
作者:郭赞央 登封市中医院
常见肾脏发育异常及先天畸形有何特点,如何鉴别诊断?
肾旋转异常
临床特点
肾脏在胚胎发育过程中发生的旋转不足或过度;可单侧发生或双侧同时发生;常合并异位肾或者双侧同时发生;常合并异位肾或融合肾。受压迫可导致肾积水、肾绞痛、血尿等。
MR特点
常见肾脏形态异常,肾门方向偏前或偏后;肾实质未见异常信号灶,但可见肥大的肾柱等;合并肾积水可见扩大的肾盂肾盏,合并结石可见低信号结石。
讨论
典型的肾脏旋转异常一般通过T1WI和T2WI的横断面和冠状面扫描,发现肾长轴和肾门位置改变而诊断,但合并其他畸形时应注意不要漏诊。
鉴别诊断
与马蹄肾、异位肾、脊柱侧弯、手术后牵拉或周围组织占位病变导致的肾脏位置改变鉴别。
异位肾
临床特点
女性多见,为胎儿期肾脏自盆腔上升过程中的发育障碍,未能达到肾窝,而位于髂窝内或腰部,称为盆肾、髂肾;截止过中线至对侧称为交叉异位肾。如肾经横隔孔过度上升至胸内,则形成胸内异位肾。异位肾多伴有发育不良,最常伴肾旋转不良、输尿管长度异常及膀胱输尿管返流等。
MR特点
可见肾位置低下,多较小,但孤立异位肾可有代偿性肥大。异位肾窝由其他腹腔脏器占位。

鉴别诊断
➤ 游走肾:主要不同点为肾脏位置不固定,其输尿管长度及血管均正常。游走肾可位于同侧腹部或对侧肾窝以外的位置,可旋转。
➤ 孤立肾:MR扫描范围足够大,冠状面不可缺,最好包括膈上及盆腔,须注意排除一侧肾脏发育较小。
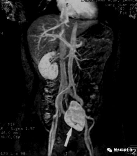
融合肾
胚胎早期,肾胚上升是发生融合。常合并旋转或交叉异常,最常见马蹄肾。
马蹄肾
临床特点
为融合肾最常见类型,女性较男性多,易合并结石、积水和感染,常伴隐睾、尿道下裂和多囊肾、膀胱外翻等。
MR特点
双肾下极越过中线,以实质或纤维性连接。合并结石、积水可见不规则T1WI低、T2WI低或高信号,边缘清晰及扩大的肾盂。合并肿瘤可见不规则的T1WI低、T2WI低、高信号,合并出血或坏死可出现 明显T1WI低、T2WI低信号或高信号。冠状面可见拉长的下肾盏结构,可见到起源于主动脉较低水平的多支供血动脉及其他畸形。
其他融合肾(MR冠状面显示好)
➤ 乙状肾:交叉异位的肾位于对侧肾下面,两肾相接,呈S形。
➤ L形肾:交叉异位肾横卧于正常侧肾的下级,肾长轴旋转。
➤ 盘状肾:双肾内缘相对的上下极发生融合,外侧缘形态正常。
➤ 块状肾:双肾广泛融合成不规则形肿块,通常位于骶岬水平。

讨论
马蹄肾是最常见的融合肾类型,不合并肾肿瘤或炎症等病变时,临床无症状。CT和MR可明确诊断。但需注意并发症的存在及血供情况。
鉴别诊断
马蹄肾主要与其他融合,如乙状肾、块状肾和L形肾等进行区别。合并肿瘤巨大时,有时有困难。
孤立肾
临床特点
发病率低,系胚胎早期一侧生肾组织及输尿管芽不发育。孤立肾误切除导致生命危险。
MR特点
显示一侧无肾,孤立肾代偿性肥大,注意与肾发育不全及肾萎缩鉴别。
讨论
一旦发现为孤立肾,对其合并结石、炎症等均需慎重保守治疗,避免穿刺活检。

鉴别诊断
主要与肾发育不全及肾萎缩区别,后者仅有肾体积变小,肾功能低下,输尿管通常无异常。需要与游走肾、异位肾及一侧肾脏术后缺如鉴别。前者可在胸腔或盆腔等处发现发育正常的肾脏,后者有手术史。
肾发育不全
临床特点
原因是肾脏发育缺陷及血供不正常,可无功能。胚胎期输尿管芽分支后肾原基数量不足,导致肾脏不能正常发育,体积通常是正常肾的一半。可伴女性子宫、输卵管、阴道和男性精囊、输精管、附睾的畸形及阙如。以单纯肾发育不全最多见。
MR
可显示肾窝内或盆腔内的小肾结构(侏儒肾)和发育不良的肾血管,灌注可见肾功能存在,对侧肾常有代偿性肥大。MRU显示肾盏数量少,肾盂输尿管小。
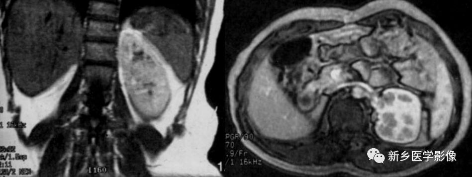
肾发育不良
临床特点
与肾发育不全是程度上的差别,肾实质发育差,不及正常肾一半。组织学肾单位及肾小盏减少,可伴同侧肾上腺缺如。原因是妊娠早、中期不同水平尿路梗阻引起。
MR
肾不发育,仅为一小块肾脏,常误诊为孤立肾。多囊性肾发育不良,一侧肾区大小不等的囊肿液性水样信号,有薄厚不一的分隔,可伴发育不良肾结构,增强无强化,对侧肾和输尿管可正常。

讨论
肾发育不良与发育不全的临床表现取决于其累及的程度。常伴其他血管发育异常,检查应避免疏漏。诊断中,发现小肾结构非常重要。
鉴别诊断
应与孤立肾、肾脏术后改变、慢性萎缩性肾盂肾炎鉴别,后者患肾明显缩小,其轮廓常不光滑,边缘凹凸不平,肾盏变形。临床有泌尿系感染史或反流性肾病史。
来源:新乡医学影像