
病历简介
患者男,45岁,室内装修工人,于2015-05-06入院。
主诉 >>
咳嗽、咳脓血痰伴右侧胸痛1月。
现病史 >>
1月前(2015-4-6),患者无明确诱因出现咳嗽、咳脓血性痰,量少,约5ml/天,伴右侧胸部持续性针刺样疼痛,可忍受,咳嗽、深呼吸时疼痛明显,与进食、活动无明显关系,无放射痛,无发热、畏寒、潮热、盗汗,无呼吸困难、心悸、心前区压榨样疼痛,无腹痛、腹泻。患者未予重视,后右侧胸痛逐渐加重,于2015-4-13至当地医院就诊,胸部CT提示「双肺多发结节影,部分可见空洞」,诊断「肺部阴影待查」,予「头孢类」抗菌素治疗10余天,上述症状无明显缓解,遂于2015-4-26至当地上级医院就医,胸部CT(2015-5-3)提示「双肺多发病灶并空洞形成」,行CT引导下经皮肺穿刺活检术。在等待穿刺病理结果期间予抗感染、止血等治疗(具体不详),上述症状仍无缓解。为进一步诊治于5月6日就诊我院呼吸门诊,以「双肺空洞待查」收入病房。
自患病以来,患者精神、食欲、睡眠可,大小便正常,体重无明显变化。
既往史 >>
4月前患者因「颜面部及双下肢水肿20天」于我院肾内科经肾穿活检诊断为「肾病综合征、不典型膜性肾病」,予「甲泼尼龙40mg qd,他克莫司1mg bid」口服至今。否认「高血压、冠状动脉粥样硬化性心脏病、慢性阻塞性肺疾病、糖尿病」等慢性病史,否认「肝炎、结核」等传染病史,否认手术、外伤史,否认输血史。预防接种按计划进行。
个人史 >>
出生并成长于原籍,无烟酒嗜好。
婚育史 >>
23岁结婚,育有1子,爱人及子女体健。
家族史 >>
父母均去世,具体原因不详。有1兄2姐,健在。否认家族病史。
体格检查 >>
体温 36.5℃,脉搏 100次/分,呼吸 21次/分,血压 104/55mmHg。神志清楚,全身浅表淋巴结未扪及。全身皮肤黏膜无异常,口腔黏膜正常,颈静脉无怒张,双肺叩诊呈清音,双肺呼吸音清晰,未闻及干湿啰音。心腹查体未见异常。四肢关节无红肿,双下肢轻度水肿。
辅助检查 >>
(当地就近二级医院2015-4-13)心电图、心脏超声正常。BNP、cTnI、Myo、CK-MB正常。血常规:WBC 12×10^9/L,Neu 90%;尿常规:尿隐血+,尿蛋白++。
(当地上级医院2015-5-4)肝功:白蛋白26.8g/L,空腹血糖7.71mmol/L,血沉37mm/H,CRP、血常规、PCT、血G试验、血GM试验、凝血(D二聚体 0.41)均正常,痰未查见抗酸杆菌。
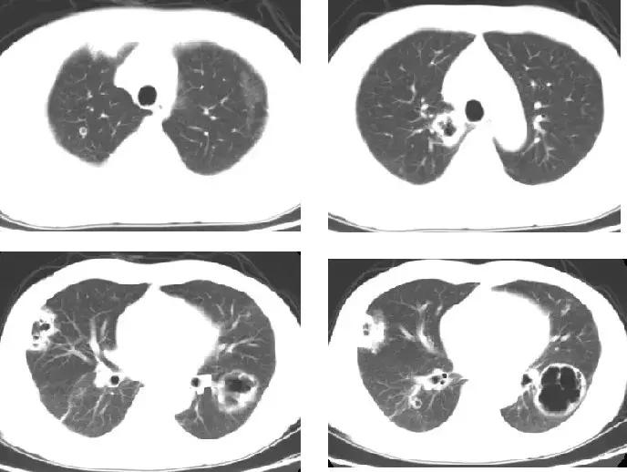
入院前胸片(当地上级医院2015-5-3)

入院前胸部CT(当地上级医院2015-5-3)

初步诊断 >>
双肺多发空洞待诊
病例总结:
1、中年男性,急性起病;
2、以「咳嗽、咳脓血痰、右侧胸痛1月」为主要症状;
3、4月前诊断「肾病综合征、不典型膜性肾病」,口服「甲泼尼龙40mg qd,他克莫司1mg bid」至今。
4、查体:心肺腹均无阳性体征,双下肢轻度水肿。
5、辅助检查(外院2015-4-13)血常规:WBC 12×10^9/L,Neu 90%;尿常规:尿隐血+,尿蛋白++。(外院2015-5-4)肝功:白蛋白26.8g/L,空腹血糖7.71mmol/L。胸部CT提示「双肺多发病灶并空洞形成」。
6、外院经验性抗感染治疗1月,症状无改善,影像无吸收。
入院诊断 >>
1、双肺多发空洞原因待查:1)社区获得性肺炎(细菌、真菌、特殊病原菌)?2)双侧继发性肺结核?3)肺癌?4)淋巴瘤?5)肉芽肿性血管炎?
2、肾病综合征,1)不典型膜性肾病,2)低蛋白血症
3、类固醇性糖尿病?

中年男性,急性起病,有「肾病综合征」,使用糖皮质激素、免疫*制剂抑**基础,咳嗽、咳脓血痰、右侧胸痛为主要症状,外院经验性抗感染治疗1月,症状无改善,影像无吸收。血常规白细胞、降钙素原、CRP均不高,影像学双肺多发厚壁空洞改变,考虑肺部感染、特别是特殊病原菌感染可能,但非感染性疾病(如肉芽肿性血管炎等)需鉴别。
入院后辅助检查结果回报 >>
血常规:WBC 6.89×10^9/L、Neu 6.37×10^9/L(Neu 91.3%)、HGB 103g/L、PLT 90×10^9/L,血沉30mm/h,PCT 0.14ng/ml;
血G试验、血GM试验阴性,结核抗体阴性,结核感染T细胞干扰素试验阴性;
腹部超声、心脏超声未见异常;
多次痰抗酸染色阴性,痰分枝杆菌直接检测阴性;
多次痰细菌、真菌培养,血液细菌培养无阳性结果;
肿瘤标记物(CA-125、CEA、NSE、CA-199、CYFRA21-1)均未见异常;
抗核抗体谱、抗中性粒细胞胞浆抗体、风湿系列未见异常;
HIV、梅毒阴性;BNP 18pg/ml;
肝功:AST 22IU/L、ALT 66IU/L、ALB 25.5g/L(40-55)、GLB 17.2g/L(20-40);肾功(Crea 54umol/L)正常;总胆固醇5.41mmol/L(0-5.2);
尿常规:尿蛋白(++)、红细胞(++),24h尿蛋白定量2.4g/24h,24h尿量2L(0.12-1g/24h);
免疫球蛋白:IgG 2.72 IU/mL(7-15 IU/mL)、IgM 0.56 IU/mL、IgA 1.44 IU/mL、IgE <5 IU/mL,T细胞亚群计数:CD4 116个/ul(500-1440)、CD8 180个/ul(238-1250)、CD3 300个/ul(770-2860);
空腹血糖:7.6mmol/L、糖化血红蛋白:7.5%(4-6%);
凝血:PT 8.5s、APTT 24.9s、D二聚体0.79mg/L(0-0.5mg/L);
血气分析(未吸氧):pH 7.45,PaO2 75.8mmHg,PaCO2 35.6mmHg,HCO3- 25mmol/L。
支气管镜检查 >>

右上叶支气管稍显狭窄,黏膜充血、肿胀,未见脓性分泌物。BALF分枝杆菌直接检测(-),BALF抗酸染色(-),48小时后BALF细菌学培养回报:未分离到明显致病菌。
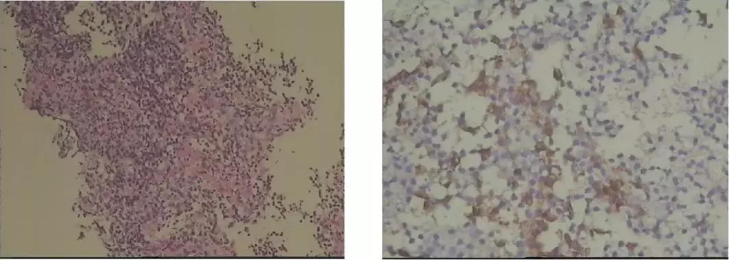
继续送检痰标本加查特殊染色,并行菌种鉴定,发现新星奴卡菌及烟曲霉。
外院2015-5-4经皮肺穿刺活检术病理结果(入院后第7天收到该结果):(右肺穿刺组织)肺组织实变伴急性及慢性炎症。

修正诊断 >>
1、奴卡菌肺炎
2、侵袭性肺曲霉菌病待排
3、肾病综合征:1)不典型膜性肾病;2)低蛋白血症
4、类固醇性糖尿病
治疗经过
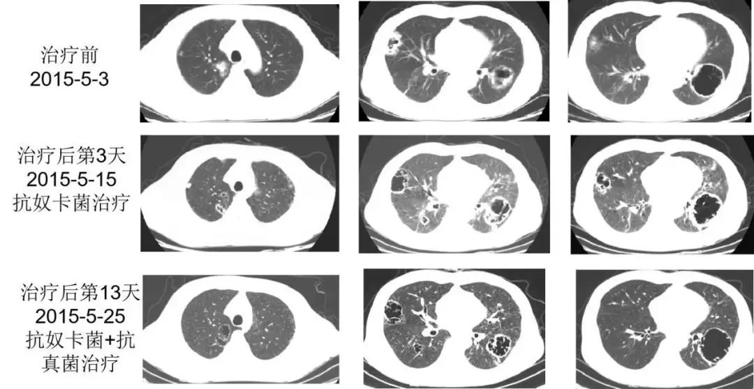
双药联合抗奴卡菌治疗2015-5-13(入院后第7天):复方磺胺甲噁唑 1.44g(磺胺含量1.2g) q6h + 亚胺培南西司他丁 1g q8h;同时经肾内科会诊后调整免疫抑制用药: 2015-5-13(入院后第7天)停用他克莫司,甲泼尼龙改为32mg qd,并每3~5日减4mg,至20mg qd。
2015-5-15(入院后第9天)抗奴卡菌治疗第3天,患者诉右侧胸痛较前有所缓解,但感呼吸困难,咳嗽、咳痰好转不明显,查体:双肺散在哮鸣音,血气分析(吸氧2L/min):pH 7.48,PaO2 60.3mmHg,PaCO2 28.8mmHg,HCO3- 21.7mmol/L。

2015-5-16(入院后第10天)抗奴卡菌治疗第4天,继续复方磺胺甲噁唑 1.44g q6h+亚胺培南西司他丁 1g q8h抗奴卡菌,并加用伏立康唑 200mg q12h抗真菌治疗(首剂400mg)。
转归

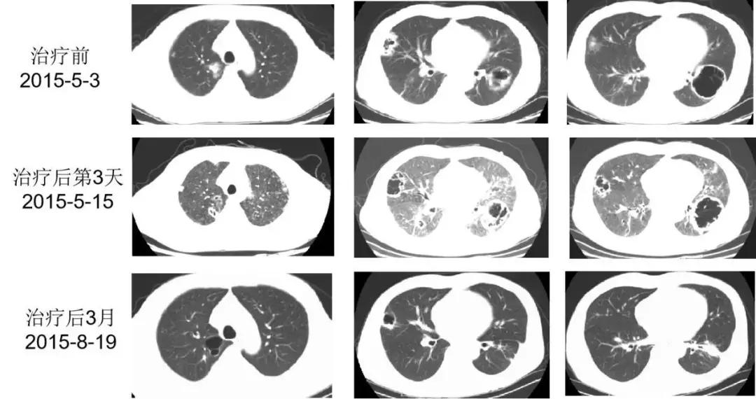
患者症状明显好转,血气分析恢复正常,胸部CT双肺空洞较前好转,于2015-5-29安排患者出院。出院带药:复方磺胺甲噁唑 1.44g q6h、伏立康唑 200mg bid、甲泼尼龙20mg qd,出院后予伏立康唑治疗2周后患者自行停药(抗真菌治疗共3周余),继续复方磺胺甲噁唑 1.44g q6h+甲泼尼龙20mg qd治疗。

专家总结发言
白莉 主任医师:
该患者为免疫功能低下宿主合并肺部感染,这类患者合并曲霉菌、奴卡菌感染风险明显增加。虽然胸部CT影像学特点把诊断范围明显缩小,但病原学诊断对于治疗最终能否成功是非常关键的。在这个过程中我们充分发挥了微生物实验室、病理科、影像学、药学多学科团队的优势,使得该患者的治疗达到令人满意的结果。
对于免疫功能低下合并肺部感染的病人,大家在整个讨论当中忽略最多的是对患者严重程度的判断。在没有获取侵袭性肺曲霉菌病充分证据的情况下,对于免疫功能低下宿主是否给予抗真菌治疗,我们有没有试错的机会正是取决于我们对患者病情严重程度的评价。
该患者入院时无全身中毒症状,但在给予抗奴卡菌治疗后出现症状一过性加重,我们需考虑到免疫功能低下患者的症状可能会被掩盖。免疫功能低下宿主合并感染的特点正是起病隐匿,等到发现时,可能患者已经影响呼吸功能、甚至需进监护室的情况。
因此,对于免疫功能低下宿主合并肺病感染,在评价疾病严重程度时和普通免疫功能正常患者不一样,在有病原学证据时,即使没有确诊,治疗上也应尽早、充分联合治疗。
李琦 主任医师:
下面主要针对患者疾病做一些点评。根据肾穿和肺穿结果,我们可以排除血管炎、淋巴瘤等疾病。患者急性起病、脓性痰伴血象升高,除了影像学异常外,其余指标均未查见确切异常。
结合患者免疫缺陷的背景,在排除非感染性疾病后,考虑感染性疾病。在疾病诊疗过程中,争论主要是在奴卡菌和曲霉菌是单一或是混合感染。在治疗过程中,患者病情加重常是侵袭性曲霉菌感染的表现,支持混合感染。免疫缺陷人群很容易出现机会感染、二重感染甚至是多重感染。
该患者培养鉴定出的奴卡菌为新星奴卡菌,其致病力较弱,和烟曲霉菌共同感染常出现在细胞免疫缺陷人群。在微生物学方面,因为是2015年的病例,当时的检测手段有限,若在目前可考虑行下呼吸道肺泡灌洗采样,送NGS或微生物其他检查,可能有新发现。在针对免疫缺陷患者的治疗上,机体免疫功能的恢复对病灶清除、临床转归有非常大的影响。
该患者治疗后经连续动态的观察发现肺部病灶在缩小、好转,临床疗效明确。虽然抗真菌治疗共3周,但有机体免疫功能逐渐恢复的背景,所以疾病不会进展。
徐智 主任医师:
该病例讨论焦点在致病菌的「一元论」还是「二元论」上,关键原因还是缺乏让对方真正信服的证据。该患者烟曲霉菌的感染证据不足,也是我们平时临床工作中经常遇到的情况。痰里查到曲霉菌,到底是感染还是定植,结合该病例,我们应该思考有没有更好的办法来确诊,明确感染还是定植,从而指导治疗。
该病例为非中性粒细胞减少患者,这类患者考虑IPA时需思考有无高危因素。该患者有糖皮质激素、免疫*制剂抑**使用病史,有血糖增高,存在高危因素。IPA的金标准是在感染组织中看到曲霉菌菌丝生长,但曲霉菌菌丝与镰刀菌等不易区别,需要借助培养和菌种鉴定来明确。在无菌腔隙液体里找到曲霉菌也是诊断IPA的另一金标准,但如是血液培养出曲霉,也需警惕污染可能。实际临床工作中取到组织往往是很困难的,所以临床上常是痰、呼吸道分泌物发现曲霉菌,但这种情况却又是临床的难题。
我们更合理的标本是BALF,尤其是来自感染部位的BALF,而不是痰液培养,同时结合菌落计数进行判断。血G、GM试验有很多假阳性、假阴性因素影响,仅凭血清学诊断是不恰当的。我们可以通过磁导航精确到达病变部位,或病变部位的CT引导下经皮穿刺活检术等有创检查来帮助诊断。
胡明冬 副主任医师:
该患者的病原菌质谱分析结果显示为新星奴卡菌。奴卡菌有很多属,新星奴卡菌是条件致病菌,不在体内定植,常通过吸入、破损皮肤接触导致原发肺部或皮肤感染,可出现全身的播散。该患者为免疫抑制宿主,有工作接触史,符合原发*奴性**卡菌肺炎。治疗需根据疾病严重程度和免疫状态决定。
徐剑铖 主任医师:
该病例很有代表性,患者入院后第6天明确了肺部感染的主要病原菌,经抗感染治疗后取得较好的效果,治疗成功。但回头看还是有很多经验和教训值得总结。
经验有两方面,首先我们应当树立「免疫抑制人群出现肺部感染的机率非常高」的观念,当出现肺部感染相关症状、体征时需高度重视;其次应尽快明确病原菌。该患者外院做了经皮肺穿刺,入院后完善了支气管镜检查BALF,但最终明确病原菌是痰标本。关于痰标本送微生物学检查,我们需重视以下两方面:痰作为发现病原菌的标本来源,可以为BALF和肺穿补充,有重要意义;反复送检痰标本和微生物室医生的及时充分沟通是很有必要性的。该病例为我们后面病人的诊治有很好的借鉴意义。

