病例描述:患者,男,45岁,右上腹不适14个月入急诊外科。入院后出现左侧面部麻木,次日出现左眼睑下垂闭合,左眼球固定,左眼失明,瞳孔直径4.5mm,对光反射消失,左额面部、鼻左部感觉迟钝。考虑为海绵窦血栓?眶尖综合征、急性副鼻窦炎。全麻鼻内镜下双侧鼻窦探查开放术,见鼻中隔利氏区0.3厘米圆形穿孔,双侧中鼻道、双侧上颌窦、蝶窦内白色粘稠分泌物。经相关科室会诊后,考虑为急性副鼻窦炎(急性暴发性霉菌性鼻窦炎)。
患者,男,45岁。
主诉:右上腹不适14个月入急诊外科,入院后出现左侧面部麻木。
现病史:入院次日即2月13日出现左眼睑下垂闭合,左眼球固定,左眼失明,瞳孔直径4.5mm,对光反射消失,左额面部、鼻左部感觉迟钝。考虑为海绵窦血栓?眶尖综合征、急性副鼻窦炎。2月17日行全麻鼻内镜下双侧鼻窦探查开放术,见鼻中隔利氏区0.3厘米圆形穿孔,双侧中鼻道、双侧上颌窦、蝶窦内白色粘稠分泌物。经相关科室会诊后,考虑为急性副鼻窦炎(急性暴发性霉菌性鼻窦炎),转入呼吸内科治疗。 薇 xin:vzb0066
既往史:乙型肝炎后肝硬化代偿期病史两年,糖尿病病史多年,未规律治疗血糖控制不良。
个人史:已婚,配偶及子女身体健康。
家族史:其兄因肝癌于2年前死亡,无其他家族疾病史。
体格检查:T38.5℃,R90次/分,BP152/90mmHg 一般状况 神志清楚,言语流利记忆力、计算力、定向力概测正常。嗅觉未查。专科情况:左侧眼睑下垂,左眼球中间位,左侧瞳孔直径约4.5mm,直接及间接对光反射消失。双侧鼻唇沟对称,示齿口角不偏,鼓腮有力。听力概测正常,双侧软腭抬举正常,悬雍垂居中,咽反射存在。双侧胸锁乳突肌容对称,转头耸肩有力,伸舌不偏。肌力、肌张力正常,生理反射对称存在,病理反射阴性,左侧面部痛觉减退,无项强,克氏征阴性。
辅助检查:血常规、肿瘤标志物、肝功、肾功未见明显异常,血糖测不出很高;传染病综合抗体 HBsAg、HBeAb、HBcAb 阳性;
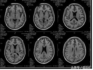
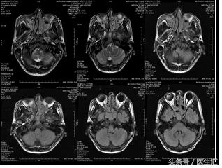
头部、腹部MRI 示双侧副鼻窦炎,肝硬化、脾大、门脉高压症(如下图)。


初步诊断:急性暴发性霉菌性鼻窦炎
肝炎后肝硬化 乙型 代偿期
2型糖尿病
诊断依据:1、糖尿病病史多年,未治疗
2、起病急、进展快、该患已侵犯至眶内(左眼)、眶尖,并考虑已侵袭至海绵窦。
3、急诊手术中见全组鼻窦充满灰白色牛奶样分泌物,窦口粘膜质韧,符合真菌感染征象。
4、术后鼻腔镜下见双侧鼻腔粘膜干燥,可见黑色干痂,不易取出。
治疗原则:1抗感染2降颅压3改善微循环4保肝控制血糖
治疗经过:治疗过程中体温变化及抗生素使用情况

(静脉应用两性霉素脂质体和鼻内镜下两性霉素清洗窦腔)
治疗过程中生化指标变化

治疗结果:患者康复出院
更多病例可到医学V直播(医生汇)观看。