导读
简易精神状态量表(MMSE)与蒙特利尔认知评估量表(MoCA量表)是目前临床上应用最广泛的认知功能筛查量表,主要用于各种类型的认知障碍和痴呆的初步筛查。但两种认知评估量表具有各自不同的优缺点。本文以病例为引导,介绍了MMSE、MoCA的主要特点及评定中的注意事项。
医脉通编译整理,未经授权请勿转载。
病例概要
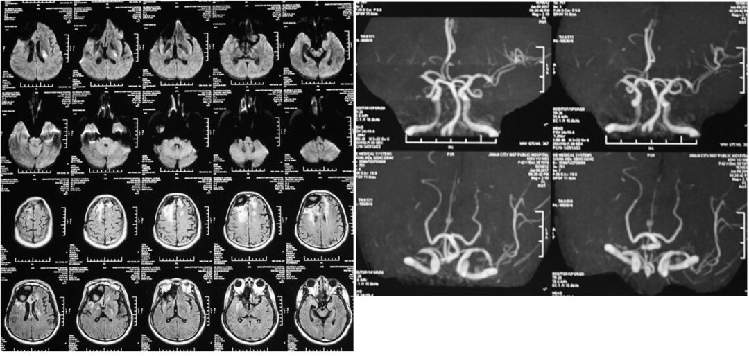
寇XX,男,42岁,右利手,是一名骨科医生,因“反应迟钝、记忆力减退、少语1月余”于2017年9月28日入院。
2004年因右侧额叶胶质细胞瘤行手术治疗及放疗;治疗后患者一直上班,工作、生活无影响。2015年胶质细胞瘤复发,再次行手术治疗,仍未影响生活与工作。2016年3月份再次行放疗治疗,治疗后正常工作、生活。
2017年6月份因“言语不清、右侧肢体无力”就诊于县级医院,诊断为急性脑梗塞,住院治疗后,遗留睡眠多、右侧肢体活动欠灵活。
家属回忆,患者6月份脑梗塞后,就存在轻度的记忆力下降的情况,但基本不影响生活、工作。偶尔开处方时会用错药物。

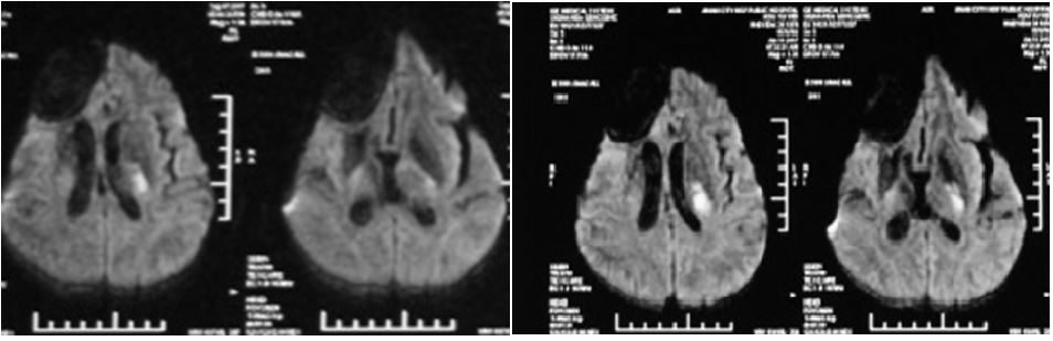
2017年6月与9月颅脑MR

2017年6月与9月颅脑MR
2017-09-28第一次来我院治疗。2017-10-23来我院门诊复查。2017-12-07第二次来我院认知康复治疗。2018-01-15第三次来我院行认知康复治疗。检查结果如下:

问题思考
基于上述病例简介,思考以下问题:
1. 患者MMSE、MoCA经治疗后分值正常,但家属诉患者仍反应迟钝,记忆力差,懒散,无主动性,不能上班。
2. 患者MMSE、MoCA分值正常,但ADL分值增加,基本日常生活能力下降!?
3. MMSE及MoCA同一患者重复评测出现假阴性。
4. MMSE及MoCA评定的缺点及注意事项有哪些?
5. 遇到这种情况怎么办?是否需要别的量表复测。
简易精神状态量表(MMSE)
概述
MMSE(mini-mental state examiniation)中文名“简易精神状态量表”,内容简练,共六个方面,共30个小题,测定时间短5-10分钟,易被老人接受,是痴呆筛选的首选量表。
该量表由Folstein编制于1975年,是使用最广泛的认知障碍筛选工具之一,评分易受到文化程度影响。主要用于痴呆的筛查和评估。

MMSE量表的条目(共6个方面30小题)

MMSE量表优缺点

补充方案

小结
➤ MMSE 以总分为分析指标,不能把单项分值视为相应的认知功能表现。
➤ 评价分数受到年龄和教育的影响,文化程度较高的老年人可能有假阴性,文化程度低的可能出现假阳性。
➤ 受语言的影响大,操方言者可能会出现假阳性。
➤ 语言测查的项目较多,主要对测查左侧大脑半球病变所致的认知功能障碍较敏感,而对额叶及右半球病变所致的认知功能障碍不敏。MMSE在评估额颞叶痴呆患者中的效力特别微弱。
➤ MMSE在鉴定早期痴呆,特别是轻度认知损伤方面较差。
蒙特利尔认知评估量表(MoCA量表)
概述
蒙特利尔认知评估量表(MoCA量表,Montreal Cognitive Assessment)是一个用来对认知功能障碍进行快速筛查的评定工具。耗时约15分钟。
该量表目前已被翻译成多种语言,我国流行的版本有北京版、北京-广州版(普通话版)、长沙版、粤语版、香港版和台湾版。

MoCA量表条目

MoCA量表的优缺点
MoCA量表对各种原因(如血管因素、脑炎、帕金森病、轻度AD)导致的MCI都较敏感,敏感度明显高于MMSE。

补充方案

小结
➤ MoCA 量表同样也会受到教育程度的影响,文化背景的差异、检查者使用 MoCA 的技巧和经验,检查的环境及被试的情绪及精神状态等均会对 MoCA 的分值产生影响。
➤ MoCA 只能作为MCI 和 AD 诊断的筛查工具,对痴呆的病因诊断方面作用有限,MoCA 用于痴呆疗效的评定尚有待于进一步评价。
➤ MoCA量表的不足主要体现在相较MMSE题目变复杂而带来的地板效应。
➤ 检测认知功能损害的最早期阶段,MoCA量表可能比MMSE量表更合适。
MoCA与MMSE的比较

MMSE与MoCA评定注意事项
环境准备
➤ 安静、舒适,并尽可能保证以后的测试在相同的环境中进行
➤ 房间中不能有受访者可看到的钟表、日历等,最好使用“请勿打扰”标志
➤ 不应让受访者看到你对他的评分
人物准备
➤ 建立良好的关系
➤ 备物齐全(铅笔、手表、纸张等)
➤ 鼓励受访者完成测试,提供眼镜/助听器
➤ 给予正性的反馈
➤ 应尽量避免搜集任何关于不良事件的信息
最初的交谈
➤ 开始前进行5分钟左右的交谈,话题是中性的,比如天气、最近发生的事情等
➤ 注意:避免谈到受访者的健康、负性的、有压力的事情
测试中注意事项
➤ 不应使受访者感到要求的回答速度过快
➤ 每个测试项目只允许尝试1次
➤ 受访者的反应不正确,测试者应开始下一个项目的检查
➤ 给予受访者的反馈应当是中性的,而且通常不应当指出受访者的反应是对还是不对
➤ 评价恰当
➤ 受访者特意询问自己是否做对了,可以给予反馈
尽量取得受访者合作
➤ 同受访者的交流要保持平静、前后一致和简明扼要
➤ 不要让受访者的焦虑或愤怒导致对抗
➤ 如果受访者仍然不合作,那么测试者应当暂时停止测试
其它注意事项
➤ 向被试者直接询问
➤ 可以由照料者陪伴以缓解紧张
➤ 注意避免伤害老人的自尊心

问题分析
介绍了这么多,对于前文中的问题大家心中是否已经有了答案?快来一起看看吧~
1. 患者3个半月内评定4次MMSE及MoCA,评定过于频繁,出现假阴性。
2. 患者学历高,骨科主治医师,学习能力强,存在学习效应。
3. 患者家属照顾的过于周到,患者的康复能力、锻炼能力受到影响,基本的穿衣、洗漱、吃饭等都是家人照顾。
4. 虽然MMSE及MoCA分值恢复正常,但患者的ADL评分增高,客观说明患者痴呆程度加重。
5. 当患者需要重复评测时,应至少间隔3个月评定一次,或者换用其他量表进行评测。( CASI,ACE-R ,CDR,GDS)
参考资料:屈传强:MMSE、MoCA的规范使用.第七届神经内科医师大会.
