来源:懋式百科全书
一.概述
MRCP(Magnetic Resonance CholangioPancreatography)磁共振胰胆管成像是采用磁共振技术来显示胆道、胆系及胰胆管的一种成像显示方法。MRCP各位老师都很熟悉,英文Cholangiopancreatography 胆胰管成像可能很多人记不住。医学英语和普通英语一个差别就是词汇多,单词长,发音不好通过单词拼读出来。但是医学英语的词汇一般都是词根组合、前缀+词根+后缀,或者词根于词根之间的组合。cholangio是胆道、胆管的词根;pancreatic是胰腺的的意思,大家应该非常熟悉胰腺的单词是pancreas,而-graphy是成像成像的后缀,医学影像学中有很多技术都有这个后缀词根;不同词根及前后缀之间用o连接,所以这个单词其实也不难记忆。

图1:ERCP示意图
和MRCP类似的一个单词叫做ERCP(Endoscopic Retrograde CholangioPancreatography),翻译过来就是(经内镜)逆行性胰胆管造影术。Endo-是内、在内的前缀,-scopic表示观测、观察,当然endoscopic这个词本来就是内窥镜的,用内镜的方式的意思。Retro-是一个使用比较多的前缀,代表向后的,回顾的,*退倒**的。大家还记得我们的回顾性心电门控是怎么表述的吗?Retrospective,回顾性研究,回顾性分析都是这个前缀。grade这个单词大家熟悉,可以理解为年级、级别、阶段。
retrograde就很好理解了,为了信达雅和结合技术把它翻译为逆行性的。而同样的单词cholangiopancreatography在MRCP中翻译为成像,在ERCP中翻译为造影术更恰当。因为ERCP是一种有创性的手术方式,并且会注入造影剂以使胆囊及胆管系统显影,所以用造影术是比较合适的。


图2、3:ERCP图像
讲了这么多,其实就是一些记忆医学词汇的方式,主要是联想和推理以及举一反三。学医其实不能死记硬背,否则根本不可能记得住,除非是最强大脑,所以只能用巧方法,理解记忆,自己推理,延展类比。
扯回来,胆道系统影像学检查方法很多,除了前面说的MRCP和ERCP,还有X线胆囊造影,CT检查,超声等。不同检查方式有不同的优劣,本期内容我们就不重点讨论这个了。

图4:X线胆囊造影(左边造影前、右边造影后)
二.MRCP
相对于其他的影像技术,MRCP可以在无创的、不引入外来对比剂的情况下,通过胆道系统与其他组织的天然对比来达到影像显示的目的。
MRCP成像的原理其实非常简单,就是一种水成像技术。胆囊、胆系及胆道中有胆汁充盈,由于胆汁是液体组织,一般来说具有长T2的特性。所以采用重T2加权成像的方式成像,使用长TE,其他组织信号已经几乎衰减完全了,而液体组织由于具有长T2,还有信号,这样就形成了对比。
当然,还要注意,胆囊内的胆汁并不是纯水,所以和自由水的长T1长T2值不同。有时候胆汁浓缩以后,呈短T1表现,在T1加权像上甚至能表现为高信号或者分层样的高低信号。

图5:水成像原理示意图(图片来自杨正汉老师讲课视频)
一般的MRCP成像序列都是长TE的重T2加权序列。
当然磁共振水成像内容很多,包括:MRCP、MRU、MRM、MR淋巴管成像(后面有机会再写)。
三.胆道系统解剖
在进行MRCP技术讲解之前,我们还是先来了解一下胆道系统的解剖。学医的应该对于这个比较熟悉,当然我们还要注意,有很多胆胰管的先天性变异及发育异常疾病。

图6:胆汁的流动,反映胆胰系统(图片来源于3D人体解剖书籍)

图7:胆道系统解剖
如上图所示,更好的反映胆胰管系统的解剖。
学好医学影像学(主要是指影像诊断)关键就是必须要学好解剖学(系统解剖学、局部解剖学和断面解剖学)和病理生理学。
上图中,1代表胆囊,这点不用过多解释了;7是肝脏;8和9分别是右、左肝内胆管(注意图中,方向不要搞反了);8(RHD)和9(LHD)汇合到一起形成10肝总管(CHD);11是胆囊管Cystic duct;11和10汇合到一起形成12胆总管(common bile duct);4是胰管、5是胰腺;胆总管和胰管汇合开口于十二指肠大乳头;2代表Oddi括约肌;3是肝胰壶腹(又叫Vater氏壶腹);6是十二指肠。
正常的大体解剖了解了,后面对于MRCP的图片判读就容易多了。这里再次强调,以上的图片是正常的解剖图片。胆道系统,胰管系统是存在先天性变异及发育异常的,所以有可能大家看到的MRCP胆胰管系统不是这个结构。

图8:Biliary normal variants and artifacts, Radiology 2015

图9:MRCP注意看图中标记的线
有时候,我们组MRCP经常能看到一根比较亮的线竖着穿过胰管。有老师认为是伪影,有老师认为是其他结构。看了一些文献,有的说这个是淋巴管,扫描MRCP出现这个的概率不多。还有文献说和人种有关系,貌似中国人出现这个多。这个位置看着是胸导管?(我们专门有针对胸导管成像的序列,效果非常好)对于这个问题,我也没有过多研究,看看老师们有什么高见,可以留言。



图10-13:飞利浦专业胸导管成像序列
四.扫描前准备
扫描前的准备工作是非常重要的,特别是对于磁共振检查来说。每一位磁共振技师都应该有“磨刀不误砍柴工”的思想。我很早就说过,磁共振图像做得漂亮,“七分靠摆位”。
扫描前的病人准备工作,技师准备工作,线圈、摆位等做好了,一般来说图像都非常好,而且一次检查成功,反而节约时间。
检查前病人一般空腹4~6小时,所以腹部及MRCP检查最好约在上午。大体上MRCP的病人检查前准备工作和腹部相似。
检查前,检查病人身体,MR Safety筛查。
病人体位:一般采用仰卧位,双手上举或者不上举都可以,如果是老年人尽量不上举。
放置好呼吸门控装置(做腹部如果用膈肌导航或者其他方法可以不放,但是MRCP推荐一定要放置,因为MRCP成败和被检查者呼吸情况非常相关)。
训练患者吸气-呼气-屏气等。
另外, 一般大部分医院扫描MRCP之前没有做其他处理;也有部分医院扫描MRCP之前,要注射6-542(山莨菪碱)。这样可以抑制胃肠道蠕动,对胆总管下段显示有利。根据我的经验,注射了6-542以后,大概10分钟病人上去检查是最合适的,这个时候差不多病人感觉口干了,药效开始起作用了。



图14~16:扫描MRCP前注射6-542,十二指肠蠕动得到有效抑制,胆总管下段及十二指肠乳头部显示清楚(图片来源于陕西省汉中市中心医院培训)
MRCP检查摆位跟腹部一样。扫描线圈一般采用Torso线圈(腹部多通道相控阵线圈),当然现在基本上大部分公司的磁共振都一体化了,所以线圈摆位相对不复杂。
如果不是一体化系统的线圈,是那种上下两片的相控阵线圈,需要注意一定要使上、下两片对齐。
目前飞利浦的几款磁共振,基本上都是一体化系统的,比如:Ingenia 3.0T,Ingenia DNA 3.0T,Ingenia CX 3.0T(有压缩感知的),Ingenia 1.5T,Multiva 1.5T,Prodiva 1.5T.....。老一点的飞利浦经典的Achieva系列还不是一体化系统的,所以在做腹部或者胆道系统扫描的时候,需要注意线圈的摆位(上、下两片对齐,一致)。
五.MRCP扫描
一般来讲,我们不建议临床医生单独就开一个MRCP检查单过来,因为这样影像信息不全,容易遗漏。大部分医院都是做MRCP必须至少要做一个腹部平扫。当然,中国这么大,不同地方有不同地方的扫描习惯和形成的约定俗成的检查方式。
如果单独扫描MRCP,我们除了扫描定位像,首先需要扫描一个冠状位的T2WI好作为参考。最好再推荐扫描一个T2脂肪抑制的横轴位,这样MRCP的定位就更准确了。
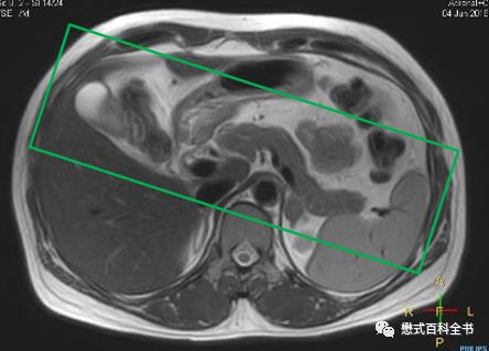
定位的时候,在冠状位和横轴位上面一起定MRCP扫描的角度。

图17:MRCP的定位
关于在横轴位上定位的角度,MRCP有几种不同的打角度方法。

图18:MRCP扫描角度一
如上图所示,第一种扫描角度,是在3D冠状位扫描的时候,在横轴位上,扫描角度平行于主胰管走形。使用该定位角度显示胰管及胆总管下段可能比较好,但是对于肝内胆管,则由于角度问题,不能最好的反映左、右肝管汇合成肝总管的情况。

图19:MRCP扫描角度二
如上图所示,第二种扫描角度,是在3D冠状位扫描的时候,在横轴位上,扫描角度平行于左、右肝内胆管走形。使用该定位角度显示左、右肝内胆管及肝总管比较好,而且大家注意,使用这种角度,配合合适的FOV和扫描层数可以躲避到腹主动脉。而使用第一种定位角度,一般是无法躲避腹主动脉的。
六. 3D MRCP vs 2D ssh MRCP
讲完如何定位以后,我们开始进入MRCP扫描序列。目前大部分医院MRCP序列都选择3D薄层冠状位扫描或者2D单激发放射状扫描。
不同医院扫描习惯不同,有的医院只扫描3D MRCP,有的医院觉得3D效果不好或者扫描时间长只扫描2D单激发的。其实,我们推荐两种都扫描,这里我给大家举个例子就清楚了。

图20:冠状位T2WI,可以发现胆囊内明显的结石
如上图所示,女性,59岁,还不用MRCP,普通冠状位T2WI就可以明显观察到胆囊内多个结石。
分别行3D MRCP和2D MRCP扫描,我们来看看效果。

图21:3D MRCP扫描
如图,3D MRCP扫描,容积采集后,然后做MIP(最大信号强度投影重建)。
3D MRCP优点是:信噪比高,可以出薄层图像,而且可以通过图像后处理MIP形成胆管树形结构图,这种图临床医生非常喜欢看,对胆管系统整体结构显示清晰。
但是,3D MRCP也有致命的缺点,如图,如果没有经验的影像医生或者临床医生只看重建的MIP图,而不看原始的薄层图像,则容易出现假阴性(由于最大信号强度投影的图像后处理算法关系,有可能把本来的充盈缺损,显示结石的给遮掩了)。本来有结石的,结果做了MIP后,无法显示充盈缺损了。另外,3D MRCP序列扫描时间也长。

图22:2D MRCP扫描
如图,2D单激发MRCP扫描。一次激发采集一层或者多层。
2D MRCP优点是:扫描速度快。一次激发采集1层或者多层,直接出图像,能够很好的显示结石的充盈缺损。
缺点是:信噪比比3D的低,一次扫描出1~几层,单层层厚厚,有部分容积效应。
所以,理论上为了保证好的诊断效果,我们推荐3D MRCP和2D ssh MRCP都要扫描。当然,3D MRCP扫描完,一定要看原始薄层图像,有经验的诊断医生不可能只看MIP图去诊断。

图23:3D MRCP,原始的薄层图像(原始图是非常重要的)
3D MRCP扫描完,一般会进行一些图像后处理,比如MIP,当然也有医院为了图像美观进行裁剪,把多余不要的部分修剪掉。当然,直接MIP生成图像也是可以的。临床医生比较喜欢看重建的MIP图,因为它的胆管树形结构显示清楚。但是,作为放射科医生,一定要注意,在诊断的时候,必须看原始的薄层图。

图24:3D MRCP MIP,裁剪后把不需要的修剪掉
2D MRCP一般是采用单激发序列,而且采用的是放射状扫描。该序列的定位如下图。

图25:2D MRCP放射状扫描定位
扫描2D MRCP的时候,有些老师希望能够加快扫描速度。一次屏气扫描几层。
该序列是单激发扫描,理论上单激发扫描序列一次激发即完成扫描。该序列一般需要屏气扫描。
但是我有技巧,仔细观察的老师会发现,该序列的屏气时间和TR是一致的。比如,我TR设置为8000ms,则该序列一次扫描屏气时间是8s;如果TR设置为6000ms,则该序列一次扫描屏气时间会6s。
其实,该序列的采集信号时间只有1200ms,大概就是1s。为什么会屏气8s或者6s呢?其实是等待一个TR时间,组织弛豫恢复。所以,如果病人呼吸平台期好,根本不需要屏气,直接在病人呼吸平台点击扫描,采集数据即可,完成采集数据只需要1.2s,其余时间并没有采集数据,病人是可以呼吸的。这也是为什么做MRCP最好放呼吸门控,监控呼吸的原因。
如果病人身体条件好,屏气时间长,完全可以一次屏气出几层图像,这样可以减少屏气次数。

图26:修改单次屏气扫描的层数
另外,2D MRCP扫描一般是厚层扫描。扫描层厚推荐在30mm~60mm之间。一般我们默认的层厚是50mm。
层厚太厚,部分容积效应明显;层厚太薄,信噪比又太低。所以,一定要权衡。

图27:胰头区囊性占位,肝内胆管、胰管扩张(Ingenia 1.5T图像)
有的时候,如果要诊断胆囊结石或者胆管结石,相对难度不大。明显的结石,经常在常规的横轴位T2WI或者冠状位T2WI上即可显示。难度大的在于胆总管下段的占位或者不确定的梗阻。

图28:横轴位显示明显的胆囊结石
七.其他技巧
MRCP扫描,图像完美与否,除了我们的准备工作,扫描定位,序列设计,还有病人的本身条件,肠道情况,呼吸情况等。
胆囊、胆管及胰管内均为含液体的高信号,而肠道内、脊髓内的液体及淋巴管也是高信号。有时候可以通过口服阴性对比剂来抑制肠道内高信号,或者服用其他东西。
华西医院的唐鹤菡老师在一次讲座中提到,可以口服枸橼酸铁铵来抑制肠道高信号,最简单的甚至可以通过服用红茶。
另外,可以增强后做MRCP,道理和增强后做臂丛一样,可以抑制肠道的高信号。
八.3D MRCP 参数
3D MRCP一般来说参数我们修改得比较少,但是大家仔细研究参数,还是有修改和调节的空间的。
在单激发2D的MRCP中,一般是采用放射状扫描,如图前面文章写的髋臼盂唇扫描一样。
这里需要注意,单激发2D MRCP扫描,TR用户可以自己设置,由于是单激发,所以TR一般比较长。设置为shortest后,系统都默认是5670ms。为了增加信噪比,可以延长TR,一般我推荐把TR设置为8000ms。前文文章说过,增加TR,其实屏气时间不增强,系统显示屏气时间8s,是因为要等待这个TR时间,采集时间一般就是1s左右。另外,单激发扫描的层厚,一般推荐40mm或者50mm:太薄了,信噪比低;太厚了,部分容积效应重。
而3D MRCP则相对来说有很多地方可以修改。
系统默认的原始扫描protocol中,激发模式采用的是multishot多激发,用户可以修改为single-shot单激发。TE一般来说都是非常长的TE,系统默认为shortest,一般能达到500ms以上。如果设置为single-shot,则可以把TE改为400ms左右,不用太长。另外FOV不用过大,有些用户FOV设置为400mm有点大了,而且周边图像不好,一般我们推荐设置为260mm左右(260mm*260mm)。回波间隔Echo spacing尽量设置为最小。
当然,如果有压缩感知,那么这个MRCP就更好做了,可以使用cs大幅度的加速。


图29、30:常规3D MRCP,扫描时间4:06min


图31、32:使用10倍压缩感知,3D MRCP,扫描时间1:09min


图33、34:使用24倍cs,3D MRCP,扫描时间18s
当然,有老师问,我们没有新机器,没有压缩感知,也想18秒内做完3D MRCP可能吗?有可能,下面就来非常干货的部分。
九.16秒的3D MRCP
16秒的3D MRCP是很多老师最喜欢的,因为确实节约了时间,增加了临床流通量,让病人获益了。
3D MRCP主要采用的是飞利浦的GRASE序列,这个序列其实就是自旋回波和梯度回波序列的结合。该序列在飞利浦中还用来做3D pCASL。
可能有些老师看了文章不知道如何修改参数,基本上参数都写给大家了,照着修改,输入到自己的机器里就可以了。当然,部分参数不会完全一致,比如Achieva和Ingenia可能在回波链大小上面就有区别。我再把主要的参数在这篇文章中写一下。
Scan mode:3D
Fast Imaging mode:GraSE
shot mode:multishot
TSE factor:10~14
turbo direction:Y
DRIVE:yes
3D non-selection:yes
EPI factor:6~10
epi direction:Y
voexl:1.1*1.1mm(推荐)
slices:50~60层
TE:shortest
TR:shortest
SENSE(并行采集):P2 S2或者P4或者P3.5
Fat suppression:SPAIR
这里修改参数需要注意,使用了GRASE后,用户可以控制TSE factor和EPI factor。这两个参数用户可以组织达到一个最优的值。最后根据扫描层数,体素大小,FOV:260mm*260mm就可以了,最终让扫描时间控制在16~19s,保证一次屏气能完成扫描。
由于采样GRASE序列,TR和TE并不是太长,所以做MRCP的时候会辅以脂肪抑制。

图35:3D MRCP GRASE,50层,扫描时间16s

图36:3D MRCP 60层,增加SENSE,扫描时间不变16s
另外还要注意,3D MRCP 16s这个GRASE序列,在3.0T上效果好。1.5T,大家也可以试着用这个参数调。但是很多老师发现,要么就是这个扫描时间降不下来,要么就是扫描出来效果不理想。因为1.5T信噪比毕竟比3.0T低,所以在1.5T上,我们不推荐这样做。
十.总结
本文总结了MRCP的原理、扫描准备、扫描序列及参数,以及注意事项,希望对各位老师有所帮助。

【版权声明】本平台属公益学习平台,转载系出于传递更多学习信息之目的,且已标明作者和出处,如不希望被传播的老师可与我们联系删除