 |
治疗推荐 |
适应症和注意事项 |
|
皮肤 |
||
|
湿疹 |
抗组胺药、润肤剂 |
缓解瘙痒 |
|
单克隆抗体(抗IL-4;抗IgE) |
降低皮肤脓肿的发生率 |
|
|
金葡菌定植 |
局部抗菌剂(含氯的稀释剂泡澡或游泳) |
监测细菌的耐药 |
|
抗金葡菌的抗生素(如每天两次口服复方新诺明) |
||
|
黏膜皮肤念珠菌病 |
局部抗真菌剂或口服*唑三**类抗真菌药预防 |
监测药物副作用 |
|
肺 终身面临感染风险(影像、痰的病原学监测) |
||
|
反复肺部感染 |
每天两次口服复方新诺明预防 |
容易形成支气管扩张和肺气囊形成 |
|
抗真菌(抗霉菌活性)的预防治疗,例如有肺实质破坏(支气管扩张和肺气囊形成),合并CPA或ABPA的情况下长期的抗真菌治疗 |
曲霉菌感染是死亡危险因素 |
|
|
免疫球蛋白替代治疗 |
或许减少肺炎的发生率 |
|
|
免疫接种(包括活疫苗,但是除外23价肺炎链球菌多糖疫苗) |
因为接种后出现接种皮肤坏死 |
|
|
监测病原学及其药敏的变化 |
- |
|
|
急性感染 |
要高度怀疑并发症,如脓胸 |
患者或许无临床全身炎症反应,手术并发症的风险:支气管胸膜瘘 |
|
广谱抗生素(覆盖革兰阴性菌,如绿脓)和曲霉菌 |
||
|
肺实质结构性病变 |
胸部物理治疗排痰(排痰仪、雾化)痰液 |
- |
因为目前有了测序技术,我们发现 高IgE综合征只是个临床表现 ,它背后的基因是JAK-STAT通路的问题——人体的免疫稳态对于避免免疫缺陷和自身免疫或自身炎症非常重要,而JAK-STAT通路则是维持细胞稳态的关键通路,其中信号转导和转录激活因子3(signal-transducer-and-activator-of-tranion-3,STAT3)是免疫稳态的主要调节器。JAK-STAT 通路的缺陷导致 T 辅助细胞-17 的分化和功能受损。STAT3活化水平受到严格控制,STAT3数量和(或)功能异常可导致多种疾病。


这条通路上很多靶向分子如果出现了问题,都会有类似症状……高IgE综合征可能表现为「易感染倾向、皮肤病、骨骼疾病及免疫疾病」。STAT3显性负性突变导致的高IgE综合征ZNF341、IL6ST或IL6R发生双等位基因突变时其表型均与STAT3显性负性突变(AD DN)导致常染色体显性遗传高IgE综合征类似。
因为抗感染治疗不能从根本改善患者预后,患者还是会反反复复发生感染,所以这项研究就尝试了自体干细胞移植:

对这8例患者进行了超过18年的随访,所有患者肺疾病稳定,GVHD很少发生,大多数病人鉴于医师担心既往存在支气管扩张症的肺部反复感染仍预防用抗生素,尽管如此,肺部稳定或改善的报告多。曲霉菌感染,可能来自预先存在的定植或感染,或移植后复发,但没有引起严重并发症与移植相关的曲霉菌病;湿疹都有所改善;移植后皮肤感染被消除。



还有 「抗干扰素-γ自身中和抗体」 ,2004年第一次在菲律宾报道以来,在东南亚包括泰国、越南、日本、中国香港特别行政区及中国台湾地区陆续被发现。来自于美国马里兰州临床感染病研究所的Sarah K. Browne博士等人发现,抗干扰素-γ自身中和抗体与亚洲艾滋病样免疫缺陷症有关,论文发表于国际权威杂志NEJM 2012年8月23日在线版上。

研究人员共纳入了203例来自台湾和泰国的受试者,并将其分为5组:1组 播散性快生长或慢生长非结核性分支杆菌感染的52例;2组为另一类机会性感染(新生隐球菌,荚膜组织胞浆菌或马尔尼菲青霉菌、播散性沙门菌病,或严重水痘-带状疱疹病毒感染,有或无非结核性分支杆菌感染的45例;3组 播散性结核患者9例;4组 肺结核患者49例;5组 健康对照组48例。1、2组抗干扰素自身抗体显著升高。
病例
这是我们曾经会诊过的患者,为广西南宁的护士,间断发热2年半,腰背部疼痛7个月。
针对发热、颈部淋巴结肿大,马尔尼菲蓝状菌PCR阳性,我们通过两性霉素B伊曲康唑治疗,仍有发热,淋巴结活检提示偶发分枝杆菌,LZD CLR LFX治疗,期间纵隔淋巴结肿大,一年前咯血,气管镜发现支气管淋巴结瘘,BALF培养为偶发分枝感染。7个月前腰疼,核磁提示椎体病变,高热,再次行气管镜检查,BALF提示鸟分枝感染,2个月前左上肢出现带状疱疹,破溃流脓,再次发热咳嗽,BALF提示马尔尼菲蓝状菌。诊断为:播散性马尔尼菲蓝状菌及播散性非结核分枝杆菌肺病。

针对这种疾病,国际上也通常采用小分子药物治疗,例如抗CD20单抗治疗。
另外一个病例
31岁,发热、淋巴结肿大,在菲律宾出生、美国诊断,淋巴结培养:鸟分枝杆菌 ,azithromycin、ethambutol、tedizolid、moxifloxacin、clofazimine治疗后仍进展,用了抗CD20单抗后,治疗效果也不好,感染不能缓解,之后又使用了硼替佐米、抗CD38单抗,患者症状有了明显改善。


总结一下
免疫缺陷患者肺部感染发病率高,病死率高,从预防做起能够降低病原学暴露,降低感染的发病率(如个人手卫生、口腔卫生、疫苗接种;院感控制……),但还是需要临床医生了解发病机制,也要积极寻找病原学,病原学多样,影像和临床很难区别感染病原学,导致起始抗感染治疗非常困难,而 合理抗感染治疗重在积极取高质量标本(BALF、血)进行病原学诊断。
参考文献
[1] Dropulic LK, et al. Microbiol Spectr. 2016 Aug;4(4).
[2] Journal of Clinical Immunology (2020) 40:24–64;66-81
[3] 中国成人社区获得性肺炎诊断和治疗指南
[4] 中华结核和呼吸杂志. 2016;4(39):253-279.
[5] 中国成人社区获得性肺炎诊断和治疗指南中华结核和呼吸杂志. 2016;4(39):253-279.
[6] Circ Respir Pulm Med. 2015 Nov 15;9(Suppl 1):81-90.
专家介绍

谷丽
2005年毕业于北京协和医院,获呼吸内科医学博士。2012-2013年在美国西北大学医学院做访问学者一年。目前任首都医科大学附属北京朝阳医院感染和临床微生物科主任。中华医学会北京感染分会委员、中国医疗保健国际交流促进会临床微生物与感染分会常委。参与多项国家和北京市科委的呼吸道感染研究项目。
本文由《呼吸界》编辑 Jerry 整理自「帅府园论坛」,感谢谷丽教授的审阅修改!
本文完
排版:Jerry