显微技术的发展史:
原始的光学显微镜是一个高倍率的放大镜。据记载,在1610年前意大利物理学家伽利略已制作过复式显微镜观察昆虫的复眼。这是一种已具目镜、物镜和镜筒等装置,并固定在支架上的显微镜。荷兰人 A·van·列文虎克一生制作了不少于247架显微镜,观察了许多细菌、原生动物和动、植物组织,是第一个用显微镜作科学观察的人。

列文虎克
1872~1873年,德国物理学家和数学家E·阿贝提出了光学显微镜的完善理论,从此,镜头的制作可按预先的科学计算进行。同时,德国化学家O·肖特成功地研制出供制作透镜的优质光学玻璃。他们和德国显微镜制作家卡尔·蔡司合作,建立了蔡司光学仪器厂,于1886年生产出具复消色差油镜的现代光学显微镜,达到了光学显微镜的分辨限度。从19世纪后期至20世纪60年代发展了许多类型的光学显微镜,如:偏光显微镜、暗视场显微镜、相差显微镜、干涉差显微镜、荧光显微镜。此外,还有许多特殊装置的显微镜,例如在细胞培养*特中**别有用的倒置显微镜。20世纪80年代后期又发展了一种共焦扫描激光显微镜,结合图象处理,可以直接观察活细胞的立体图,是光学显微镜的一大进展。

共焦扫描激光显微镜
随着显微技术的发展,使我们在生物研究的路上,看的更清晰,走的更快!显微镜就是人类的另一双眼睛,可以看到很多人类目光所不能及的地方。显微镜为我们开启了一段奇妙的视觉之旅
1.细胞分裂增殖:

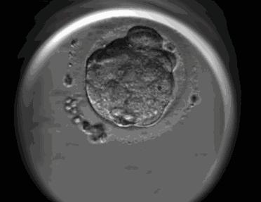
人类胚胎最早的发育过程
上图显示的是人类胚胎最早的发育过程:自母体卵巢排出的成熟卵细胞与来自阴道的精细胞结合,经过受精作用,即细胞融合方式,形成受精卵,而后受精卵(合子)发生指数分裂,后形成细胞团(胚)。

人类胚胎最早的发育
2.癌细胞分裂

癌细胞增殖过程
癌细胞,是一种变异的细胞,是产生癌症的病源。癌细胞与正常细胞不同,有无限增殖、可转化和易转移三大特点,能够无限增殖并破坏正常的细胞组织。
细胞从一次分裂到下一次分裂的细胞周期中,会阶段性表达不同种类的蛋白质。
3.细胞有丝分裂
有丝分裂(mitosis)又称为间接分裂,是指一种真核细胞分裂产生体细胞的过程。

有丝分裂周期
分裂具有周期性,即连续分裂的细胞,从一次分裂完成时开始,到下一次分裂完成时为止细胞周期,从形成子细胞开始到再一次形成子细胞结束(上图)为一个细胞周期。一个细胞周期包括两个阶段:分裂间期和分裂期。

间期:主要完成蛋白的合成和DNA的复制,为细胞分裂做准备:
分裂期:细胞核消失,DNA和核蛋白形成的丝状染色质螺旋化形成粗短的染色体,齐聚在赤道搬上,在中性粒&纺锤丝的作用下被拉向两级,而后细胞中间凹陷,逐步分裂成两个独立的子细胞。

细胞有丝分裂过程 红色:染色体 绿色丝:纺锤丝
上皮细胞通过有丝分裂可将每条染色体精确复制成两条染色单体并均等分到两个子细胞中,使子细胞含有同母细胞相同的遗传信息。

上皮细胞有丝分裂产生两个相同的细胞
4.酵母出芽

酵母出芽
这是酵母细胞特有的生殖现象,即在分裂时进行了细胞质不等的分裂,形成了一大一小两个相连的细胞。
5.免疫细胞的吞噬
免疫力是人体自身极其重要的防御机制,利用免疫细胞可以识别并消灭病毒、细菌等外来的侵入性异物,处理衰老、损伤、死亡、变性的自身细胞,以及识别和处理体内突变细胞和病毒感染细胞。

免疫细胞吞噬细菌
免疫细胞(immune cell)俗称白细胞,包括先天性淋巴细胞、各种吞噬细胞和能识别抗原、产生特异性免疫应答的淋巴细胞等,在人体自身免疫系统中担任着重要的角色。

免疫细胞吞噬细菌
6.嗜酸性粒细胞
嗜酸性粒细胞是白细胞的一种。白细胞根据形态差异可分为颗粒和无颗粒两大类。颗粒白细胞(粒细胞)中含有特殊染色颗粒,用瑞氏染料染色可分辨出三种颗粒白细胞即中性粒细胞、嗜酸性粒细胞和嗜碱性粒细胞;无颗粒白细胞包括单核细胞和淋巴细胞。

嗜酸性粒细胞
嗜酸性粒细胞具有粗大的嗜酸性颗粒,颗粒内含有过氧化物酶和酸性磷酸酶

嗜酸性粒细胞攻击秀丽隐杆线虫
机体内的“健康保卫队”白细胞——嗜酸性粒细胞在趋化作用的驱动下聚集到秀丽隐杆线虫周围并对其进行攻击的过程。
7.红细胞的“自爆”
红细胞也称红血球,是血液中数量最多的一种血细胞,同时也是脊椎动物体内通过血液运送氧气的最主要的媒介,同时还具有免疫功能。

就是这个红细胞,嘿嘿
它们通过分解葡萄糖释放能量。运输氧气,也运输一部分二氧化碳。运输二氧化碳时呈暗紫色,运输氧气时呈鲜红色。

红细胞呈两面凸中央凹的圆饼状
哺乳动物的红细胞呈两面凸中央凹的圆饼状,中央较薄。周缘较厚,故在血涂片标本上中央染色较浅、周围比较深。新鲜单个红细胞为黄绿色,大量红细胞使血液呈深红色。成熟的红细胞(哺乳动物)没有细胞核和线粒体,富含血红蛋白。依靠葡萄糖合成能量,平均直径为7微米

红细胞吸水涨破
当红细胞不幸被大量的水分子涌进细胞内,使得细胞逐渐膨胀失去原有的形态成为球形,一旦薄薄的细胞膜承受不住这种膨胀,细胞就会被活活“撑死”了。
8.跳动的心脏细胞

跳动的心脏细胞
体外培养的心肌细胞经常会出现自发搏动现象,且同一个培养皿中的心肌细胞的搏动往往还是同步的,因而把心肌细胞作为中胚层分化的指示细胞,来衡量多能干细胞分化为中胚层的潜力。
9.神经细胞与钙离子的精彩邂逅

神经细胞中CA信号传递
钙离子一直都是神经细胞最重要的“信号离子”,因而科研者通过显微注射技术将钙离子探针放进神经细胞中,使得探针和钙离子相互作用而产生荧光,可发现钙信号在神经细胞中会像水波一样迅速向外扩散。
10.大脑切片

人类脑部组织的横截面
这张动图是根据真实切片标本制成的,展示了人类脑部组织的横截面,原标本共包含了700个切片,每个切片的厚度为174um。纤薄的组织切片可帮助人们更好的了解精细的解剖结构。