分享一例晚期肺癌患者,应用粒子植入术,抗癌成功的案例。
9月10日,广州中医药大学金沙洲医院肿瘤一科的武兴杰主任医师成功实施了我院CT引导下晚期肺癌125-碘粒子植入治疗微创术,手术进展顺利,患者痛苦小,手术取得了良好的治疗效果,术后患者恢复良好。
患者基本信息
患者男,68岁,吸烟史30年以上,平均每天30支,既往体健,家族史不详。
临床诊断为左肺低分化腺癌,考虑患者血压高、心率快、局部肺不张等基础疾病因素,加上肺部肿瘤包裹着胸主动脉及肺动脉,行传统手术风险较大,经肿瘤一科与介入医学科、影像科多学科会诊,最终家属决定行微创手术“125-碘粒子植入术”进行肿瘤治疗。
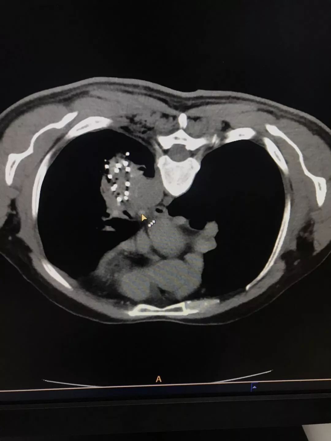
经过完善的术前检查,患者无明显125-碘粒子植入手术禁忌症,使用体部125-碘粒子植入计划系统进行术前计划,确定体部模板位置、角度,确定进针位置、125-碘粒子分布位置;术中使用定位模板,在CT引导下,精准地将9根穿刺针,按照术前计划穿入肿瘤。经CT验证后,使用125-碘粒子植入枪将125-碘粒子,共植入粒子55粒,按照术前计划完美地植入肿瘤中。



按术前计划植入粒子成功
手术全程近三个小时左右,患者仅有穿刺部位的少量出血,按压三分钟后即止血。患者自行走下CT床,安全回到肿瘤一科病房。
01 什么是碘125粒子植入术?
碘125粒子植入术是一种微创介入治疗恶性肿瘤技术,属于近距离内放射治疗。
该技术利用经皮穿刺方式,将放射性碘125粒子植入肿瘤内或受累组织内,也可植入到肿瘤转移的淋巴信道或淋巴结内。
碘125粒子衰变过程中发射出低剂量的伽玛射线,对肿瘤组织进行不间断的持续照射,能够杀死不同时期裂变的肿瘤细胞和肿瘤周围乏氧细胞,因此,可以有效地治疗肿瘤,防止肿瘤复发和转移。
精准穿刺进入肿瘤内部,将碘125粒子均匀放入肿瘤内部,不间断持续照射病灶

02 碘125粒子植入术有哪些优势?
与传统外放疗相比,碘125粒子植入术具有以下优点:
- 靶区局部照射剂量高,可更有效地杀灭肿瘤细胞;
- 定植于体内照射靶区,照射范围不受呼吸及体位影响,对肝脏及周围器官损伤小;
- 对靶区照射为持续性,可不间断地以治疗剂量对肿瘤进行照射,同时作用于各个增殖周期的肿瘤细胞,与外放射治疗比较,治疗效益比可提高12.6%;
- 高度适形,对正常组织的损伤小;
- CT定位,可精确植入到肿瘤内;
- 半衰期长达180天,可持续性释放γ射线及χ射线,穿透距离1.7cm,治疗半径1.0cm,可依据肿瘤大小及与邻近器官距离植入粒子。
03 碘125粒子植入术适应人群?
- 未经治疗的原发肿瘤,如肺癌、前列腺癌、纵膈恶性肿瘤等;
- 患者不愿意进行根治性切除的病例,如舌癌、甲状腺癌、乳腺癌、子宫内膜癌等;
- 无法手术的原发病例,如肺癌、巨大性肝癌、鼻咽癌等;
- 转移性病灶或术后复发性肿瘤,失去手术价值者,如肺内转移瘤、局部淋巴结转移瘤等;
- 肿瘤浸润重要脏器无法完全切除。
目前,碘粒子治疗已经应用于前列腺癌、肺癌、肝癌、胰腺癌等。针对很多人担心的碘粒子的安全性,碘粒子的辐射剂量,大部分在肿瘤内部,离开肿瘤后,辐射剂量指数级下降,不会对患者和周边人群造成危险。