今天和大家分享的两个病例都是 小病灶大转移 ,肺结节只有1cm多,但是肿瘤分期已经到了最晚期(ⅣB期)。这两个人都是没有定期体检,要发现早期肺癌,定期的体检和肿瘤筛查很重要,另外PET/CT对确诊为浸润性腺癌的分期有绝对的优势。
病例一
病史摘要
病史:男性,59岁,咳嗽半年余,发现肺结节3月。外院穿刺活检提示:低分化腺癌。行PET/CT进行肿瘤分期。
PET/CT图像
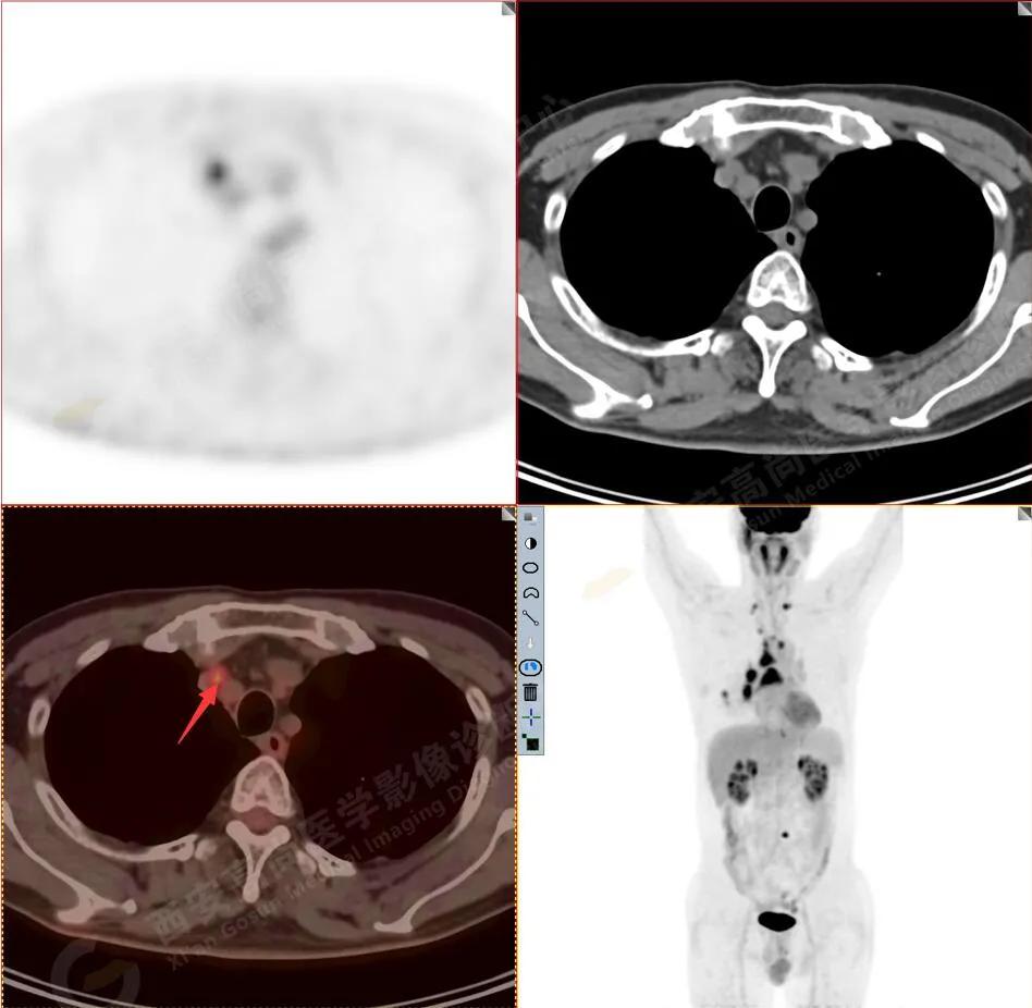
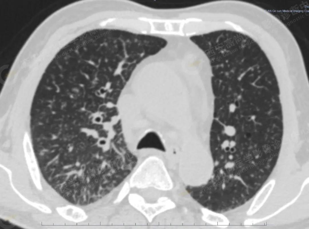
1.以下为肺内原发灶

原发病灶

FDG代谢增高
2.以下为部分全身多发转移灶

肺内密密麻麻的转移瘤(1)

肺内密密麻麻的转移瘤(2)

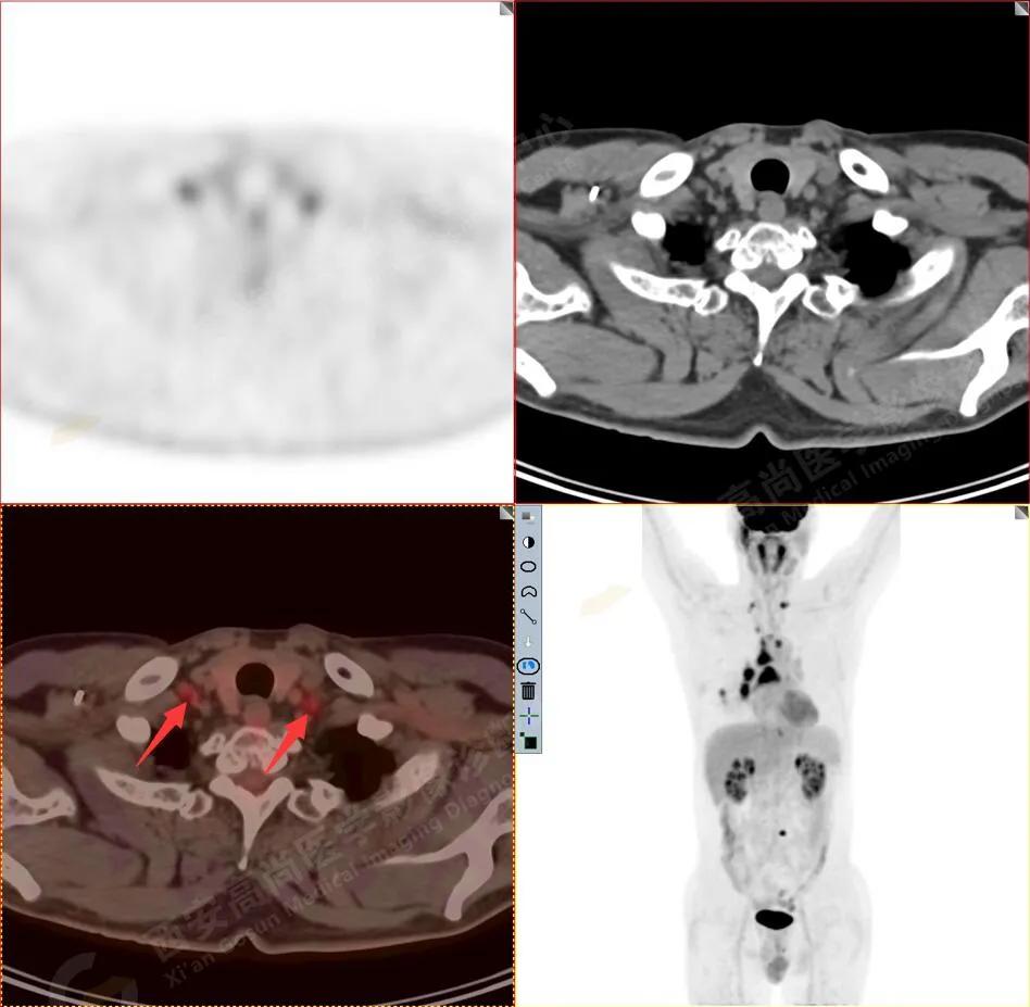
双测锁骨上淋巴结转移

纵隔(1R\1L组)淋巴结转移

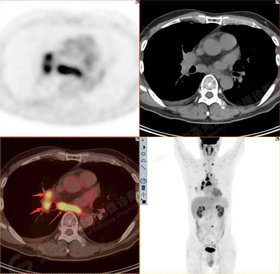
2R组淋巴结转移

4R、3A组淋巴结转移

4R组淋巴结转移

4R组及右肺门淋巴结转移

4R组及右肺门淋巴结转移

腰4椎体骨转移瘤

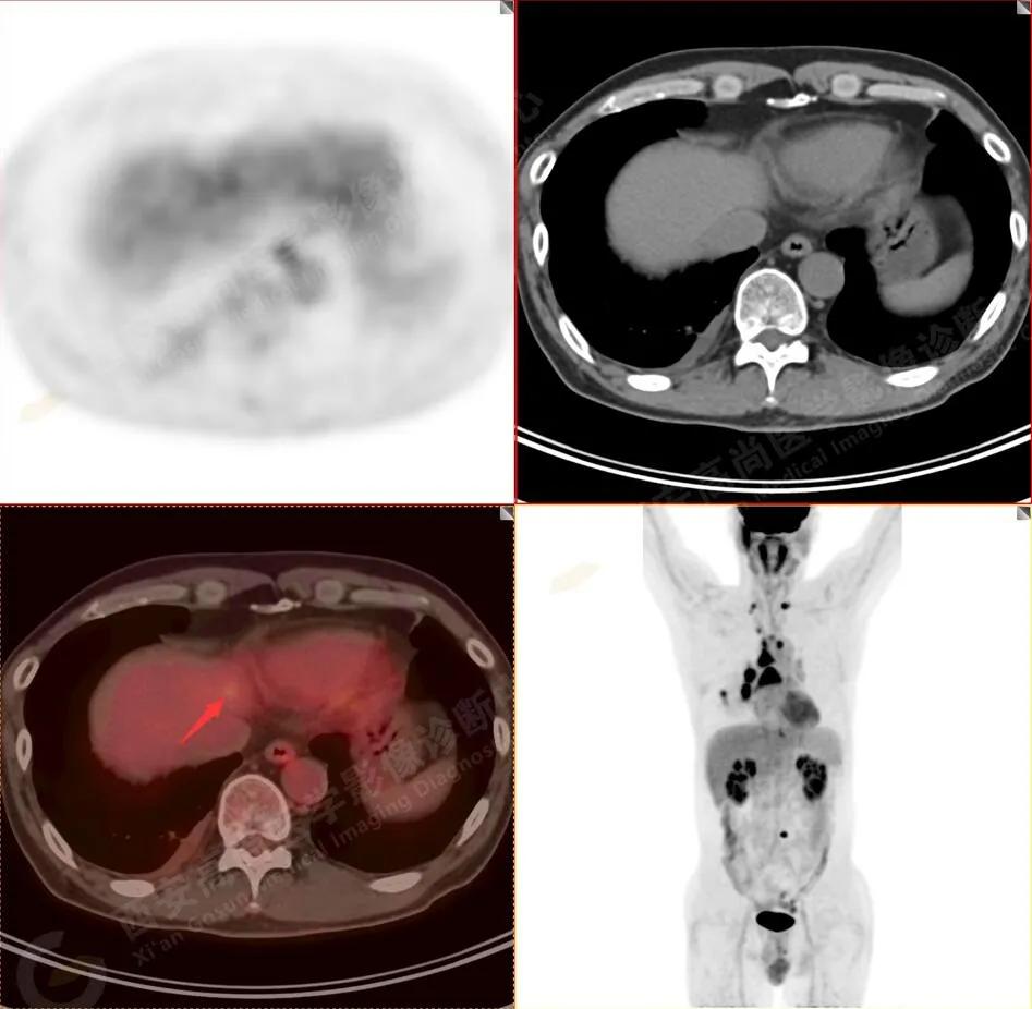
肝内可疑转移瘤
PET/CT诊断
1.右肺下叶后基底段软组织结节(约1.5cm×1.2cm),与相邻后胸膜分界不清,呈FDG代谢异常增高,结合病理,符合肺腺癌伴邻近胸膜侵犯。
2.双肺多发高密度小结节灶(最大径约0.7cm),部分较大结节呈FDG代谢略增高,均考虑为转移性病变。
3.右侧肺门、纵隔(1L、1R、3A、4、6、7组)及双侧锁骨上多发肿大淋巴结,呈不同程度FDG代谢异常增高,考虑为淋巴结转移。
4.右后胸膜轻度增厚,形成多个条状软组织病变,呈FDG代谢轻度异常增高,考虑为转移性病变;右侧胸腔微量积液。
5.腰4椎体左侧缘溶骨性骨质破坏,FDG代谢异常增高,考虑骨转移瘤。
6.肝内小结节,考虑转移可能性大,建议MR增强扫描。
以上病变符合:T4N3M1c,ⅣB期(UICC/AJCC,2018年第8版肺癌TNM分期)。
病例二
病史摘要
病史:男性,61岁,咳嗽1月余,CT发现肺结节。外院腋窝淋巴结穿刺活检提示:转移性腺癌。行PET/CT进行肿瘤分期。
PET/CT图像
1.以下为肺内原发灶

右肺原发灶

右肺原发灶代谢增高

右肺原发灶代谢增高
2.以下为部分全身多发转移灶

全身弥漫性转移(大部分黑点为转移病灶)

肺内弥漫性分布,肺转移瘤布满全肺

右颈部淋巴结转移

1R组淋巴结转移

右腋窝及纵隔淋巴结转移

纵隔淋巴结转移

胸骨、淋巴结转移

原发病灶

肝内多发转移瘤

髂骨多发骨转移

左侧髋臼多发骨转移

脊柱多发骨转移
PET/CT诊断
1.右肺中叶内侧段软组织结节,呈浅分叶状,边缘可见毛刺及胸膜牵拉征, 呈FDG代谢异常增高,考虑为周围型肺癌。
2.双肺内弥漫性分布大小不等实性小结节灶及粟粒状高密度影,均未见FDG代谢明显异常增高,均多考虑为癌性淋巴结炎及转移性病变。
3.右侧颈部(Ⅱ-Ⅴ区)、右侧腋窝区、右侧肺门及纵隔(1R、1L、2、4、6、7组)、肝门区多发肿大淋巴结,呈不同程度异常增高,均考虑为淋巴结转移。
4.肝S4、8段团块状及结节状低密度病变,以S4段病变为著,呈不同程度FDG代谢异常增高,考虑为肝多发转移。
5.右侧肱骨上段、左侧肩胛骨、右侧锁骨胸骨端、胸骨、双侧多发肋骨、脊柱多发椎体及附件、双侧髂骨、双侧髋臼、双侧耻骨、双侧肱骨上段多发成骨性病变,呈不同程度FDG代谢异常增高,考虑为多发骨转移瘤。
以上病变符合:T4N3M1c,ⅣB期(UICC/AJCC,2018年第8版肺癌TNM分期)。
讨论
1.低分化腺癌:腺癌是一类具有腺样结构或黏液分泌功能的恶性上皮性肿瘤,主要发生于肺、胃肠道、肝内胆管、胆管(含胆囊)、女性生殖道及乳腺,也可发生于有腺上皮化生的组织,如Barrett食管以及腺性膀胱炎的膀胱等。恶性肿瘤或多或少都有向正常细胞分化的特点,瘤细胞分化越接近正常细胞,则越成熟,通常称为高分化,有人称它为Ⅰ级。如果瘤细胞分化太差,极不成熟,但仍保留某些来源组织的痕迹,则称为低分化,或称为Ⅲ级。界于两者之间的称为中分化、或称为Ⅱ级。一般说来,高分化肿瘤,恶性程度低,预后较好,低分化肿瘤,恶性度高,预后较差,未分化肿瘤,恶性程度极高,预后最差。
2.肺癌小病灶大转移,通常发生在低分化腺癌,恶性程度高,通常病灶很小的时,就有转移灶了。甚至还有原发灶已经切除的情况下,转移灶依然长起来了情况。低分化腺癌即使没有转移,病灶切除了病灶,仍不能掉以轻心,随访仍然要重视起来。
3.PET /CT在肿瘤分期中应用较其他的影像学方法会有明显的优势。目前是肺部恶性肿瘤分期为精准的方法,特别是在低分化腺癌,具有小病灶大转移的特点的患者,此类患者早期就会出现肺内、淋巴结、肝脏转移、骨转移、脑转移等转移病灶,而这项检查可以追踪到身体各个部位的肿瘤,很小的病灶也可以“揪”出来。还可以协助确定治疗方案的选择,同时可以评价肿瘤治疗的效果。对于患者来说,早期发现肿瘤,精准定位病灶,外科能切除的尽量切除,早诊断早治疗可以达到根治的效果。不能切除的,也可以通过综合治疗方法,达到控制肿瘤的目的。
4.治疗后再分期方面,由于PET/CT显像灵敏度比较高,除了能够更早地判断肿瘤的大小及转移灶的大小,还能评价肿瘤经过治疗后原发肿瘤有无缩小,淋巴结转移有无减少,远处转移是否被控制,重要的是提供肿瘤的活性, 对预后判断及下一步治疗计划起到非常重要的意义。
关注我,有任何肺结节咨询请发评论区。