
梅尼埃病(MD)以反复发作的眩晕、波动性听力下降、耳鸣和耳胀满感为主要症状,其与内淋巴循环紊乱密切相关。由于耳蜗底转基底膜柔韧性低于顶周,因此梅尼埃病膜迷路出现积水后更容易发生低频感音神经性聋以及耳鸣。上期专栏文章对梅尼埃病的病因及病理机制假说、常见的临床表现进行了简要的讲解,今天继续对MD的组织病理学特点进行总结,可能对于我们理解临床表现,疾病发展和治疗效果有很大帮助。
本文为作者授权医脉通发布,未经授权请勿转载。
点击可回顾精彩内容☟☟☟
知识点总结:梅尼埃病的流行病学、诊断标准及辅助检查
梅尼埃病的病因及病理机制假说,你知道多少?
一文知晓:梅尼埃病常见的临床表现
概述
梅尼埃病(MD)是一种临床常见的眩晕疾病,占到所有眩晕疾病的3-5%,其特征是波动性的听力下降、阵发性眩晕、耳闷胀感和耳鸣。1861年,Prosper Ménière首先报道该病,认为是内耳迷路功能障碍所致。直到近80年后的1938年,Hallpike和Yamakawa才首次描述了MD患者的组织病理学表现。两个团队分别独立研究了MD死者的颞骨标本,发现患者在颞骨中存在前庭膜扩张,球囊壁膨胀,膜迷路破裂,瘘管形成等病理改变。之后国内外许多研究者做了进一步的组织病理学研究,并且有更深入的发现。本文将这方面的学习做一总结,可能对于我们理解临床表现,疾病发展和治疗效果有很大帮助。
01 内淋巴积水
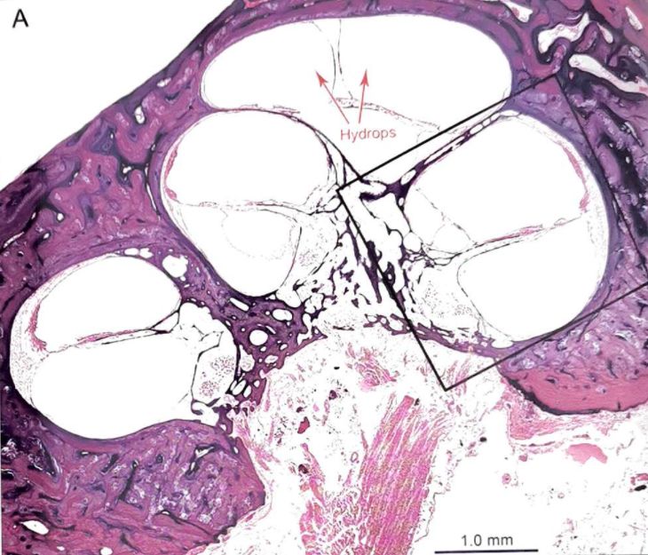
内淋巴积水(EH)自Hallpike和Yamakawa首次发现并报道以来,一直是颞骨组织病理学研究中非常常见的病理学发现。Paparella报道,MD最重要的组织病理学改变是耳蜗和球囊的内淋巴积水,即内耳的前下部分(图1)。从发育学来看,内耳的迷路膜在妊娠第6-12周发育,前下部分的结构比后上部分发育晚。而发育越晚的结构(耳蜗和球囊),可能越容易受到宫内损伤,从而导致MD的听觉症状发生率越高。

图1 右耳,耳蜗中段。中阶明显积水扩张
Nadol报道MD患者球囊膜膨胀,与镫骨底板的前庭面接触,前庭纤维化,或足板内表面与膜迷路一段之间可能存在纤维粘连(图2)。因此,临床上,如果患者遇到强声刺激、外耳道气压变化刺激,可能引起Hennebert征、Tullio征、眼震和眩晕表现。考虑:球囊积水,导致镫骨底板与球囊膜接触粘连,上述刺激时,镫骨底板活动直接刺激球囊斑,诱发相关症状。

图2 右耳,球囊内淋巴间隙的扩张导致球囊膜附着在镫骨足板上,并挤压椭圆囊

图3 球囊膜明显扩张,与镫骨底板之间形成纤维组织粘连。Footplate足板/底板;saccule球囊,fibrous tissue纤维组织
02 迷路膜破裂
Schuknecht等报道,24例MD患者的颞骨中,10例发现内淋巴和外淋巴间隙之间的膜迷路破裂(瘘管);9例位于球囊壁,1例位于耳蜗前庭膜。而膜迷路破裂,可能导致电解质失衡,诱发 MD急性发作,出现眩晕和听觉症状。另一方面,膜迷路破裂理论上可以作为释放积聚的内淋巴压力的手段,从而阻止内淋巴积水的进展。

图4 前庭膜(Reissner)膜破裂
另外,有学者提出,如果发生膜破裂,随后愈合后会留下一个向外淋巴腔横向延伸的隆起或囊袋。表现为:明显突出(outpouching)的薄的单层迷路膜(monomeric-like labyrinthine membranes),考虑可能是迷路膜的修复性再生表现。而反复的破裂-修复,会诱发膜结构逐渐纤维化,失去弹性,最终导致膜迷路(膜壶腹、椭圆囊、球囊、中阶)塌陷,萎缩。

图5 可以看到薄的外展/外突的修复性的椭圆囊膜(红色箭头)和破裂的椭圆囊(rupture)

图6 膜破裂后的修复性膜的形态(outpouching)

图7 椭圆囊塌陷(右侧红色箭头),壶腹嵴萎缩(左侧红色箭头)
03 Corti器官和耳蜗神经
MD患者的颞骨组织病理学显示耳蜗毛细胞和螺旋神经节细胞明显丢失,主要发生在耳蜗顶端。同时Corti器也会不同程度萎缩。而MD的早期听力损失通常在低频,也许这正是该组织病理学发现所能解释的。另外,超微结构检查显示,耳蜗神经纤维沿耳蜗广泛退行性变,导致毛细胞神经支配密度降低,特别是耳蜗顶端。

图8 可见在耳蜗顶端,耳蜗神经纤维几乎完全缺失(红色箭头显示)

图9 Corti器严重萎缩

图10 Corti器内细胞结构紊乱、破坏
04 血管纹
根据内耳淋巴循环理论,血管纹是内淋巴的产生器官,内淋巴囊是内淋巴的吸收器官(纵向流动理论)。同时血管纹还通过离子交换将外淋巴液转变为内淋巴液(辐向流动理论)。Sando等人报道,与正常人相比,MD患者耳蜗内血管纹明显萎缩。Masutani等人进一步报道,MD患者的血管纹( stria vascularis)的血管性较差与其血管纹的萎缩(strial atrophy)显著相关。因此,血管纹功能损伤会导致内耳离子交换失调,与MD患者的内淋巴积水有关。

图11 血管纹部分萎缩,红色箭头显示
05 壶腹嵴和囊斑
Masutani等人发现,MD患者半规管嵴帽明显萎缩,毛细胞损伤丢失,暗细胞密度明显低于对照组,且形态异常。Kimura等人推断位于椭圆囊斑周围和半规管壶腹嵴的暗细胞,在前庭迷路电解质的主动转运中起重要作用,并与内淋巴的产生有关。因此,Masutani等报道的暗细胞异常似乎与MD患者的内淋巴水肿密切相关。而嵴帽的毛细胞丢失和萎缩则导致MD患者的温度试验呈不可逆性的轻瘫表现。

图12 壶腹嵴上皮明显萎缩

图13 后半规管暗细胞区。箭头表示肿胀的暗细胞,细胞核不明显
McCall等研究了MD患者的前庭神经上皮(壶腹嵴和椭圆囊)形态改变,发现92%的外半规管壶腹嵴、75%的球囊斑和24%的椭圆囊斑正常的上皮细胞结构被单层细胞部分或完全替代。其中,在大多数壶腹嵴中,存在严重的毛细胞丢失、基底膜增厚和纤维化。电镜下可见血管周围基底膜增厚,纤维细胞增多,壶腹嵴和椭圆囊斑内皮细胞胞浆空泡化(此基底膜并非耳蜗基底膜)。
06 耳石膜
由于椭圆囊斑的病变,覆盖在椭圆囊上的耳石膜也随之容易退化。MD患者常伴有耳石危象(Tumarkin危象),可能与椭圆囊耳石膜退变、耳石脱落有关。Calzada等人研究发现,难治性MD患者的耳石膜有明显的萎缩(平均厚度为11.45微米) ,与正常对照组相比(平均厚度=38微米), MD患者的耳石膜呈退化、紊乱状态。即耳石器官的损伤可能是MD潜在病理生理学的一部分,也可能在跌倒发作中发挥作用。

图14 椭圆囊斑耳石膜,可见部分区域耳石膜萎缩(area of atrophy)

图15 椭圆囊斑耳石膜萎缩,导致大量耳石脱落,粘附于壶腹嵴,形成嵴石症 (见红色箭头)

图16 MD和对照组的耳石膜形态对比
07 前庭导水管
通过形态计量学分析,Sando等人研究了27例MD患者颞骨的前庭导水管(VA)的面积、长度、宽度、角度和位置,并与88例正常人颞骨进行比较。发现与对照组相比,MD组VA发育不全的发生率更高,且部分患者VA完全骨性闭锁。提示发育不全的内淋巴囊容易导致内淋巴积水和MD 的发生。

图17 VA骨性闭锁
08 内淋巴管和囊
Ikeda和Sando对25例MD患者的内淋巴管(ED)进行研究发现在MD病例中,ED峡部的宽度狭窄,囊周结缔组织纤维化(致密),管腔内嗜酸性物质沉淀明显,部分患者内淋巴囊(ES)明显较小,可能存在先天发育不全。根据许多研究者提出的内淋巴液吸收是ES最重要的功能之一的理论,他们认为狭窄的ED/ES是形成内淋巴积水的易感因素。囊周组织和腔内沉淀物明显纤维化加大了这种易感性。也有学者认为管腔内嗜酸性物质是内耳免疫功能丧失的证据。进入内淋巴液的“异物”抗原会被带到ED远端,通过巨噬细胞进行吞噬消化,而组织切片中嗜酸性物质显示的即是捕捉抗原的巨噬细胞。因此,在MD病例中观察到的ES腔沉淀物可能表明MD是一种自身免疫性疾病。

图18 右耳,囊腔内可见免疫沉淀物(红色箭头)

图19 内淋巴囊狭小

图20 内淋巴管纤维化,导致狭窄
另外,严重的膜迷路积水,可导致椭圆囊-球囊管和内淋巴管机械性阻塞,纤维化,甚至失去正常管壁结构,引起内淋巴循环障碍,继续加重膜迷路积水,形成恶性循环。

图21 随着球囊椭圆囊积水的加重,内淋巴流出道逐渐阻塞,并形成纤维化

图22 双侧MD患者,双侧前庭导水管内内淋巴管壁结构完全消失(红色箭头显示)
Ikeda和Sando也证明,与对照组相比,MD患者的ES中的血管更少、更小。Kimura等人进行了一项实验性动物研究,发现当VA的血流受阻时,会发生内淋巴积水和感觉细胞退化。因此,ES的缺血状态可能是导致内淋巴积水的一个因素,也可能是导致MD患者出现耳蜗和前庭症状的一个因素。值得注意的是,ES的血液供应来自脑膜后动脉的一个分支,后者是枕动脉的一个分支。因此ES是内耳结构中唯一由颈外动脉系统而不是椎动脉系统供血的结构。
09 前庭旁小管静脉
Ikeda和Sando研究了27例MD患者的颞骨中前庭旁小管(Vein in paravestibular canaliculus ,PVC)及其内容(静脉)发现,在4例(15%)MD患者中,PVC的一部分没有静脉,而对照组样本中从未观察到。PVC中的静脉是从内耳排出的两个主要静脉之一。它从前庭开始,一直延伸到后颅窝,目前已经证明,这种静脉的重要性在于它是前庭系统的排水通道,并且与ES的结蹄组织静脉丛(之后流向乙状窦和岩下窦或颈静脉球)有联系。因此,该静脉可能在内耳的流体动力学中起作用。可以认为PVC静脉的异常可能是MD患者内淋巴水肿病理生理学的一个因素。
10 岩骨气化与颈静脉球高位
Sando等人调查发现,MD患者VA周围区域的气房数量和大小明显低于对照组。而且气化不良似乎与VA发育不良密切相关,而由于气化的不良,又容易出现乙状窦的前移,减少了Trautmann三角的面积。加大MD外科手术难度。另外,研究还发现,一个向内上突入的高位颈静脉球伴骨性裂开,可通过骨缺损压迫ES或ES本身的皱褶部血管,导致ES功能障碍,有助于内淋巴积水和MD的发展。高位颈静脉球与乙状窦前移、VA和ES发育不全以及乳突VA周围区域的气化不良与MD患者的发病密切相关。
小结
作为一名临床医生,了解MD患者的颞骨组织病理学改变,可能对于我们理解MD患者的疾病发展有重要帮助,而随着现代分子生物学技术的提高,传统的组织病理学研究得到了大大发展。希望在不久的将来,这种与人类颞骨组织学切片有关的先进研究可以不断推进临床诊疗的发展。
注:文章图片来源于 Schuknecht’s Pathology of the Ear, Third Edition.
参考文献:
1. Ishiyama G , Lopez I A , Sepahdari A R , et al. Meniere\"s disease: histopathology, cytochemistry, and imaging[J]. Annals of the New York Academy of Sciences, 2015, 1343(1):49-57.
2. Sando I , Orita Y , Hirsch B E . Pathology and pathophysiology of Meniere\"s disease[J]. Otolaryngologic Clinics of North America, 2002, 35(3):517-528.
3. Hallpike CS, Cairns H. Observation on the pathology of Meniere’s syndrome. J Laryngol Otol 1938;53:625–55.
4. Yamakawa K. Uber die pathologische Veranderung bei einem Meniere-Kranken. Z Otol 1938;11:192-3.
5. Vosteen KH, Schuknecht HF, Pfaltz CR, et al, editors. Meniere’s disease: pathogenesis, diagnosis and treatment.New York: Thieme-Stratton Inc.; 1981. p. 10-15.
6. Sando I, Yamaguchi N, Ikeda M, Okuno T, Takahashi H. Correlation of otopathology with severity of hydrops. In: Nadol JB, editor. Meniere’s disease. Amsterdam: Kugler & Ghedini; 1989. pp. 41-7.
7. Sando I, Ikeda M. The vestibular aqueduct in patients with Meniere’s disease. Acta Otolaryngol 1984;97:558-70.
8. Ikeda M, Sando I. Vascularity of endolymphatic sac in Meniere’s disease: a histopathological study. Ann Otol Rhinol Laryngol 1985;94(Suppl 118):6–10.
9. Sando I, Egami T, Harada T. Course and contents of the paravestibular canaliculus. Ann Otol Rhinol Laryngol 1980;89:147-56.
10、Sando I, Ikeda M. Pneumatization and thickness of the petrous bone in patients with Meniere’s disease: a histopathological study. Ann Otol Rhinol Laryngol 1985;94(Suppl 118):2-5.

☑“医生,我感觉房间在倾斜”——探秘奇怪的倾斜错觉
☑ 前庭性偏头痛患者的听觉问题,你注意到了吗?
☑ 眩晕必备:扫视侧冲病变定位及推导
☑ 前庭性偏头痛患者的眼震和眼动特点,你了解多少?
☑ 图文共赏,后半规管BPPV眼震再认识
☑ 图文并茂:水平半规管BPPV眼震的机制再认识
☑ Rolltest眼震一侧向地一侧离地,这是耳石症吗?
☑ 这些不典型的水平半规管BPPV,你遇到过吗?
☑ 临床思考:单侧PC-BPPV患者会表现为双侧D-H test阳性吗?
☑ 眩晕基本功:知道BPPV还不够,CPPV也得了解下
☑ 临床答疑:低头-仰头试验/坐-卧位试验判断BPPV患侧的价值
☑ 什么样的“BPPV”患者需要仪器检查及药物治疗?
☑ 眩晕基本功:Gufoni法在HC-BPPV临床治疗中的应用
☑ 轻嵴帽的概念、假说及诊治,这篇文章讲得很详
☑ 图文并茂:轻嵴帽位置性眼震特点及形成机制、临床争议
☑ 一文了解:MD合并BPPV患者的发病机制与临床特点
☑ 常见继发性BPPV患者的临床特征,你了解多少?
☑ 眩晕基本功:真假前庭神经炎的鉴别
☑ 常见中枢性“恶性眩晕”疾病的鉴别诊断
☑ 经验之谈:关于BPPV眼震的10点思考
☑ 拾遗:BPPV的首发时间段、自然病程、残余头晕及诊疗技巧
☑ 头痛为何会头晕?浅谈三叉神经血管系统与内耳的血管支配
☑ 借助三个病例,细说外周前庭病变诱发的周期交替性眼
☑ 通过一个病例,聊一聊少见的头晕疾病——登陆病
☑ 上跳性眼震:一种易与后半规管BPPV眼震混淆的中枢性眼震
☑ 眩晕基本功:耳石/半规管信号的5条上行通路
☑ 中枢前庭系统:结构和功能概述
☑ 预防儿童偏头痛,生活方式干预不可忽视
☑ 梅尼埃病的病因及病理机制假说,你知道多少?
☑ 一文知晓:梅尼埃病常见的临床表现
