
本文为医脉通编译整理,未经授权请勿转载。

病历资料
患者女,63岁,有糖尿病病史,因水样腹泻3个月而入院。患者诉发热,食欲减退,体重减轻,下肢水肿。她曾于当地医院就诊,并经给予抗生素,但其症状无改善。
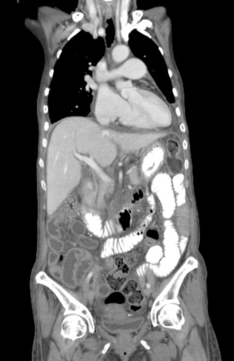
食管胃十二指肠镜和结肠镜检查未见明显病变;腹部CT显示小肠壁增厚,腹中存在大量积液,淋巴结肿大,肠系膜脂肪密度增高(图A),且骨髓穿刺无异常发现。因此,患者来我院求进一步诊治。

图A
体格检查示,患者结膜苍白,腹部肿胀,双侧小腿水肿。
实验室检查显示血红蛋白水平为7.4 g/dL(正常范围,11.1-15 g/dL),白细胞计数为11.3×109/L(正常范围,3.5-11 x109/L),白蛋白水平为2.5 g/dL(正常范围,3.8-5.4 g/dL)。
血清阿米巴抗体检测呈阴性;尿液分析和大便分析结果无异常,未见任何寄生虫或虫卵。
顺行双气囊小肠镜(DBE)显示,从空肠(图B)到回肠(图C),肠壁弥漫性水肿,并可见淡黄色的绒毛状黏膜。

图B

图C
医生速将异常黏膜样本送往病理检查。
你对这些小肠病变的诊断是什么?
答案揭晓
病理组织学检查结果显示,黏膜固有层和黏膜下层均有弥漫性泡沫状巨噬细胞的浸润,周围淋巴管扩张(图D,箭头;苏木精伊红染色;原始放大倍数,x 40)。

图D
免疫组织化学染色结果显示CD68阳性(图E)。

图E
此外,空肠黏膜固有层可见过碘酸-Schiff(PAS)染色阳性的巨噬细胞的大量浸润。基于组织病理学特征,医生将其诊断为Whipple病。
知识小课堂:Whipple病
1.Whipple病是什么?
Whipple病(Whipple's disease,惠普尔病,又称肠源性脂肪代谢障碍)是一种罕见的疾病,它于1907年由Whipple首次报道,是一种罕见的以腹泻和吸收障碍等多种胃肠道症状为特征的慢性多系统疾病,部分患者仅表现为关节,心脏或神经系统症状。
2.病因和发病机制
虽然人们已经公认Whipple病是一种感染性疾病,但是,由于T whippleii菌很难分离,关于该病原微生物在自然界如何生存,如何传递给人类以及如何导致发病尚不清楚。
德国Maiwald等曾在污水中发现了T whippleii菌特异性DNA,他们认为Whipple病的感染源于环境。由于该病常累及消化道,因此,推测可能是因为人们食用了被T whippleii菌污染的水或食物后而被感染,再经过淋巴液和血流而播散至全身其他脏器(包括脑)。但病原微生物如何通过血脑屏障以及人体的免疫力在发病中起了什么作用还不清楚。
同时,人们也发现Whipple病患者有某种程度的免疫缺陷,如单核细胞分泌的白细胞介素B-12减少,巨噬细胞的吞噬作用减弱、细胞内降解活动减低。
3.流行病学
农民、污水处理工人,和接触动物以及土壤的家禽饲养者有更高的WD风险。
好发于中老年男性白种人,但女性和所有种族均易感。近年来,随着聚合酶链式反应(PCR)技术在临床的广泛应用,本病诊断报告日渐增多。
4.临床表现与诊治
WD一般的临床表现包括腹痛、水肿、腹泻、吸收不良、体重减轻和发热,但也有一些WD不表现出任何临床症状。
WD影响的部位通常是十二指肠和小肠,但也会影响许多器官,包括肺、心脏、关节、中枢神经系统和眼睛。
一般来讲,WD的诊断须依靠黏膜活检,Whipple病典型的病理特征是累及小肠特别是空肠,表现为小肠增厚、僵硬、扩张,脏层腹膜可有纤维素性渗出,常伴有肠系膜淋巴结肿大。
光学显微镜下典型的组织学表现是小肠黏膜固有层内PAS染色阳性的颗粒状泡沫样巨噬细胞,巨噬细胞内所含有的这种特异性的PAS染色阳性颗粒实际上是T whippleii菌及其代谢产物的积聚;电镜下可在细胞内或细胞外见到3层细胞壁样结构的杆状细菌。
由于Whipple病是全身性疾病,可以累及周围淋巴结、中枢神经系统、肝脏、脾脏、皮肤、心瓣膜和滑膜等,可以出现非干酪样的、上皮细胞(结节病样)肉芽肿,光镜下在这些组织内同样可以看到特征性的PAS染色阳性巨噬细胞。
但由于WD的症状无特异性,很多时候,黏膜活检无法及时进行。因此,为了诊断WD,顺行双气囊小肠镜也是一种有效方法。
WD的主要治疗手段是广谱抗生素的使用。
5.预后
Whipple病累及神经系统则预后不良,累及中枢神经系统的Whipple病对治疗的反应远较其他类型Whipple病差。具有明显结构性损害,如肉芽肿、梗死和脑萎缩的患者对抗生素反应不佳,通过治疗很难逆转已经存在的神经系统缺损,但眼肌麻痹和精神症状的患者对抗生素反应良好。
神经系统Whipple病也比较容易复发,选择正确的抗生素和延长治疗时间能够减少复发。
参考文献:
[1] Chou J-W, Hsu B-C, Chang C-H, A rare cause of chronic diarrhea and fever,Gastroenterology (2020), doi: https://doi.org/10.1053/j.gastro.2020.01.018.
[2]*力武**勇,王向波,贾建平.神经系统Whipple病[J].《中华神经科杂志》.2007 , ( 23 ).
