
病史简介
患者,女性,40岁,2005年9月,行右乳肿块区段切除术,病理为:浸润性小叶癌,ER(±)、PR(+)、C-erbB-2(-)。术后行NE化疗1个周期,于2005年10月行右乳癌保乳术,术后病理提示:右乳小叶导管内上皮异型增生癌变,淋巴结0/5,ER(++)、PR(++)、C-erbB-2(+)。术后行NE化疗5个周期且其间行局部放疗。化疗后,行戈舍瑞林治疗2年,停药后,恢复月经。
2009年11月,因右乳腺肿物复发行右乳单切术,术后病理提示:浸润性导管癌Ⅱ级,ER(++)、PR(+)、C-erbB-2(-)、Ki67(10% +)。术后行TP方案化疗6个周期。化疗后,行戈舍瑞林+阿那曲唑治疗。2013年6月,复查胸CT显示:见左肺下叶肿物,伴左肺上叶和右肺气管旁小结节(图4-3-1,图4-3-2),进行PET-CT提示:左肺下叶原发肺癌可能性大,左肺上叶及右肺门结节考虑转移可能大。

Q、患者肺内病灶的来源是什么?
1. 原发肺癌? 2. 乳腺癌肺转移?
影像科专家点评
影像学中,原发性肺癌,如中央型肺癌,常显示肺叶或一侧全肺不张,靠近肺门区边缘不整齐或分叶状肿块和纵隔淋巴结肿大影像。癌肿病灶中心部分坏死形成空洞者,则显示肿块内有偏心性透亮区,空洞壁厚,内壁凹凸不平,较少呈现液平面。
周围型肺癌最常见的X线表现为肺野边缘部位孤立性圆形成椭圆形块影,直径从1~2cm至5~6cm或更大。块影直径小于3cm的周围型肺癌俗称小肺癌,其早期主要表现为肺内孤立的结节状或球形结节。轮廓不规则,常呈现小的分叶或切迹,边缘模糊、毛糙,常发出细短的毛刺。
而乳腺癌肺转移表现多为肺多发结节,约占75%以上;少数单发。多发者,结节多位于两肺外三分之一的胸膜下区或叶间裂附近,且多位于肺的基底部,肺中、下叶的结节数目明显多于上叶。结节的大小可从粟粒样至5cm或更大,多发结节的大小多不等。结节的形态多呈规整圆形,密度均匀,边缘光滑、锐利。但是,偶尔可有例外,结节边缘可模糊;或结节周围呈毛玻璃样致密(所谓CT晕征);或结节边缘出现毛刺而酷似原发性肺癌;或结节呈明显分叶状。
患者肺内多发结节,不排除第二原发癌症可能,建议活检。对于肺部原发和转移灶的鉴别,在临床上很重要,某些肿瘤可具有比较特殊的肺转移表现:甲状腺癌的转移结节可呈现似雪花状,并且生长缓慢;肾癌或滋养细胞肿瘤的肺转移可自发性消失或原发瘤经治疗后转移瘤亦消失。
孤立结节:少数肺转移瘤可表现为一孤立结节。如无恶性肿瘤史时,孤立结节肺转移瘤的可能性为0.4%~9%;若有胸外恶性肿瘤史,则CT检出的孤立结节中46%为转移瘤。某些原发瘤易造成孤立结节肺转移,包括乳腺癌。CT上多表现为规整球形,边缘光滑、锐利,或轻度分叶状,主要位于下叶,无卫星病灶。
肺癌原发一般多有以下几个特征:
①分叶征,病灶边缘凹凸不平呈分叶状。这是由于癌细胞分化程度不一致,各部位生长速度不同。在支气管、血管进出病灶处往往呈现凹陷,70%~80%具有分叶征的肺部结节是恶性病变。
②毛刺征:病灶边缘不同程度可见细短毛刺,棘状突起或锯齿状改变,常见于病灶和正常肺组织相交面。此为肺癌的常见征象,发生率为80%~85%。肺癌的毛刺为短毛刺。
③胸膜凹陷征:位于肺周围的病灶与脏层胸膜之间的条形影像改变,导致胸膜凹向病灶方向。常见于肺腺癌,原因是肿瘤的纤维化收缩所致。
胸外科专家点评
根据影像学表现左肺下叶病灶毛刺状,伴胸腹牵拉,形态学倾向于肺原发肿瘤。但因该患者肺内多发结节,并且有乳腺癌病史,不能排除乳腺癌肺转移的可能,目前虽无根治手术指征,建议行穿刺活检,明确病理来源。
后续治疗:2013年6月,行左肺下叶肿物穿刺,取病理提示:肺中分化腺癌。EGFR检测显示,19外显子缺失突变。于2013年9月开始口服特罗凯。2014年4月,复查见左肺下叶病灶缩小(图4-3-4),但右肺门及左肺上叶结节增大(图4-3-3)。为了明确双肺上叶结节病理来源,行右肺上叶病灶活检,病理回报:乳腺浸润性导管癌转移,ER(+++)、PR(-)、HER-2(2+)、Ki67(约5% +)、FISH检测HER-2无扩增。
Q、如何进行下一步治疗?
1. 靶向治疗 2. 化疗 3. 内分泌治疗
肿瘤内科专家点评
患者在明确左肺下叶结节为原发肺癌伴EGFR19外显子缺失后,给予EGFR TKI治疗,其中左肺下叶病灶明显缩小,而双肺上叶结节均增大,治疗反应不一致。经活检明确右肺上叶结节为乳腺癌肺转移,根据治疗反应推断,左肺上叶结节也是乳腺癌肺转移。
目前,全身治疗要兼顾肺癌和乳腺癌两种疾病,由于左肺下叶结节对EGFR TKI治疗有效,保留TKI治疗。根据患者既往内分泌治疗(戈舍瑞林+阿那曲唑)反应,DFS为40个月,属于内分泌继发耐药。目前,患者穿刺活检乳腺癌肺转移,且ER强阳性,属于Luminal A型,相对预后较好。目前,肿瘤负荷不大,无明显症状。针对双肺上叶乳腺癌转移的病灶,应首选内分泌治疗。
后续治疗:2014年5月至2014年6月,行GT(吉西他滨+紫杉醇)方案化疗2个周期,并继续厄洛替尼治疗。
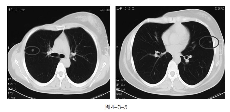
病情变化:2014 年6月,复查CT提示,肺内新发转移灶(图4-3-5),病情进展。

Q、如何明确肺内再次出现的新病灶来源什么?
1. 乳腺癌肺转移 2. 肺癌转移
介入科专家点评
患者左肺下叶原发肺腺癌未进展,提示从TKI中持续获益,应继续TKI治疗。肺内新发病灶相对较小,穿刺成功率低,可以考虑再次行穿刺活检明确新发病灶病理来源。
肿瘤内科专家点评
患者拒绝再次活检,考虑患者为肺癌、乳腺癌双重癌,左肺腺癌经EGFR检测示19外显子突变,经TKI治疗后左肺下叶原发灶疗效PR。经GT化疗方案2个周期,疾病进展,肺内出现新病灶。
目前,无法判断肺新发病灶来源,治疗上仍需要兼顾肺癌和乳腺癌的两种肿瘤特征。如果新发病灶为乳腺癌转移来源,由于患者属于Luminal A型且肿瘤负荷较小,从化疗获益不大,仍可考虑内分泌治疗。
由于既往为AI继发耐药,对当前化疗不敏感。AI耐药机制包括ESR1突变和ER缺失等、PI3K/mTOR等下游通路活化、HER2等旁路活化、细胞周期通路活化等。
如果新发病灶为肺癌转移,则考虑EGFR-TKI获得性耐药,EGFR TKI耐药包括EGFR耐药突变、PI3K/mTOR等下游通路活化、MET等旁路激活和表型转换。PI3K/mTOR 通路的高度激活是EGFR TKI和AI耐药的共同耐药机制,因此兼顾乳腺癌和肺癌两者可能的耐药问题,考虑应用mTOR*制剂抑**依维莫司联合内分泌治疗,同步TKI靶向治疗。考虑患者采取TKI和mTOR*制剂抑**在皮疹和黏膜反应等不良反应方面有叠加可能,因此,依维莫司采取5mg/d的剂量。
后续治疗:2014年6月,行卵巢手术去势治疗。2014年7月至2017年1月,行氟维司群联合依维莫司(5mg)治疗,同步继续厄洛替尼治疗。
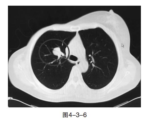
病情变化:2017年1月,复查胸CT发现,右肺上叶支气管旁结节较前增大,以及疗效增大的SD。2017年2月,将依维莫司增量至10mg,继续氟维司群治疗。2017年3月,复查右肺气管旁结节较前增大(图4-3-6),疗效为PD。

Q、如何进行下一步如何治疗?
1.靶向治疗 2.化疗 3.内分泌治疗
肿瘤内科专家点评
此处持续增大的病灶是既往穿刺确认乳腺癌来源的病灶。目前,患者内分泌治疗选用氟维司群联合依维莫司继发耐药,但获益时间较长(PFS=30个月)。此时,肿瘤负荷仍不大,无明显症状,下一步治疗仍可考虑以内分泌治疗为主。
目前,指南推荐晚期乳腺癌内分泌治疗失败可考虑CDK 4/6*制剂抑**联合氟维司群,可显著改善AI治疗失败患者的预后。但尚无mTOR*制剂抑**治疗失败后使用CDK4/6*制剂抑**数据。建议,患者可联合CDK4/6*制剂抑**靶向治疗。
后续治疗:2017年3月,给予CDK4/6*制剂抑**帕博昔布靶向治疗、氟维司群内分泌治疗和厄洛替尼靶向治疗8个月,定期复查,疗效为SD。
经验教训
对于多重原发的晚期患者,明确转移灶来源,对于治疗策略的制订是至关重要。同时性多重原发的晚期患者,在治疗上要兼顾不同原发肿瘤的生物学特征和耐药机制,药物要精而少,既要保证疗效,又要避免药物不良反应的叠加。
本文内容节选自《乳腺MDT经典病例诊疗精粹解析》(天津科技翻译出版有限公司出版)。医脉通已获得出版社授权。