
李茜,解放军306医院,康复医学科
品牌质量管理办公室 编辑
调制中频电疗法(Modulated middle frequency electrotherapy)缘自20世纪60年代前苏联,在我国应用很广泛,不仅各大中小医院比较普及,近几年一些家庭型电脑中频治疗仪开始进入百姓家里。有人形容中频电疗法像穿上白大褂的“电大夫”,“它来到产房,为年轻的妈妈减轻分娩的阵痛;它帮助肢体运动无力的病人重新站立起来;假如您因烦恼而失眠,它会唱着动人的催眠曲送您进入梦乡;假如您的颈肩腰背臀腿酸痛不适或是神经痛,它还会施展止痛的办法,减轻您的痛苦……”。

笔者现将这位“电大夫”的本领介绍如下:调制中频电疗的频率为2000~5000Hz,调制频率10~150Hz,其电流主要有四种形式:连续调制波、交替调制波、间歇调制波和变频调制波;四种波型电流均可以全波或正、负半波形式出现。其电流特点是不同波型和频率交替出现,间有不同的刺激强度和断电时间,因此具有更显著的刺激作用和改善组织营养的作用,并可克服机体对电流的适应性。

中频电疗法治疗作用包括:
1、镇痛作用包括即时镇痛作用。可持续数分钟到数小时。镇痛机制有闸门控制学说、GABA能神经元调制作用、脑高级中枢对背角伤害性信息传递的下行调制、皮层干扰学说、掩盖效应等;多次治疗后的镇痛作用:是产生即时镇痛作用的各种因素的综合作用和改善了局部血液循环的结果。
2、促进局部血液循环和淋巴回流。一般在停止治疗10~15min后比较明显,可使小血管及毛细血管扩张,血循环加快;可使淋巴管径增大,对促进淋巴回流有较好作用。
3、锻炼肌肉调制中频电流能引起肌肉收缩,可以锻炼肌肉预防肌肉萎缩,提高平滑肌张力并调整自主神经功能。可用于治疗废用性肌萎缩、部分失神经肌肉和完全失神经肌肉锻炼,以及膀胱直肠功能失调引起的排尿排便障碍。
4、软化瘢痕、松解粘连。中频电流刺激能扩大细胞与组织的间隙,使粘连的结缔组织纤维、肌纤维、神经纤维等活动而后分离。
5、消炎作用。中频电流对一些慢性非特异性炎症有较好的治疗作用。这主要是由于中频电疗后局部血液循环改善,炎症产物的吸收和消散加速,局部组织的营养和代谢增强,免疫功能提高有关。

根据中频电流的性质,可将中频电疗法分为:等幅中频电疗法(音频电疗法等),低频调制的中频电疗法(干扰电疗法等),低中频电流混合电疗法等(音乐电疗法等)。中频技术操作依据不同设备的设置要求,戴心脏起搏器者、孕妇的腰腹部禁用中频电疗。

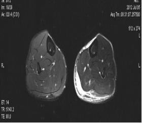
典型病例:患者,男,40岁,体能训练致左小腿肌肉撕裂伤并巨大血肿,给予脉冲磁疗、中频电疗和下肢肌肉训练指导后,血肿逐渐消退,两个月后肌肉恢复正常,继续参加训练。

