
“是男孩儿!”7年前的一天,河南新乡市刘女士一家人在产房里终于等来了期盼已久的孩子闳闳,对他们来说,这是全家的希望;但仅仅48天后,闳闳无明显诱因出现抽搐发作症状,双上肢快速抖动,持续约1-2秒后缓解,约1天发作5次,后发作加重,频率增多至1天10余次;出生后86天时闳闳被确诊为结节性硬化症——一种非常罕见的神经皮肤综合征。

生活中大喜到大悲,往往只是一瞬间。之后的7年,全家走上了漫漫求医路……
闳闳患病后,妈妈刘女士查阅了各种关于该疾病的资料,几乎成了百事通——“这是一种非常罕见的常染色体显性遗传的神经皮肤综合征,多发于儿童,可以累及脑、皮肤、肾脏、心脏等全身多器官组织,发病率约为1/6000-14000活婴,男女之比为2:1,临床症状表现为面部皮脂腺瘤、智力低下和癫痫发作,其中癫痫最为常见”。谈到孩子的病,精通外语的刘女士几乎是滔滔不绝。
闳闳的临床表现症状正是结节性硬化症最为常见的癫痫发作,双上肢强直,双眼斜视,呼之没有反应,一天发作十余次甚至数十次。刘女士带儿子几乎试遍了国内所有的抗癫痫药物,效果却都不理想,找不到病因,也只能眼睁睁看着孩子忍受病痛折磨。
一次偶然机会,刘女士从病友那里尝试借来国外研制的药物让儿子服用,结果癫痫发作得到了有效控制。但该药到目前为止仍未在中国取得药品批准文号。
由于罕见病患病人群少、市场需求少、研发成本高,很少有制药企业关注其治疗药物的研发,而且价格昂贵,没有纳入医保。很多治疗罕见病的药物甚至无法在中国注册,绝大多数要依赖国外进口。
刘女士想买到治疗结节性硬化症的药物,只能托亲朋好友在土耳其、加拿大、台湾等地代购后捎后国内。从2013年国外代购至今,一直没有中断,每个月平均要花费2000元。
国外代购药物。这让人想起了不久前大火的电影《我不是药神》,片中很多白血病友就通过演员徐峥饰演的药店店主从国外代购救命药物,淋漓尽致地展现了罕见病病人这一群体的生存困境。“我没看过这个电影,但我知道里面的剧情,我觉得我们这些人(患者和家属)很像电影里的病友,穷尽各种办法,但依然无法阻止病情,软弱无助。”刘女士有些无奈地说道。
日益严重的病情
刘女士介绍,服用药物后,孩子的癫痫虽然得到了有效控制,发作频率明显降低,但发作程度很严重,只要出现发烧超过37.5°C的情况,就会出现癫痫发作,不仅有抽搐抖动,而且上吐下泻,呼吸也受到了严重抑制,甚至还出现过呼吸暂停、送往急救的情况。
而且由于癫痫发作,也对闳闳的智力发育情况造成了严重影响,7岁的年龄但是目前只有2岁的智力,无法和爸爸妈妈进行正常的言语交流,只是活在自己的世界中。这个“不食人间烟火”的孩子,让人看着很是心疼。
刘女士一家带闳闳跑遍了国内各大医院,但治疗效果均不理想。经过多方打听和病友推荐,2018年8月来到首都医科大学三博脑科医院入院治疗。

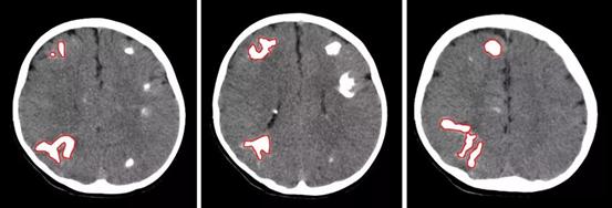
术前CT,红圈标注为不同角度下的右侧脑部4个大结节
通过脑CT及核磁共振检查结果发现闳闳脑内长满了结节点,密密麻麻多达数百个,大的有鸡蛋大小,小的如玉米粒般,布满了整个脑部。在充分研判了患儿病情后,神经外科一病区主任关宇团队决定实施外科手术治疗。

8月31日,关宇光团队为闳闳进行了手术,右侧脑部4个大的结节点被成功切除,术后患儿情况稳定,恢复良好,最让家长担心的癫痫发作也得到了有效改善,即使发热高烧到39°C,也不会出现癫痫抽搐发作,多年的心结终于放下。

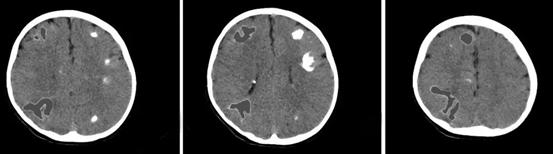
术后CT示意图,右侧脑部4个大结节点(灰色阴影部分)被成功切除
结节性硬化症由基因突变引起,致病基因主要为TSC1和TSC2基因突变,80%患者都在此基因位点找到突变位点。结节硬化症属神经皮肤综合征,可累及全身多个系统,最常见症状为皮肤改变。90%结节硬化患者出现癫痫发作,除失神发作外,几乎所有发作类型都可出现,且结节硬化患者癫痫发作约1/3在一岁内,若不尽早控制,可对孩子智力和运动造成影响。结节硬化确诊后须尽早治疗控制癫痫发作。
