大笑或咳嗽有尿液不自主地溢出来?
出门逛街总是想先找厕所?
产后约好去健身?
NO,跑步爬楼都…….
生老大时一切都好,
响应政策生了老二,
结果一堆难言之隐……

这些都是盆底功能障碍性疾病( PFD)的表现。PFD是一组盆底支持缺陷、损伤及功能障碍造成的疾患,主要问题是压力性尿*禁失** ( SUI) 和盆腔器官脱垂 ( POP)。绝经后妇女 PFD 的发病率约为 60%,正常妇女发病率约为 10% ~ 15%,产后盆底肌力异常者占87%!

尤其是二胎政策开放后,有预测指出该病在 10 年后的发病率将增加 1 倍。盆底影像学目前是全世界影像学的热点,MRI、超声对此都有深入研究,尤其是四维超声在盆底监测方面的进展异军突起,伴随人工智能(AI)时代的到来更成为盆底监测的“慧眼”。
什么是盆底超声?
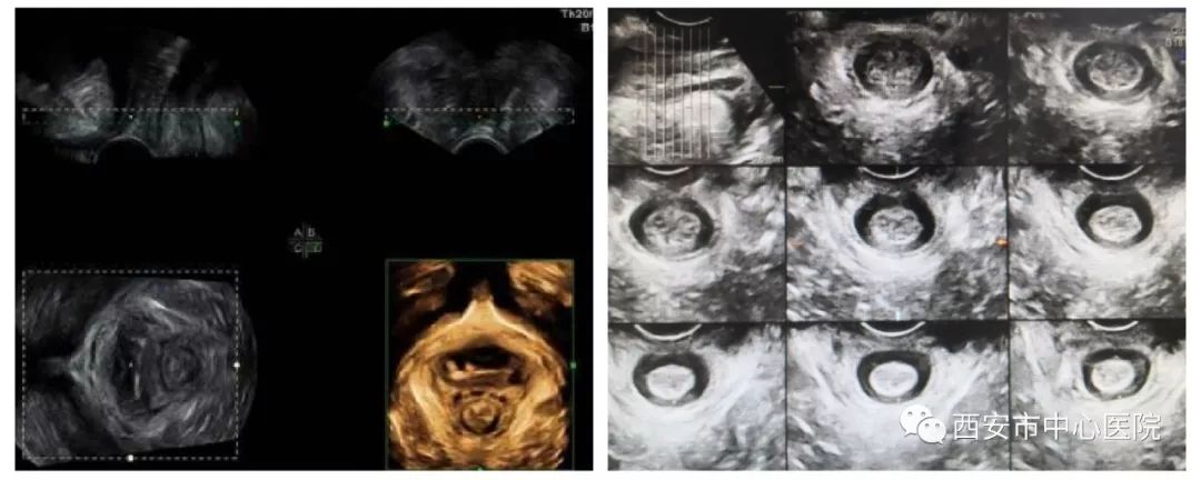
盆底超声包括二维超声检查盆底脏器有无脱垂及盆底四维成像检查盆底肌肉的完整性两部分。检查时将配备无菌保护罩探头放于会阴部,通过实时动态观察,比较患者静息、缩肛和Valsalva状态盆腔脏器结构和位置改变,直观反映子宫、直肠、膀胱等盆底器官的情况,可在临床症状出现之前做出早期诊断,为临床医生制定合理的治疗方案提供有力依据。
我们不禁要问,盆底超声的应用具体有哪些临床意义?
可以用来评估肛提肌裂孔的形态和变化(解剖层面);
可以协助评价盆底功能障碍性疾病的程度;
可以发现及评估肛提肌及肛门括约肌损伤及程度;
可以用于盆底手术术后的观察,主要是盆底解剖形态的恢复情况(包括吊带及盆底重建植入补片位置、大小、有无折痕、挛缩、侵蚀等并发症出现。)
盆底四维超声的优势
1) 目前高端超声拥有可以媲美MRI的软组织分辨力;且无辐射、无创伤;无造影剂引起的过敏反应;经济快捷;可重复性高;患者更易接受;


2) 能够多平面成像(可获得轴平面,这对于肛提肌评估是必要的);TUI成像模式观察肛门括约肌;


3) 可动态观察盆底变化(静息、缩肛及Valsalva动作)。


总而言之,盆底超声对于盆底疾病(包括压力性尿*禁失**、直肠膨出、子宫脱垂、小肠膨出及肠疝等等)的观察具有非常大的优势,通过盆底超声的检查可以对盆底疾病发生的具体解剖、程度、位置等等均有很好的显示作用。同时,盆底超声在盆底疾病手术术后的动态观察(包括补片、吊带的情况、效果等)、评估均有很大的优势。
四维盆底超声检查适应人群
孕期存在尿*禁失**(漏尿)、便秘、盆底其他不适症状;
自然分娩,巨大儿剖宫产(新生儿体重>4000g);
产后存在盆底功能障碍(存在尿*禁失**、脏器脱垂、便秘等症状者)阴道松弛、阴道痉挛;
双胎及多胎妊娠常规产后42天检查;
慢性盆腔疼痛(非炎症性);
反复阴道炎、泌尿系感染,尿急、尿频、夜尿或与膀胱相关联的疼痛(非急性期);
中老年女性盆底功能障碍(子宫脱垂、压力性尿*禁失**、长期便秘症状者);
盆腔及泌尿生殖修补术前术后评估等。

本科室拥有GE Voluson E10、E8高端四维彩色多普勒超声诊断仪,配备目前最先进的腔内四维、经会阴四维探头及软件,自动多层面TUI软件及增强技术,将盆底肌肉及韧带等结构清晰立体再现。
该项新技术由郑瑜主任牵头,由优秀的高年资主治医师赵洁、韩璐(均为第四军医大学硕士研究生)等具体实施, 为广大患者服务,技术精湛、,设备、软件及人员配备均属一流,为您的盆底健康保驾护航。
目前我科四维盆底超声检查内容包括:
1、二维盆底结构检查;2、四维高清盆底成像;3、含常规腔内子宫附件检查。
检查前无需特殊准备,请提前于妇产科就诊开据相应检查申请单,在门诊二楼超声科前台预约,常规安排在周一至周五(节假日除外)。
温馨提示:产后盆底肌修复的黄金时段是产后42天到半年,一年以内效果也较好,另外西安市中心医院产科专门设有盆底康复中心,非常专业的团队,走过路过不要错过。
科室简介
西安市中心医院超声诊断科是西安市医学优势专科,陕西省卫计委批准的“陕西省产前超声筛查中心”“陕西省产前超声检查培训基地协作单位”,“陕西省住院医师规范化培训超声医学专业基地”等,获“西安之星”、“西安市巾帼文明示范岗”、“陕西省卫计委改善医疗环境提升医疗服务优秀服务标兵”等荣誉称号,集医疗、科研、教学为一体,包括主任医师2名,副主任医师5名,博士2名,硕士5名,科室设施齐全,装备精良,业务广泛,以介入超声、心血管超声、产前超声为主要特色,近年来在国内核心源期刊发表论文30余篇,SCI论文6篇。主持省部级基金项目6项,市级基金项目5项,多次举办省级学术会议,以第一完成人获陕西省科技进步三等奖、西安市科技进步二等奖,西安市科技调研成果二等奖,承担第四军医大学及交大医学院、西安医学院、延安医科大学影像专业实习医师的教学任务及各级进修医师的学习并承担多项省级继续教育项目。


(文中部分图片源自网络,如有侵权请联系删除)
End
西安市中心医院

医院院训:尚德 精术 和谐 创新
门诊时间:
平 诊:8:00——12:00 14:00——17:30
假日门诊:8:00——12:00 14:00——16:00
急 诊:24小时(全天候服务)
就医指南:门诊大厅——咨询台——分诊挂号——就诊——检查——取药(或治疗)——住院或离院
联系方式:
预约诊疗方式:
手机APP、微信预约、网上预约、电话(95169)预约、诊间预约、自助机预约
西安市中心医院网址:
http://www.xaszxyy.com
预约网址:
www.zxyyyy.com www.guahao.com
邮编:710001
医院地址:
西安市西五路161号(南院)
西安市后宰门185号(北院)
乘车方式:地铁1号线、2号线北大街站D口出站
公交车:4路、6路、9路、10路、11路、12路、26路、33路、36路、37路、102路、103路、182路、205路、208路、229路、235路、236路、301路、600路、601路、606路、608路、609路、616路、618路北大街站下车




