
B超是产检中重要的影像学检查手段,在怀孕期间,它可以帮助医生和孕妈了解肚子里宝宝的情况,指导孕期管理和及时发现异常,以确保每个诞生的宝宝都健健康康。作为产检的必查项目,很多孕妈面对B超检查时是一头雾水。二维、三维、四维超声有什么不一样?产检要做几次B超?
几维超声有何区别
看电影有2D、3D电影,现在的超声技术也有二维、三维,甚至还有四维,哪一个看得更清楚?做哪一个更好?
医院里最常见的是二维超声,包括黑白B超和彩超,它们的图像是身体里某一切面的平面图。彩超并不是彩色的,全称是彩色多普勒超声,是在黑白B超的基础上增添了血流信息,经过计算机处理不同血流信号会展示出不同颜色。彩超便于判断身体内器官和病变血流情况,利于一些病变的鉴别和诊断。

三维超声顾名思义,就是可以看到3D立体的图像。医生在检查时可以直观清晰地看到各个结构形态,还能看到更多不同切面,提高了对胎儿畸形,特别是头面部畸形的诊断。四维超声比三维再多加了一个时间上的维度,就好比3D录像,可以动态观察特定部位的变化,相对来说会更清楚,提供更多诊断信息。

三维和四维彩超会比二维看的更清晰,在孕中晚期做系统大排畸检查或一些特殊情况检查时,医生通常会建议做三维和四维彩超。在孕早期检查中,二维超声的检查效果与三维不相上下,这时一般做普通的B超,如有特殊情况医生才会建议进一步检查。
产检需要做几次B超
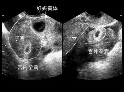
第一次,停经后约6~8周
确定是否怀孕,观察妊娠囊、胚胎的大小、数目、位置,判断是单胎还是多胎妊娠。观察胚胎情况,有无胎心搏动,是否有胚胎停止发育。测量头臀长明确孕周,推算预产期。还有重要的一点是排除宫外孕和葡萄胎,看看子宫卵巢有没有异常。

第二次,11~13+6周
NT超声检查是在早孕期发现胎儿畸形的重要检查。NT是nuchal translucency的缩写,指的是“颈透明层”,通过测量颈项透明层厚度,同时结合唐氏筛查,胎儿先天愚型的检出率可高达80%以上。除此之外,还要再次确定胎儿数目及绒毛膜性,确定孕周,观察胎盘。

第三次,20 ~ 24孕周
此时胎儿的复杂器官如心脏和大脑已经发育好,是进行系统性超声检查排查畸形的最佳时期。检查内容包括胎方位、胎心搏动、胎儿生物学测量,对胎儿的大脑、颜面部、颈部、胸部、心脏、膈肌、腹部、脊柱、四肢全面观察,还包括胎盘、脐带、羊水量的检查,筛查六大致死性畸形和各主要器官的畸形。这是产前超声检查中最重要的一次,一般需要30~45min,各位孕妈需要提前预约好,以免错过最佳时期。
第四次,28 ~ 34孕周
此次超声检查内容与第三次基本相似,有些胎儿畸形是随着孕妇孕周的不断增加而逐步呈现,所以要补漏筛查在孕中期未能被发现的胎儿畸形。同时还要评估胎儿的生长发育情况,指导妊娠管理和异常情况的治疗。
第五次,37 ~ 41孕周
这时已接近分娩,主要为了确定胎方位、估算胎儿体重,同时结合有无脐带异常、羊水指数、胎盘位置及成熟度,来确定适宜的分娩方式。简单地说,是“剖”还是“顺”,就看这次检查了。

这5次B超是必需的,如果出现腹痛、阴道流血、胎儿生长受限等异常情况,还需要再做额外的B超。
超声检查的局限性
出生缺陷包括染色体异常、结构异常和功能异常。超声诊断胎儿畸形是从形态学的角度进行观察,因此超声检查只能发现解剖结构上的异常。
现代超声技术已经能筛查出绝大部分的结构异常,但仍有一些畸形受多种因素影响,难以通过B超筛查出。如孕妇腹壁脂肪过厚会导致声衰减,图像质量变差;胎儿的某些体位影响一些部位的观察;羊水过多时胎儿活动频繁,羊水过少时结构显示难度增大。这些都会影响超声检查结果,所以,超声不是万能的,必要时要增加检查次数并结合其他检查才能判断。
可以为宝宝拍照留念吗
记录宝宝的每一个成长瞬间是所有父母的心愿,有一些商家瞅准了这个商机,推出用超声技术为宝宝拍照留念。是不是看起来萌萌哒?有那么一些心动?

准爸妈们爱宝宝的心情可以理解,但并不建议这样做。虽然目前超声是公认安全的影像学检查手段,没有明确可靠的证据证明现在使用的超声诊断会对胎儿造成伤害,但也不能证明超声能量对于胎儿完全无害。
我国规定胎儿超声检查应遵循“最小剂量原则”,国际妇产科超声学会及世界超声医学生物*联学**盟提出,孕期超声检查需要有明确的医学检查指征,不赞成纯粹为了提供胎儿纪念相片而进行的超声。美国食品药物协会也提出推广、销售、租用超声仪器去做胎儿纪念视频是不合法的。为了减少对宝宝未知的伤害,建议孕妈们不要为还未出世的宝宝随便“拍照”。
(本文图片来自网络)
产检B超:能偷看宝宝几次?------消化病公益科普1557帖
马医生推荐