典型病例
76岁的张大爷3年来长期便秘、偶尔大便发黑。二周前,下腹胀痛,自行口服抗炎药后,稍有好转。一天晚饭过后,突然出现左下腹剧烈疼痛,呈阵发性绞痛,约十余分钟后缓解,张大爷自以为“*毛老**病”口服抗炎止痛药后,以为会好转,8小时后,排便数次均为鲜血便,伴有发热,持续隐痛难忍。在家属搀扶下至当地医院急诊就诊。CT提示乙状结肠肠壁增厚,医生拟”乙状结肠占位”收治入院。家属连夜辗转赶往我院傅传刚教授特需门诊,一早,傅传刚教授紧急安排进一步检查。

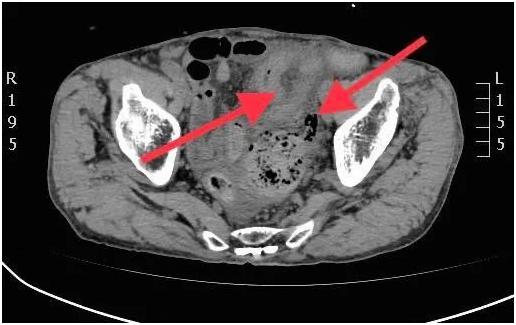
CT影像肠壁增厚水肿
治疗过程
CT提示患者乙状结肠肠壁增厚,局部明显水肿,周围可见气泡影,结肠占位,傅传刚教授高度怀疑结肠憩室,穿孔可能。急诊开腹探查,见腹腔内淡黄色渗液约300ml,腹腔内广泛粘连,全小肠及结肠扩张明显,乙状结肠憩室约3cm,破裂坏死,盆腔积血和粪便样液体约200ml,周围包裹黏连。升结肠憩室约1.0cm,十二指肠与空肠交界处憩室约2.0cm。术中诊断:急性弥漫性腹膜炎 乙状结肠巨大憩室坏死穿孔 升结肠憩室 小肠憩室 。傅传刚教授与周主青教授团队共同为患者实施乙状结肠切除术+结肠造口术+升结肠憩室切除术+小肠憩室切除术+腹腔粘连松解术。吸出盆腔积血及积液,解除粘连。随后游离并切除升结肠、小肠憩室,切除部分结肠及直肠,结肠残端吻合于皮肤造口。手术用时5小时,患者安全返回病房。
术后傅传刚教授表示,高龄患者急诊手术风险较大,一旦有证据提示结肠憩室穿孔,早期剖腹探查可望改善患者预后,降低病死率。
什么结肠憩室?

结肠憩室是结肠壁向外凸出形成袋状
结肠憩室在西方国家是一个常见病,乙状结肠最常出现,并且发病年龄较大,亚洲比较少,最常见的部位为右侧盲肠或升结肠,一般以老年人和便秘人群好发。我国结肠憩室发病率为0.17%~1.87%,其中70%~90%发生于右半结肠,并发症发生率为5%,主要为憩室炎和憩室出血。
本例患者乙状结肠巨大憩室,国内非常少见,结肠癌与憩室病变有较多的相似之处,随着年龄增大发病率增加,可发生在结肠任何部位,乙状结肠多发,临床症状相似,很容易误诊。由于患者高龄往往反应迟钝,NSAIDs应用可导致症状不典型或无症状,合并DM、RA等免疫代谢性疾病,特别是伴发周围血管壁硬化、血管舒缩功能减退的老年患者,局部肠壁血管可长期处于无症状的不完全闭塞状态。一旦出现突发剧烈腹痛,需警惕憩室穿孔的可能。
临床症状
80%以上的结肠憩室无症状,其黏膜色泽与周围正常黏膜相似,往往由消化系统影像学检查如钡剂灌肠或结肠镜检查意外发现。据文献统计,亚洲人中70%的结肠憩室炎的腹痛,表现为右下腹痛,加上发烧,恶心,呕吐等非特异性的表现,导致结肠憩室炎的症状,和急性阑尾炎的症状和体征非常像。仅少数患者因憩室发炎、出血、穿孔、肠瘘、肠梗阻、蒂扭转、腹膜炎等并发症而需接受治疗。
治疗方法
结肠憩室没有症状的无需治疗,而对于有反复慢性的炎症出现的时候,也大多采取保守治疗,应用抗炎药物来控制炎症。如果有憩室内长时间梗阻形成穿孔,则需要进行手术治疗。
结肠憩室会癌变吗?
憩室本身是一种良性病变,一般不会出现恶变的症状。有结肠憩室者定期做结肠镜检查,了解憩室有无变大或增多或结肠新生病变。
能预防吗
由于我国好发于老年人和便秘人群,年龄无法改变,但便秘可以改善:养成自己主动、定时排便的好习惯,预防便秘。
(此处已添加医疗卡片,请到*今条头日**客户端查看)