
患者为39岁女性,2015-07-20确诊“妊娠期宫颈癌”经新辅助化疗后行宫颈癌根治术,术后病理:宫颈鳞癌,中低分化,癌组织侵达外1/2肌层,累及阴道壁并紧贴阴道壁切缘,脉管内见癌栓,左盆腔淋巴结1/12枚淋巴结见癌转移,右盆腔淋巴结1/11枚淋巴结见癌转移。术后行TP方案辅助化疗四周期及盆腔辅助放疗。
2020年2月出现咳嗽、胸闷,2020-04-15胸腹部CT示:左肺下叶多发占位,纵隔内多发肿大淋巴结。血肿瘤标志物SCC:34.11ng/ml。左肺占位穿刺活检病理提示宫颈鳞形细胞癌转移。
2020-04-23给予力扑素+奈达铂方案化疗1周期,2020-05-15、06-11、07-08、08-07予贝伐珠单抗+力扑素+奈达铂治疗4周期。3周期后复查疗效评价SD,5周期后复查胸腹部CT示:肺部病灶及纵膈淋巴结较前明显增大,血肿瘤指标SCC 218.0ng/ml,明显升高,疗效评价为PD。
2020-09-04、2020-09-25给予肺部转移灶+纵膈淋巴结低剂量放疗联合白蛋白紫杉醇化疗及PD-1抗体免疫治疗两次,每次放疗处方剂量:2Gy/1fd1,白蛋白紫杉醇300mgd1,PD-1抗体240mgd2,每三周一次。

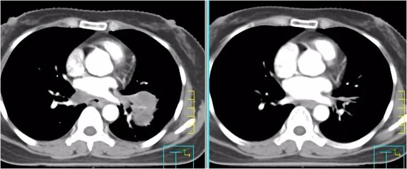
疗效评价:纵膈淋巴结及肺部转移灶均明显缩小,疗效达PR。血肿瘤指标SCC由218ng/ml下降到2.99 ng/ml。患者咳嗽、胸闷症状明显缓解。




左图为:2020-09-02治疗前 ,右图为2020-10-14两周期治疗后
讨论:
复发转移性宫颈癌药物治疗效果差,化疗有效率不到30%,化疗联合贝伐单抗靶向治疗是标准一线治疗方案,但有效率仍偏低。免疫检查点*制剂抑**给难治性肿瘤带来治疗希望,但在宫颈癌的单药有效率不到20%。
本例患者年龄轻,为恶性程度很高的妊娠期宫颈癌,经根治性手术、术后辅助放化疗后5年出现多发肺、纵膈淋巴结转移,标准化疗联合贝伐单抗靶向治疗效果差,病情持续进展,出现呼吸困难。治疗存在以下困难:1、肺转移灶及纵膈淋巴结范围大,常规放疗照射范围过大出现放射性损伤的几率较高;2、肿瘤负荷大,预计单纯免疫治疗有效率低;3、常规化疗耐药。
我们给患者设计的治疗方案特殊之处:该患者采用每周期仅2Gy低剂量放疗涵盖所有肺部及纵膈病灶,旨在招募化疗药物和免疫细胞到肿瘤病灶区域,联合纳米药物化疗药,促进肿瘤抗原释放,PD-1抗体促进免疫抗肿瘤效应,结果是成功缓解了难治性耐药肿瘤,并且未发现明显不良反应。患者治疗后咳嗽、胸闷症状明显缓解,显著改善了生活质量。
刘宝瑞教授团队对常规治疗效果不佳的难治性肿瘤,设计了一套新的治疗模式:免疫性放疗-纳米化疗药物-免疫检查点*制剂抑**,核心理念是希望启动抗肿瘤免疫的全过程(肿瘤抗原释放/免疫微环境重塑/效应细胞活性的提高),达到免疫*伤杀**肿瘤的效果。该例病人成功获得理想的治疗效果,也体现了上述理念的合理性。
撰写:朱丽晶(*京大南**学医学院附属鼓楼医院肿瘤中心副主任医师博士)
修改:刘宝瑞(*京大南**学医学院附属鼓楼医院肿瘤中心主任医师博导)