来自加拿大的 Jing Gennie Wang 医生近期报道了一例出现气短及胸痛的宫颈癌患者,并围绕病因进行了分析讨论。文章近期发表在 Chest 杂志上。
病例介绍
患者,女性,30 岁 +,因「活动后气短、干咳、胸痛 3 个月」就诊。患者 7 个月前诊断为浸润性宫颈鳞状细胞癌 IIIB 期。当时其盆腔 MRI 显示子宫颈肿块浸润至右侧子宫旁脂肪组织,但并无子宫、阴道、淋巴结累及。胸、腹、盆腔部位 CT 未见远处转移。该患者 6 个月前已完成了外照射放疗和顺铂化疗。
1 月前患者因「活动后气短、干咳、胸痛 2 月」至当地医院就诊,检查发现右侧胸腔积液。胸腔穿刺抽出淡黄色胸水,常规检查示:有核细胞计数 1260 *10^6/L,以淋巴细胞为主(55%)。胸水流式细胞学及培养均为阴性结果。当时医生考虑诊断为类肺炎性胸腔积液,给予经验性抗生素治疗,然而患者临床症状并无缓解。
三周前患者再次复查盆腔 MRI,未见肿瘤进展征象以及治疗后纤维化改变的相关特征。
在本次对患者的体格检查中,未触及浅表淋巴结肿大,心脏听诊未闻及杂音,肺部听诊示右中下肺野呼吸音减弱,无胸膜摩擦音等。实验室检查显示,血常规中白细胞 8.1 * 10^9/L,血红蛋白 104 g/L,血小板 608 * 10^9/L,血清总蛋白 81 g/L,血清乳酸脱氢酶 195 U/L。
随后行胸腔穿刺术抽出血性胸水,胸水生化示葡萄糖 1.5 mmol/L,蛋白 51 g/L,乳酸脱氢酶 2212 U/L。胸水有核细胞总数 2100*106/L,仍以淋巴细胞为主(60%),格兰染色及培养均为阴性结果。胸片及胸部 CT 如图 1、2 所示。

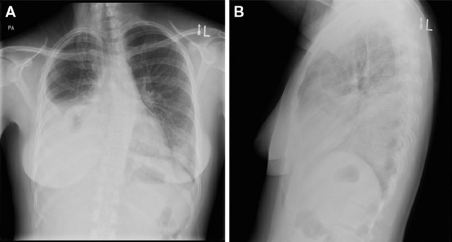
图 1 A、B:正侧位胸片示右侧大量胸腔积液及肺不张

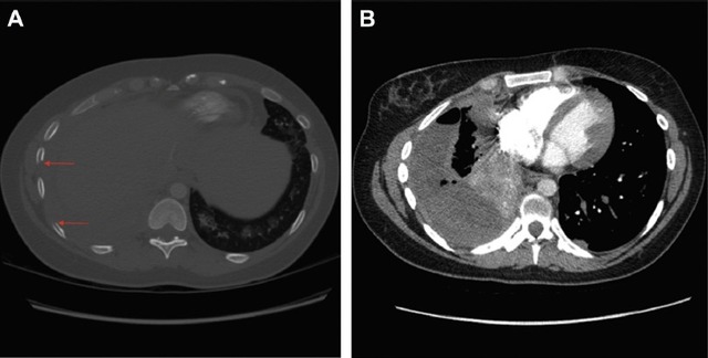
图 2:肺 CT 血管成像显示无肺栓塞征象,但显示胸膜增厚,结节延伸至肋间隙,箭头处显示骨质破坏,此外,右中下肺野存在大量胸腔积液及明显肺不张。
对该患者行支气管镜检查,镜下发现两处非阻塞性结节密度病灶延伸至右肺下段支气管。刷片及支气管灌洗液均为阴性。随后对患者行 CT 引导下经皮胸膜活检(右侧第九肋区域及相关胸膜增厚区域),结果显示与鳞状细胞癌类似的低分化癌症改变,免疫组化结果符合宫颈来源。
最终患者被诊断为低分化浸润性宫颈鳞状细胞癌并转移至肋骨及胸膜。
病例讨论
近年来发达国家的宫颈癌发病率已有所下降,但依然是最常见的妇科肿瘤之一。尽管治疗上取得不小进展,但仍有 30% 的患者死于宫颈癌复发或持续无缓解。宫颈癌复发被定义为局部肿瘤再生长或至少治疗 6 个月且原发病灶缓解后发现有远处转移。典型的癌症复发以盆腔复发为主,仅 4%-10% 出现远处胸部转移。此时肺部结节、纵膈或肺门淋巴结肿大是最常见的征象,如本例患者所出现的肋骨和胸膜转移则更为少见。
当患者出现咯血、恶病质、淋巴结肿大及有恶性肿瘤病史,医生应该疑诊胸腔积液为恶性胸水。胸部 CT 常常能发现恶性肿瘤征象,包括胸膜增厚或结节,单侧肺门淋巴结肿大,或肺部肿块。结节或不规则的胸膜强化,外加胸膜厚度>1 cm,在诊断恶性肿瘤上的敏感性和特异性均较高。
当怀疑恶性胸水时,则有必要行诊断性胸腔穿刺术。95% 恶性胸水为渗出性,约一半为血性胸水(肉眼可见)。胸水细胞学是一种发现恶性肿瘤的简单手段,但其敏感性仅为 40-87%,因此不能用于排除恶性肿瘤。本例患者的血性胸水,细胞学结果阴性,但最终诊断结果证实了这一观点。
其次,通过荧光原位杂交进行细胞遗传学分析,可以发现染色体异常,其在发现恶性胸水的敏感性为 60%,联合胸水细胞学则敏感性可提高约 20%。检测相关肿瘤指标如癌胚抗原、糖链抗原 19-9 等,也有助于发现恶性肿瘤。尽管这些辅助性手段不能直接诊断恶性肿瘤,但都有助于识别潜在的恶性肿瘤。
此外,当胸水细胞学阴性结果但临床上仍高度怀疑恶性胸水时,可选择 CT 引导下的经皮胸膜活检(敏感度 87%,特异性 100%)。另外,胸腔镜检查的敏感性也高达 95%,但其有创性较大。当运用这些手段仍无法明确肿瘤病变,则可采用电视辅助胸腔镜手术或开胸探查。最后,支气管镜检查的诊断价值较低,并不被常规推荐,但当怀疑患者有支气管内病变时,支气管镜检查仍有辅助诊断价值。
对于本例宫颈癌患者,尽管主诉胸痛不是恶性胸腔积液的典型表现,但当恶性肿瘤累及胸膜壁层及肋骨时,同样可引起患者的类肺炎性胸痛。而患者行影像学检查并未证实淋巴结转移或局部肿瘤进展,这可能是因为影像学手段无法识别胸膜的早期微小转移灶,但随着疾病逐渐进展,临床上仍可找到更多癌症胸膜转移的证据。通过此病例,临床医生应当对宫颈癌患者的胸膜肋骨转移有更深刻的认识。(转载丁香园—曹文浩)