前列腺癌迅速增加 最新的检测方法用于早期治疗。
PSA(前列腺特异性抗原)生物标志物被认为是早期检测前列腺癌的关键。 目前正在努力为PSA测试增加一两个步骤,以获得更准确的测试结果。
在之前的文章里,我们介绍了F/T比值试验,它有助于分清PSA升高是由癌症还是良性前列腺增生(BPH)引起的。
F/T比数值高的时候,前列腺肥大症等导致数值上升的可能性很高,在“排除癌症的嫌疑”的意义上可以说是有益的检查方法,相反,作为为了发现癌症而有效的检查方法备受瞩目的是“phi ( protestate健康指数)”
如前所述,PSA是一种由前列腺上皮细胞分泌的蛋白质。 当它与一种叫做α-1-antichymotrypsin的蛋白质结合时,它被称为 "PSA",而当它不结合而自由移动时,它被称为 "自由PSA"。
然而,还有另一种PSA的前体,称为 "pro-PSA",众所周知,这种前体的水平高与患癌症的概率高有关。 因此,一种测量 "三种PSA"--PSA、游离PSA和pro-PSA--的方法已经在临床上推出,并在今年春天获得了医疗保险的批准,使用特殊公式得出的数值来确定是否存在癌症。
我们采访了日本东海大学医院肾脏科和泌尿科副教授Sunao Shoji博士。
phi与F/T比率和传统的PSA一样,是一种血液测试。 作为检测前列腺癌的生物标志物,它有望具有很高的准确性,并在泌尿外科领域引起了广泛的关注。 然而,并不是所有的机构都能进行这种检查,因为它需要检查三种类型的PSA,并在抽血后尽快进行一种叫做离心的过程。
'PSA值为4-10纳克(nanograms)/毫升,与F/T比率相同,但还有其他保险细节,如在发现前列腺癌之前只做一次,如果通过活检不能诊断出癌症,则最多做三次,间隔时间至少为三个月,等等。 有补充条件。 一下子引进这个系统可能很困难。 然而,在进行了活检但没有发现癌症的情况下,或者在仅使用传统的PSA或MRI测试难以做出决定的情况下,该测试可能有很高的价值。
当然,尽管它的准确性很高,但仅凭phi的结果就足以进行手术是不太可能的。 虽然它只是一个筛查测试,但当进行了活检但没有发现癌症时,它是一个可以作为另一个活检的指标。
重要的是要知道,一种新的测试方法已经被开发出来并引入临床实践,它超越了传统的PSA测试。

世界卫生组织在新的报告中,对世界各国的医疗体系进行了综合比较。
日本因为“高品质的医疗服务”和“医疗负担的平等程度”、“国民平均寿命高”等原因再次蝉联一位。
这个排名,很大程度取决于日本完善的“精密体检”体系。
日本精密体检

什么是日本精密体检?
日本精密体检(人間ドックNigenDock)是指以不管有无自觉症状,定期地通过CT,MRI,超声波等精密仪器,对身体各部位进行的一种精密检查。主要目的是为了检查癌症,其次是各种生活习惯病。它是一项对自我近期健康度检测的重要标准。
检查对象主要分胃、肝脏、肺、肠、心脏、血压、糖尿病、前列腺、甲状腺、子宫、乳房、卵巢等、检查项目多种多样。部分项目的检查需要前一天晚上开始控制饮食,具体内容需要与医院事先确认。精密体检Ningen Dock是日本最标准的癌症检查手段,每年大约有200多万人接受检查。

精密体检为什么去日本
1、彻底排除筛查癌症,以及可能危及生命的重大疾病,如脑血管、心血管、糖尿病等让客户了解自己的健康状况。
2、通过早发现早治疗,挽救生命。就现在世界医疗水平来说,早期治疗是挽救癌症病人生命的关键。而早期治疗必须建立在早期发现的基础上。日本30年成功防癌的经验告诉我们,定期专业的癌症检查是人类现今抵御癌症的最佳方法。
3、最后也是最重要的,日本对早初期癌细胞检测能力世界第一,日本开创了精密防癌检查新时代,日本是全世界癌症防治最先进的国家。在日本进行国际最尖端的早期防癌健康检查,能发现和筛查已知的300多种癌症,能最大程度给生命以保障。

日本精密体检项目

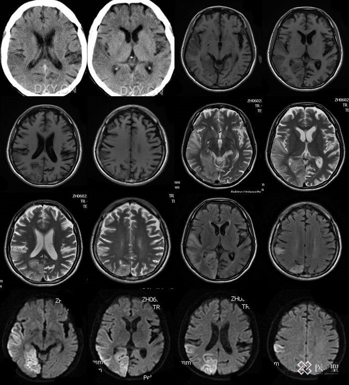
头颅mr影像
脑精密检查:头部MRI・MRA、颈部MRA,可发现造成蛛网膜下腔出血原因的动脉瘤,检查是否有较小的脑梗塞病灶,通过磁场产生图像,人体不会受到放射线的辐射。颈动脉超声波检查,可以发现动脉硬化的进展及管壁的肥厚和狭窄的情况。

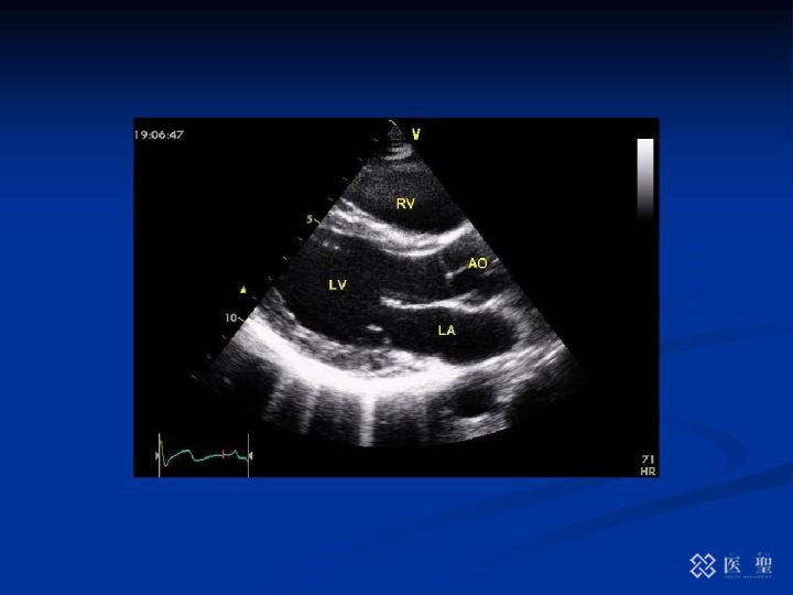
心脏超声波影像
心脏精密检查:心脏超声波检查,通过超声波观察心脏活动的检查;颈动脉超声波检查进行颈动脉成像的检查;PWV(脉搏波传播速度)检查传播到动脉的脉搏波的速度;BNP是从心脏分泌出的一种激素,心脏负担加重时呈高值,可以找出心电图检查无法查到的心脏疾病。

PET-CT
肺部精密检查:痰液细胞学检查、胸部CT检查、PET-CT,主要目的是早期肺癌的发现。
肝脏精密检查:除常规测定的肝胆道分泌的酶之外,还进行纤维化标志物、有关免疫等的检查,本项精密检查除以上多种血液检查之外,还检测肝脏的硬度。
胰腺精密检查:通过MRI检查可拍摄到胰腺分泌的消化液在主胰管中的流动状况。有肿瘤的话,大多就会引起胰管的变化,若主胰管变窄或显示扩张,就需要做进一步的精密检查。

大肠精密检查:大肠内窥镜检查,是从肛门插入内窥镜,直接观察大肠粘膜,为当前诊断早期大肠癌最可信赖的检查法。不单是大肠癌,也是发现溃疡和息肉的有效检查。
妇科精密检查:宫体部内膜细胞学检查,刮片检查就是用采集细胞的器具插入子宫深处取出细胞进行检查;乳房精密检查(外科诊察、乳腺钼靶、乳房超声波检查),使用X光的乳腺钼靶与乳房超声波检查,发现触诊难以发现的小乳癌灶。
骨骼精密检查:骨盐定量检查、骨代谢标志物,目的就是测定骨骼中钙含量,起到预防骨质疏松症的作用,并且,测定骨骼代谢标志物,掌握目前骨骼的代谢状况,一旦患上骨质疏松症时则可对症选择合适的治疗方案。

据日本国立癌症研究中心发布的《2008-2009年5年生存率结果》显示,日本在10年前的整体癌症5年生存率,就达到了65.8%,这个数据即便在全球范围也十分卓越。
长期以来,日本的医疗机构秉持 “提供高质量医疗服务”、“尊重客户的尊严和隐私”、“给予客户充分、清楚的说明”、“尊重客户选择的自由”以及“守护客户健康生活”的五大理念,给予客户更好的就医体验。
发现问题后, 还可以快速集合院内各科室专家进行会诊,跟进客户后续治疗,让客户全程无后顾之忧。
关注我们,带你了解更多干细胞再生前沿资讯,私信获取更多信息。
ISEI HEALTH
