
近日,一位怀有双胎的37岁的女士因持续一夜的下腹部坠痛来到医院急诊。经紧急超声检测宫颈长度,超声医师发现这位女士宫颈全开并且羊膜已突进宫颈内。这位女士是典型的宫颈机能不全,但因错过了最佳就诊时机,最终这位女士不幸流产。其实如果能早一些按照医嘱定期进行宫颈长度的测量,或是疼痛刚一发生时及时就诊,或许可以避免悲剧的发生。

接下来由医学影像科医生给大家科普一下宫颈机能不全的原因以及宫颈长度的测量方式:
宫颈机能不全
宫颈机能不全亦称子宫颈内口闭锁不全、子宫颈口松弛症。是导致早产及中、晚期重复性流产的一个主要原因,应该引起足够重视。
宫颈机能不全的病因分为先天性及获得性:
①先天性主要包括先天性宫颈解剖结构及组织结构的异常;
②获得性包括机械性损伤(如分娩,刮宫术,宫颈锥切)及生化因素(如炎症、血栓)的影响。
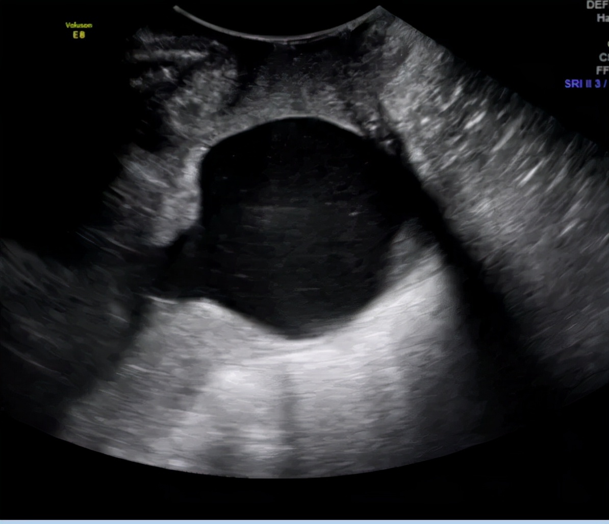
那么,测量宫颈长度的超声如何选择:经腹 or 经阴道 or 经会阴?

经阴道测量 是测量宫颈长度的首选方法,经阴道超声检查的超声图像可视性较好,测量结果可重复性高且可靠,并且对预测自发性早产更敏感。经阴道超声检查被认为是评估宫颈长度预测早产的金标准。

经腹测量 探头从腹壁测量宫颈长度,这个操作方式是宝妈最为接受的一种检查方式。但是经腹测量宫颈长度是不够准确的,所以并不适应所有的宝妈。原因在于:
①经腹超声测宫颈时为获取良好图像常需充盈膀胱,人为使宫颈伸长且掩盖了漏斗样宫颈内口;
②妊娠20周后,因胎儿胎头或肢体的遮挡可能使宫颈显示不清;
③超声探头与宫颈之间距离较远,使图像质量下降;
④宝妈如果过于肥胖,腹壁的脂肪层会影响图像的质量;
⑤操作时超声医生额外的手部加压可能导致宫颈假性的延长和变形。
经会阴测量 探头无需进入阴道,对宫颈无挤压局限性,但是因为直肠气体会对宫颈外口显示产生干扰,因此测量也不够准确。

医学影像科医生表示,宫颈机能不全是孕期常见的不良并发症之一,极易导致流产及早产,定期检查宫颈长度是最直接最简单的发现宫颈机能不全的方式,可以及时发现并且预防宫颈机能不全导致的一系列的后果,所以孕妈们特别是怀双胎的孕妈们,务必要定期测量宫颈长度,避免发生同样的悲剧。怀胎十月,过程很是艰辛,愿每一位孕妈和宝宝都能平平安安、健健康康。