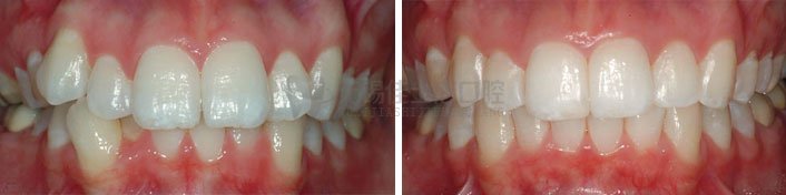
牙齿拥挤该如何矫正?牙齿拥挤的危害相信拥挤者本身深有体会,除了严重危害面型美观外,还要常常忍受别人的取笑,打击自信心,最为严重的时,在吃饭时还经常忍受塞牙、咀嚼不便等危害,可谓是身心都是备受煎熬。因此,牙齿拥挤的矫正很有必要,那么无锡牙齿拥挤该如何矫正?无锡佳士洁口腔专家帮您解决牙齿拥挤的烦恼。

如何矫正牙齿拥挤的情况?
1、对于轻度牙齿拥挤来说,轻度牙齿拥挤的矫治临床上的轻度拥挤常表现上下切牙的扭转错位或者尖牙轻度唇向错位,一般采用牙套的正畸矫正的方法。
2、对于中度牙齿和重度拥挤的矫治来说,中度和重度拥挤一般采用减数拔牙配合矫正器治疗。因为成年人的生长发育已经完成,代谢速率变慢,生物反应性降低,所以,采用正畸矫正成人牙齿拥挤会比儿童所花时间更长一些。
3、牙齿拥挤亦可以采用美牙冠进行正畸。美牙冠矫正牙齿拥挤要比戴牙套的方法时间短,避免了牙齿拥挤矫正过程中不易护理的尴尬,但是这种方法只适合于轻中度牙齿拥挤的矫正,而且在年龄限制方面,也有要求,只适合成人。
牙齿拥挤矫正 技术推荐:纯欧仿生美牙冠
纯欧仿生美牙冠源自于德国,流行于欧美、日韩,受到许多爱美人士、影视明星、时尚模特、职场白领的喜爱和追捧。该技术是目前最先进、最成熟、最具国际品质的美牙技术,无需拔牙,没有痛苦,瞬间提升你的美丽,具有美齿、矫正、治齿“一举三得”的功效。

美牙冠的优势:
1、不损伤原牙,美牙冠根据牙槽骨的形态对牙齿做修整,仅对不整齐凸出部位进行精细打磨,无需拨牙,不损伤牙齿、牙龈。
2、高度仿生与仿真,在牙齿的形态、色泽、功能、结构、相容性等各个方面完全比照真牙研究而成,在结构上与真牙的牙釉质、牙本质完全相同。
3、坚固耐磨,终生美齿,采用仿生瓷、纳米瓷、与生物瓷融合而成,具有高机械强度、高硬度、高耐磨性、高耐腐蚀性等优点,与原牙紧密贴合,坚固耐磨,如能按医嘱进行保养,可相伴终生。
4、无不良反应,由于采用仿生材质不会出现牙龈红肿、黑线等不良现象。

友情链接:本文转自无锡佳士洁,更多关于牙齿口腔的问题尽可前往咨询详情。
无锡佳士洁口腔专家技术精湛,是国内权威的口腔专科医院,拥有一流的齿科专家队伍,被医学界誉为牙齿整形的领航者!并且承诺永远以您的牙齿健康为首要因素,确保给您高性价比的口腔治疗。