转自: 超声技术与诊断
现病史
患者1年前无意中发现下腹部有一拳头大小肿块,无疼痛,无恶心、呕吐,无腹泻、便秘,无便血及黑便,无发热,4月前到当地医院行肿块切除,具体不详,术后自觉肿块无明显缩小,且逐渐增大,伴疼痛,呈持续性隐痛,为进一步诊治到我院就诊。
专科查体
腹部柔软,无压痛,无反跳痛及肌紧张,下腹部触及一肿块,质韧,轻压痛,边界不清,活动度差。
实验室检查
未见异常
MRI检查
前下腹壁见一巨大囊实团块状占位,信号混杂不均,呈等长T1、等长T2信号,增强扫描呈明显不均匀强化,囊变坏死灶未见强化,病灶上缘与腹直肌、下缘与耻骨肌分界不清,大小约7.0×9.9×9.7cm,周围组织受压推移;双侧腹股沟区见多发肿大淋巴结影,增强扫描明显强化。
超声检查

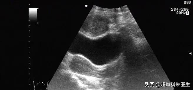
上图显示包块、膀胱、子宫附件的关系



通过动态观察,可见包块位于腹膜外,与腹直肌分界不清,具体关系如上图所示

宽景成像显示包块大体样貌

高频探头显示包块与腹直肌的细节关系

高频探头显示包块内部回声细节
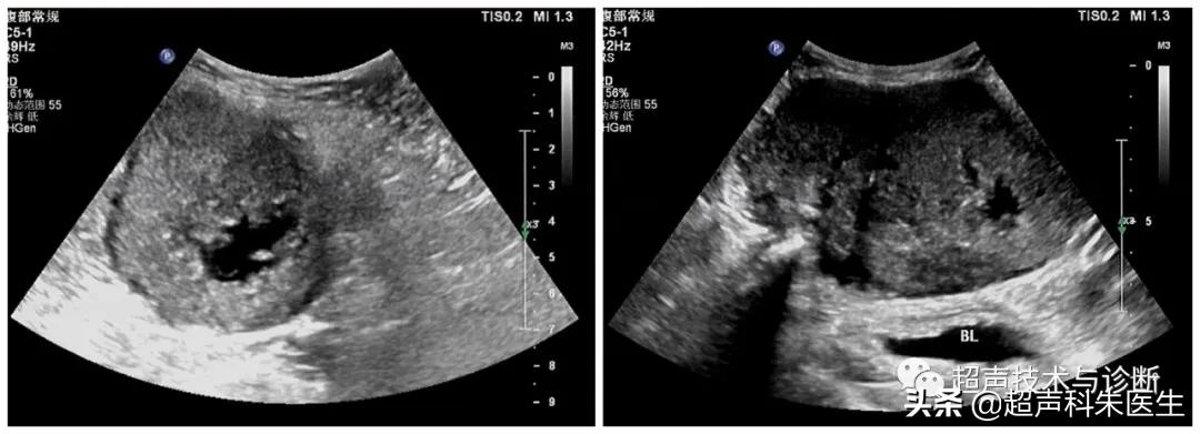
超声所见:下腹部腹膜外探及一低回声团块,大小12.4*6.9*9.0cm,边界清楚,内部回声不均质,内见散在点状强回声及小片状无回声区,包块与腹直肌分界不清,CDFI观察:其内可见少量血流信号。
术中所见:包块与周围肌肉组织粘连紧密,无明显分界,左右两侧侵犯腹直肌,深面与腹膜粘连,下方达耻骨联合,与耻骨联合无明显分界。
术后病理:侵袭性纤维瘤病(又名韧带样瘤)
侵袭性纤维瘤病又称为韧带样瘤、韧带样型纤维瘤病、硬纤维瘤,2006年WHO将其定义为软组织中间型肿瘤,生物学行为介于良性纤维瘤与纤维肉瘤之间,起源于深部软组织的纤维母细胞克隆性增生性病变,主要见于肌肉内结缔组织及其被覆的筋膜和腱膜,常向邻近肌肉组织或脂肪组织内浸润生长,根据解剖部位,可将其分为腹壁型、腹外型及腹腔型,其治疗方法以手术为主,但复发率较高。
不同分型所累及部位:
腹壁型:主要累及腹壁肌层(特别是腹直肌)、腱膜
腹外型:主要累及颈、肩、背部、胸壁、四肢等骨肌系统
腹腔型:主要累及肠系膜、胃结肠韧带、大网膜、腹膜后
侵袭性纤维瘤病的病因尚不清楚,可能与遗传、内分泌和物理因素有关,其大体标本显示病灶呈浸润性生长,边界不清,质地较硬,切割时有砂砾感,切面呈白色;显微镜下以长形、梭形细胞增生为其主要特征,周围有胶原性间质和数量不等的血管,血管周围可出现血肿,其细胞核通常无特异性。
临床表现:患者常在无意间触及肿块,可有微痛感。
超声表现:
①数目上:多单发,若为肿瘤复发,则可表现为局部多灶性生长。
②韧带样肿瘤体积一般较大,主要表现为低回声团块,形态常不规则,呈梭形或分叶状,通常无包膜,部分周边可见假包膜回声,肿瘤边界清楚或不清楚,常沿肌纤维生长,可包绕、压迫或侵犯临近骨骼、神经及血管组织,CDFI:肿瘤内可见点、条状血流信号。
③肿瘤不发生远处转移,周围无异常肿大淋巴结。

鉴别诊断:
①神经纤维瘤:神经纤维瘤有完整包膜,肿瘤与神经纤维瘤相连,内部较韧带样肿瘤更易出现液化灶。
②纤维肉瘤:肿瘤生长迅速,质地柔软,边界清楚,出血坏死液化常见,内部血流信号丰富。
③腹内型还需要与胃肠道间质瘤、肠系膜转移癌、腹腔淋巴瘤等鉴别。