来源:器械之家
近日,据海外媒体报道,迈瑞医疗推出业内首个带有 Auto GA(胃窦)评估功能的TE9床旁超声系统。此外,借助该工具和其他工具,TE9 有望增强麻醉、急诊和重症监护应用的成像能力。
“新的 TE9 配备了许多功能,旨在扩展床旁超声解决方案并满足不断变化的临床需求,”迈瑞医学影像系统业务部总经理徐进在一份声明中说。

迈瑞的 TE9 是第一台具有自动 GA 功能的床旁超声设备(照片由迈瑞提供)
01
业内首个 Auto GA(胃窦)超声系统
一直以来,迈瑞深刻洞察临床需求,致力于推动超声多领域应用的发展。今年4月份左右,迈瑞医疗推出的TE7、Resona I9等不下十款功能不同的超声系统,用于成像中的复杂临床场景。


据官网显示,以创新理念推出高端平板彩超TE7力求让医生使用“像听诊器一样方便的超声”。它将临床非常关心的诸如:针尖显示、神经、药液扩散、关节腔间隙等精细解剖结构清晰呈现于医生眼前。全新的手势多点触控屏幕,不仅使用便捷、同时还给百忙中的医生带来一份轻松和愉悦。同时主要用于以下临床场景:

急诊FAST模式,快速启动响应,全面探头临床解决方案

麻醉穿刺针增强iNeedle,手势操作,全方位易于清洁消毒的整机设计,支持TEE探头

专业的心肺功能评估模式,智能血流追踪Smart track,快捷存储。
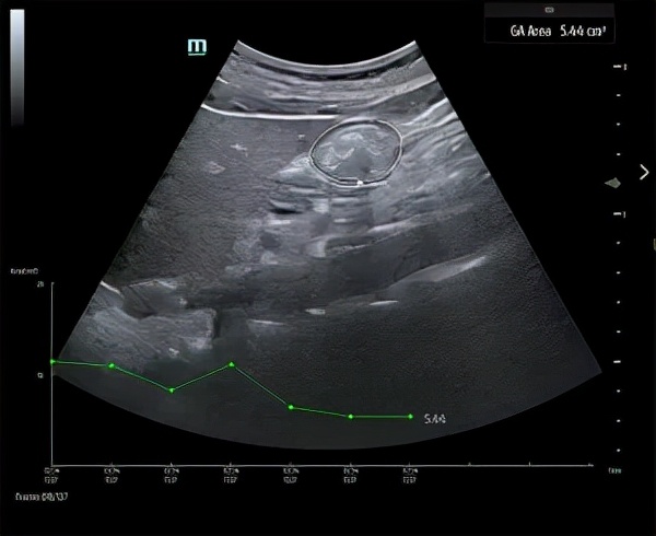
相较于TE7来说,带有首个Auto GA(胃窦)复杂评估功能的TE9超声系统就更上一层楼了。它可通过自动识别胃窦的边缘,胃的较小远端部分,并通过单次屏幕点击测量其面积,帮助临床医生评估胃内容物。该信息有望帮助确定哪些外科手术适合个别患者。
除了 Auto GA 之外,TE9 还配备了 21.5 英寸的大型高清触摸屏以及一流的成像和换能器技术,可实现快速准确的诊断。它还提供智能 IVC 等自动化功能,帮助临床医生评估和收集患者在床边、手术室或移动时的可重复测量值。
视频加载中...
它的工具包括 eSpacial Navi,这是一种 4D 磁针导航技术,可让用户在平面内和平面外手术过程中更好地可视化和确认针的正确位置。另一个相关功能是 iNeedle,即使在大角度操作期间,它也能提高针头的可见度,以确认正确的针头位置,同时最大限度地减少对周围组织造成伤害的风险。

POC高端平板彩超TE9
TE9 还可用于通过其 iVocal 语音命令口述免提指令,以加快响应时间。它还可以通过 eGateway 集成解决方案连接到医院网络,这是一种信息学解决方案,旨在将联网的迈瑞临床解决方案与医院的 ADT、CIS、EMR 和警报管理系统连接起来。 这使临床医生能够轻松安全地访问患者数据并将检查信息、图像和报告发送到 EMR 系统,从而消除手动转录错误并简化决策制定,以提高工作流程和生产力。
据了解,迈瑞医疗还在上个月与 美国最大医械翻新商Probo Medical 合作,这将销售其一系列超声成像解决方案,从入门级黑白系统(如迈瑞的 Resona 7 系统),到嵌入了人工智能技术(如 TE7 便携式超声仪)的基于推车的高级触控解决方案。
今年2月,迈瑞北美公司就已宣布推出新的inReach产品翻新计划,每个迈瑞认证的产品都需要经过训练有素的技术人员进行12道全面翻新流程,确保每件产品都符合最严格的质量标准。而通过 inReach 翻新计划,供应商可以获得迈瑞可靠的产品性能和高质量的解决方案。
02
细数长期主义者超声发展历程
超声影像诊断技术问世以来,虽然有了非常大的进步,但如何更有效地辅助医生进行智能诊断;如何有效地提高信噪比,让医生更清晰地观察病人组织;如何更方便地辅助手术或者门诊的操作。这些问题始终都是研究者们关注的重点。
一直以来,注重创新的迈瑞超声发展有着惊人的进步:在2006年推出了DC-6——真正意义上的第一款made in china的彩超,使得在彩超这个品类的本土品牌第一次可以和进口品牌同台竞技(虽然DC-6的主要装机客户级别不高,多数用户也不是核心科室),但是DC-6超高的性价比和迈瑞超声营销团队出色表现,使得该单一型号上市第一年便卖了接近800台,绝对配得上“传奇”二字。
随后迈瑞便携彩超M7的诞生,这个产品的出现不仅让国产超声在图像上真正得到了一线超声专家的认可,标志着迈瑞超声平台搭建成熟,更取得了国际知名的红点设计大奖(有记录的最早的中国医疗器械企业获得的红点设计大奖)。
迈瑞2013年以1亿美金全资收购美国超声品牌ZONARE,这是中国公司超声领域的首次完整国外品牌并购(业内单一产品线的收购以前有过,比如1997年SIUI收购ATL的Apogee产品线),由此推动了2015年发布的旗舰机型RESONA 7向全球高端超声阵营发起了全新挑战。
全新的超声产品——Resona7
通过此次收购,迈瑞加强了公司在高端超声方面的研发能力,进一步拓展美国市场,并向全球高品质影像产品领导者的目标迈进。与此同时,迈瑞超声在行业内的全球排名已上升至第六位,中国排名第三,国内出货量第一(这当然也得益于基数巨大的中低端机型的出货量);总的来说,迈瑞是目前中国超声诊断领域一哥是没有争议的事情。
后来,迈瑞超声凭借高端优异的成像技术,以及贴合临床应用需求的智能化应用、优化交互设计等亮点,早已在美国医疗机构广受欢迎,成为众多科室的首选方案。早在2016年,迈瑞床旁超声系统在美国市场占有率已达到第三名。
新冠疫情期间,超声也受益国内和国际部分地区疫情受控之后常规诊疗活动的恢复,超声采购逐渐增多,使得整体医学影像产线上半年实现了27%的恢复性高增长。如剔除抗疫相关的DR产品的影响,医学影像产线上半年增长超过30%。
这是一个检验成色的时代,核心是谁能穿越行业周期,用持续稳健的业绩,以及核心关键技术支撑的产品来推动企业继续快速发展。在医械领域所有企业都在担心集采的时候,A股市场医械企业也在走向分化。

作为中国医疗制造的“新名片”,今年上半年迈瑞医疗实现营业收入127.78亿元,较上年同期增长20.96%,净利润43.44亿元,同比增长25.79%,经营数据亮眼,业绩稳健增长。近几年,迈瑞医疗能持续增长得益于生命信息与支持、医学影像、体外诊断三大业务齐心发力。
超强的科技实力背后,是迈瑞医疗持之以恒地重视研发。数据显示,2015年至2020年,迈瑞医疗合计研发投入84亿元,年均占营收比例维持在10%以上的高水准。上半年报显示,迈瑞医疗研发投入11.65亿元,同比增长16.02%。
在研发能力的提升上,迈瑞医疗建立的是全球研发网络,拥有一系列自主可控的关键技术。上半年,迈瑞医疗产品不断丰富,持续推陈出新,尤其在高端产品不断实现突破,包括HyPixel R1 4K超高清荧光内窥镜摄像系统、POC高端平板彩超TE9、高速CRP和SAA检测一体机、BC-7500 CS系列血液细胞分析仪等。
从半年报来看,基于持续的研发投入、在全球市场的20年深耕,迈瑞医疗已经逐渐形成了多元化、全球化的经营格局,建立了牢固的护城河。在行业中,特别是国内二级市场,已经具备了独特的稀缺性。面向未来,随着全球医疗新基建窗口期的打开,这家创业板龙头的价值会逐渐得到时间的印证。