#2022重庆头条# #生命摆渡人# #重庆头条# #我的2022#
我之前就说过在我们的生活里,不只是只有“慈母手中线,游子身上衣”,也一样“有仰面望慈亲,母咳儿惊心”。在母亲或长辈遇到问题的时候,都会付诸一切努力,只求平安和健康。
今天这位朋友,就是这样的“标杆”,在我们多次沟通里,我看到了努力、焦虑和急迫。特别是在第一次术后病理时出现了很多看不懂的信息,就更加迷茫和慌张了。于是在网络上着急咨询,希望我来给出一个精准诊断,帮助母亲可以顺利的开展后期的治疗。
我在这里临时科普几个信息:1.弹力纤维染色,代表着相关细胞的病变的参考,是一个需要关注,但是不可能独立判断疾病的参数,要综合其他检查综合判断;2.1A2期腺癌相对恢复较好;3.第一次术后半年至一年(根据实际情况)可以二次手术。
我想对这位朋友说:不要着急,母亲的状态是正常的,后期不需要进行干预。过个半年一年的再去把剩下的那个处理就行。老人的身体一定可以康复,开开心心的过下去的。
“慈母望子,倚门倚闾;游子思亲,陟岵陟屺”,未来你和母亲一定未来可期!
以下转自患者家属咨询:
2022-08-02
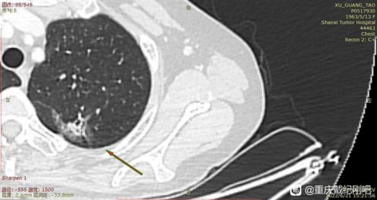
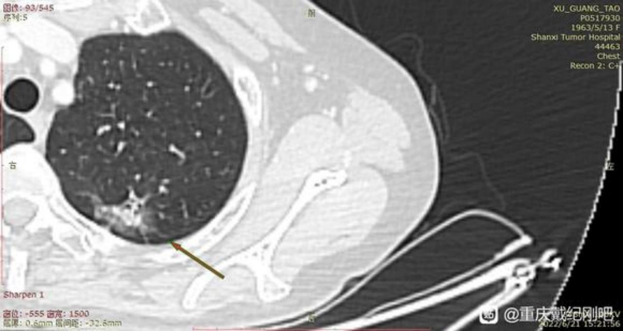
主任前段时间已经麻烦过您了,术后病例确实跟您的判断一样,左肺上叶结节为早期肺腺癌(腺泡型)。当时我们医生先是进行了楔形切除,中间又出来谈话进行了叶切。(患者我母亲,59岁女性,不抽烟喝酒)现在术后病例出来了:腺泡型肺腺癌、大小2cm*1.5cm*1cm,支气管、淋巴结未见累计。
医院的基因检测,没测出突变。胸膜:弹力纤维染色未见胸膜累犯;特殊染色结果:弹力纤维染色+AE1/AE3(上皮+):
1、弹力纤维染色+AE1/AE3(上皮+),是不是不用管?这个不是阳性的意思。
2、主任这个分期是1A2期对吗?不需要术后辅助治疗对吗?
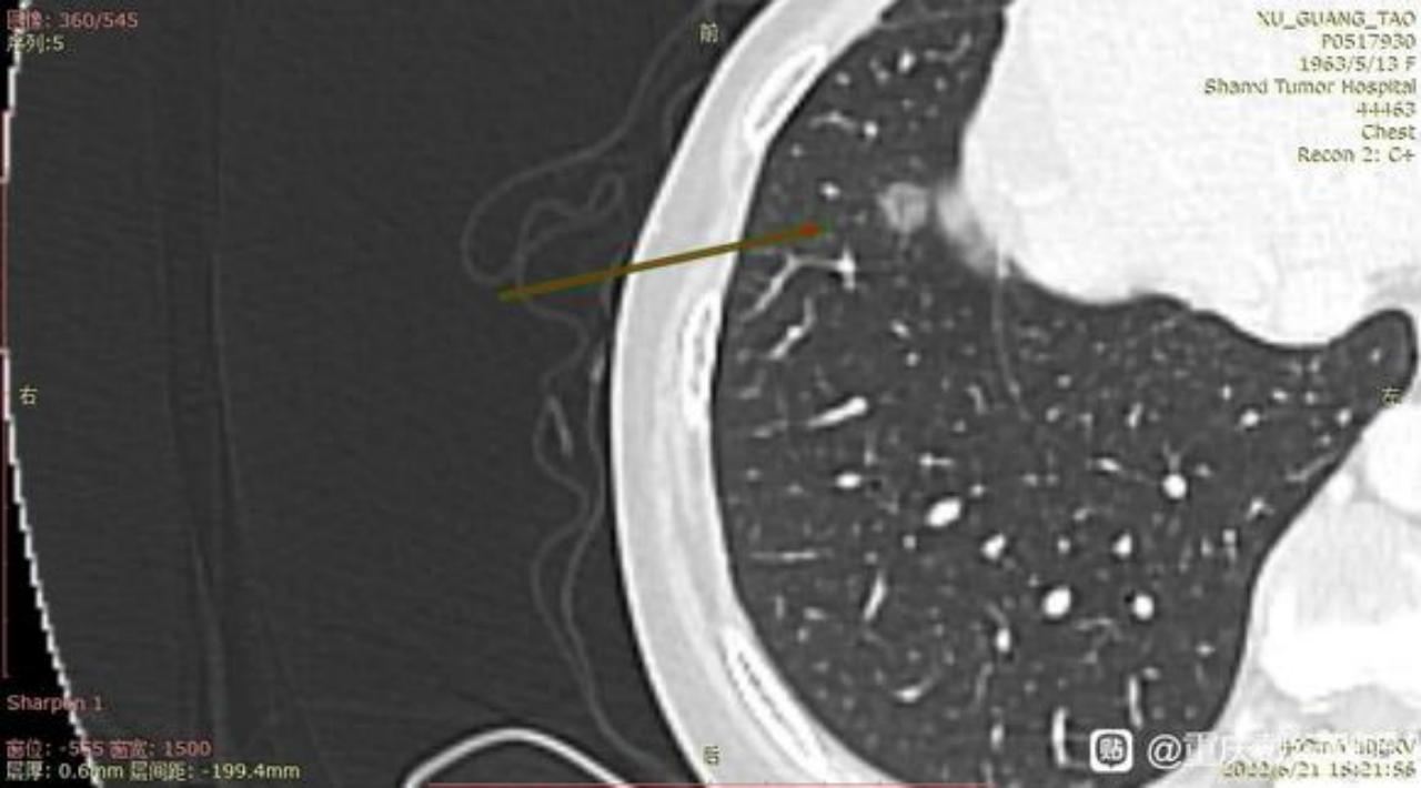
3、主任,根据您之前判断,右肺下页的0.7毫米磨玻璃结节至少是微浸润。现在医生给切了左肺上叶,后面手术多久能进行啊?是不是难度很大了?




我的回复
不需要后续治疗。半年或一年内二次手术不耽误的