经典病例 ▏二尖瓣囊肿中竟然全是血液?

【病史】患者男性,61岁。发作性胸骨后疼痛1月余。患者入院前1月于劳累后出现胸骨后压榨样疼痛,伴心前区不适,症状持续约3-5分钟,于休息后逐渐自行缓解。

【体格检查】 心率86次/分,心律齐,心尖区可闻及收缩期吹风样杂音,胸骨左缘第三肋间可闻及收缩期及舒张期早期杂音。

【辅助检查】 B型钠尿肽前体1347pg/mL,血清肌钙蛋白I0.008ug/L,心电图显示窦性心律,偶发室性早搏。

【超声心动图表现】

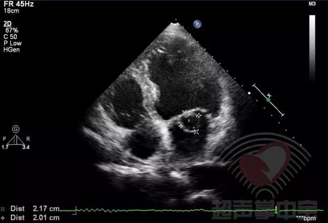
经典病例▏二尖瓣囊肿中竟然全是血液? 图1:心尖四腔心切面显示二尖瓣前叶增厚,前叶左房面可见一囊袋状物附着,大小2.01×2.17cm,囊壁完整,其内透声良好

经典病例▏二尖瓣囊肿中竟然全是血液? 动态图2:四腔心切面显示该囊状物质软,有形变,二尖瓣开放正常

经典病例▏二尖瓣囊肿中竟然全是血液? 动态图3:左室长轴切面观察该囊状物质软,有形变,随二尖瓣运动而摆动

经典病例▏二尖瓣囊肿中竟然全是血液? 动态图4:心尖左室长轴切面观察该囊状物质软,有形变,随二尖瓣运动而摆动

经典病例▏二尖瓣囊肿中竟然全是血液? 动态图5:心尖两腔心切面观察囊肿物

经典病例▏二尖瓣囊肿中竟然全是血液? 动态图6:四腔心切面CDFI显示二尖瓣前叶附着的囊状物内收缩期充满花彩血流

经典病例▏二尖瓣囊肿中竟然全是血液? 动态图7:CDFI:显示主动脉瓣中度反流,二尖瓣轻度反流,二尖瓣前叶附着的囊状物内收缩期充满花彩血流

经典病例▏二尖瓣囊肿中竟然全是血液? 图8:CW于囊状物内探及收缩期负向高速湍流,流速6.3m/s,压差159mmHg

经典病例▏二尖瓣囊肿中竟然全是血液? 图9:CW显示主动脉瓣口流速稍增快,流速2.06m/s,压差17mmHg,并可探及主动脉瓣反流频谱,流速3.9m/s,压差60mmHg。

【超声心动图提示】

  1. 二尖瓣前叶左房面囊状物,考虑二尖瓣血液充盈性囊肿

  2. 二尖瓣轻度反流

  3. 主动脉瓣关闭不全伴中度反流

  4. 左心扩大

  5. 少量心包积液

【鉴别诊断】

二尖瓣血液充盈性囊肿(MitralValve Blood Cyst)是由内皮细胞形成的囊壁及内部的血液构成的良性囊肿。于1844年由Elsasser首次报道,多在新生儿或儿童期被发现,罕见于成人,目前国内外仅有个案报道。关于血液充盈性囊肿的病因并不明确,胚胎时期血管间隙的扩张被认为是主要原因,另外还包括原始心包间质细胞的异位种植、以及炎症、缺氧或出血性疾病引起的继发性改变。血液充盈性囊肿常发生于二尖瓣及三尖瓣,尤其是二尖瓣前叶,也有报道其发生于主动脉瓣及肺动脉瓣。囊肿本身并无明显临床症状,但可引发瓣膜的功能障碍及反流,也可引发左室流出道的梗阻。

病理学检测发现血液充盈性囊肿的囊壁由内皮细胞组成,其内充满血液,囊肿内腔与心室通过内皮细胞形成的管道相互沟通。

超声成像可以显示血液充盈性囊肿形态学及内部回声的特征,包括很薄的囊壁、其内充满无回声的血液,收缩期呈充盈状态圆形,舒张期可发生形变等。借助彩色多普勒及超声造影,可以显示囊肿内部血流与心室内血流相互沟通,从而进一步诊断血液充盈性囊肿。

二尖瓣血液充盈性囊肿需要与粘液瘤、赘生物、心脏其他肿瘤、包虫囊肿以及血栓进行鉴别。二尖瓣粘液瘤表现为二尖瓣上回声较低,结构较为疏松的实性团块,其与二尖瓣之间有一短小的蒂相连,具有一定的活动度;二尖瓣赘生物表现为二尖瓣瓣叶上大小不等、回声不均的团块,活动度较大,并常伴有感染的临床病史或症状;左房内的血栓常位于左房顶或左心耳内,回声较高且常伴有二尖瓣狭窄病史。而二尖瓣充盈性囊肿多以宽基底与二尖瓣连接,内部表现为无回声,且质软,可发生形变,并且彩色多普勒可探及囊内的血流信号。

【专家点评】

1.需要说明的问题

二尖瓣血液充盈性囊肿,有文献中称二尖瓣充盈性囊肿,最常用的名称为二尖瓣血性囊肿。

2.已明确病变

此病例虽然不是一个复杂的病变,但是临床上并不多见,大家通过该病例的学习会有较大的收获。本病例已明确诊断:二尖瓣前叶左房面囊状物。

3.诊断时需注意的问题

瓣膜血性囊肿可以单发于一个瓣膜上,也可以多个瓣膜同时发生;血性囊肿可以发生在心脏的任何部位,但多发生在心脏瓣膜上,也可以发生于左心室心内膜及乳头肌;可以发生在正常心脏,也可以发生于有器质性病变的心脏(如房间隔缺损、室间隔缺损、瓣膜病变等)。除此之外,血性囊肿内可有血栓形成。

血性囊肿的处置:对血流动力学产生影响者(例如造成瓣膜狭窄或关闭不全者、出现流出道梗阻者)应及时手术治疗;如果合并其他心脏器质性病变者也应该进行手术治疗;如果发生在正常心脏内,且无明显血流动力学影响,可以定期复查,有些病例血肿可能逐渐变小甚至消失。

作者:冷晓萍

单位:哈尔滨医科大学附属第二医院

更多精彩!请关注微信公众号“超声掌中宝”