近几十年来,肺癌是发病率和死亡率增长最快,对人群健康和生命威胁最大的恶性肿瘤之一。肺癌在许多国家的发病率和死亡率也呈明显上升趋势。在所有恶性肿瘤中,肺癌在男性中的发病和死亡率均占第一位,女性第二位。
肺癌的病因至今尚不完全明确,大量资料显示,长期大量吸烟与肺癌的发生有非常密切的关系。已有的研究证明:长期大量吸烟者患肺癌的概率是不吸烟者的10~20倍,开始吸烟的年龄越小,患肺癌的几率越高。另外,吸烟不仅直接影响本人的身体健康,还对周围人群的健康产生不良影响,导致被动吸烟者肺癌患病率明显增加。城市居民肺癌的发病率比农村高,这可能与城市大气污染和烟尘中含有致癌物质有关。下面我们一起来了解一下有关肺癌从分期到治疗策略的一些知识。
1. 肺癌的分期
当发现罹患癌症时,医生要确定肿瘤的大小、位置、是否有远端转移等,这就是所谓分期。根据侵犯程度,肺癌通常分为1期(I),2期(II),3期(III),4期(IV),数字越小意味着肿瘤越小并且比较局限,数字越大意味着肿瘤越大或者有远端转移。
有时分期会比较困难。如有的患者做了检查之后医生认为是1期或2期,但手术切除了肿瘤后病理检查发现实际上是3期,此时患者的治疗策略应相应有所调整。
(一) 肺癌 I 期
肺癌局限在一侧肺(左侧或右侧),肿瘤直径小于5cm(图1)没有发生肺外转移或淋巴结转移(淋巴结是绿豆样器官,参与机体免疫及抗感染系统)。

图1. 肺癌I期,肿瘤较小,没有转移到淋巴结及胸腔其他部位
(二) 肺癌 II 期
肺癌已经开始转移到肺的其他部位,如淋巴结、大的支气管、肺周围的组织等。通常直径在3-7cm(图2)。

图2. 肺癌II期,肿瘤比1期大,已经转移到临近的淋巴结或支气管
(三) 肺癌 IIIA 期
肿瘤直径大于7cm,可能已经转移到纵膈(胸部正中,两肺中间)淋巴结、肋骨、心脏、器官或食管(图3)。

图3. 肺癌IIIA期,肿瘤已经转移到胸部中央或中央的器官(如气管或食管)
(四) 肺癌 IIIB 期
肺癌已经转移到胸部另外一侧、锁骨上、锁骨下淋巴结,IIIB期也包括已经转移到纵膈(胸部正中,两肺中间)淋巴结、肋骨、心脏、器官或食管的较大的肿瘤(图4)。

图4. 肺癌IIIB期,肿瘤已转移到纵膈(胸部正中,两肺中间)淋巴结、肋骨、器官或食管的较大肿瘤
(五) IV 期
肺癌已经转移到另一侧的肺或身体其他器官(如脑、骨)或造成了并发症如恶性胸腔积液或心包积液(图5)。

图5. 肺癌IV期,肿瘤已经转移到原发病灶外,可能包括另一侧的肺、骨、脑、肝或肾上腺等器官。IV期肺
治疗方案的选择主要依据肺癌的分期。总的来说,早期肺癌(数字小的)较晚期肺癌(数字大的)治疗效果好。
2. 肺癌的分类
肺癌通常根据病理分为小细胞肺癌和非小细胞肺癌两个大类。根据起源不同,非小细胞肺癌又可细分为腺癌和鳞癌,肺腺癌大多起源于支气管粘膜上皮的粘液腺,而鳞癌多数起源于较大的支气管,鳞癌男性占多数,与吸烟密切相关。
(一) 小细胞肺癌(SCLC)
SCLC是一种侵袭性的、难以治疗的癌症类型,约占全部肺癌病例的13-15%。晚期SCLC的5年生存率依然<5%,该类患者的临床治疗选择非常有限。据估计,每年被确诊的SCLC患者超过23.4万例。目前,化疗和放疗仍然是最常见的一线和二线治疗方案。
一项Ia/Ib期研究中发现在74例高表达DLL3蛋白且既往接受过至少一种标准疗法治疗失败的复发或难治SCLC患者中,使用Rova-T单药治疗的确定总缓解率(ORR)为39%,临床受益率(病情稳定或转好)为89%。此外,Rova-T在复发/难治性患者群体中的一年生存率(OS)为32%。
Rova-T是一种实验性抗体药物偶联物(ADC),靶向癌症干细胞相关的delta样蛋白3(DLL3),该蛋白表达于超过80%的小细胞肺癌(SCLC)患者的肿瘤中,并在肿瘤细胞中广泛存在,包括癌症干细胞,但不存在于正常组织中。Rova-T通过靶向性抗体将一种细胞毒制剂直接递送至表达DLL3的癌细胞中,同时可最大程度地降低对正常细胞造成的毒性。Rova-T作为一种以预测性的生物标志物为基础的药物,将为高表达DLL3蛋白的经治SCLC群体提供一种新的治疗选择。
(二) 非小细胞肺癌 ( NSCLC )
NSCLC是肺癌中最重要的一种,有超过80%的肺癌患者属于这种类型。与SCLC相比,NSCLC是最常见的肺癌类型,通常生长较慢。NSCLC又分为鳞癌、腺癌、细支气管肺泡癌、未分化癌四种,常见为鳞癌和腺癌。这几年全球在NSCLC领域投入了大量的研究,取得了不错的成效,在靶向治疗和生物免疫治疗方面有长足进步,极大的改善了非小细胞肺癌患者的五年生存率。
3. 肺癌的治疗方法
( 一 )手术
通过手术切除肿瘤是I期II期非小细胞肺癌最理想的治疗方法。根据肿瘤的大小和位置可能会采取不同的手术方案:
1. 肺段切除术和肺楔形切除术:
都是切除部分肺叶,一般只有肿瘤小于2cm的患者才可能考虑使用这种手术,或者用于身体不能耐受肺叶切除术的患者。

图片6

图片7
2. 肺叶切除术:切除肺的一叶

图片8
3. 肺切除术(单侧):
某些患者,需要切除患侧整个肺,前提是另外一侧的肺功能正常或相对较好

图片9
注意:有些情况下,手术前患者可能分期为I期或II期,但术中可能发现癌症病灶已经转移到了纵膈淋巴结。如果发现这种情况,肺癌会被重新分期为III期。
( 二 )放疗
1.放疗是通过放射线*伤杀**癌细胞。I期II期患者有如下情况时医生可能会推荐使用放疗:
1.1 手术后,有些患者的切缘可能残留有癌组织(尤其是一些部分肺切除的)。
1.2. 患者身体不能耐受手术或拒绝手术,可以单用放疗或联合使用放化疗治疗。
1.3. 放疗过程比较简单,不痛苦,跟拍X光比较相似。治疗一般要持续几周,每周五天左右。
2. 关于放疗
随着科技的进步,目前放疗已有飞速发展,包括质子放疗及X射线放疗等。最新一代的“适形调强放疗”可以将放射线集中在肿瘤组织处,减少正常组织接受放射线的剂量,并使肿瘤组织内部所受剂量处处相等。关于“适形调强放疗”的研究表明对于无淋巴结转移、肿瘤较小的(<3-4cm)肺癌,治疗效果非常显著。
3. 放疗的副作用
在接受放疗期间可能会有副作用。一般放疗结束后副作用会消失,最常见的副作用包括:
1. 食管轻微水肿引起吞咽困难,医学术语叫放射性食管炎
2. 疲惫
3. 照射部位皮肤损伤,一般跟日光灼伤比较相似
4. 照射部位毛发脱落
( 三 )辅助化疗
术后辅助化疗有助于彻底杀灭肿瘤细胞或减慢肿瘤细胞生长。即使已经手术切除了肿瘤,身体内仍然可能有癌细胞存留,可能会复发。化疗可以帮助杀灭这些残留的癌细胞,增加癌症治愈的机会。什么病人适合化疗要经过医生的评估(通常是肿瘤复发概率相对高的),因为化疗有一定的副作用。手术后的化疗称为“辅助化疗”,一般在II期III期非小细胞肺癌患者中较多用到,有时I期患者也需要接受化疗。
化疗不是简单地每天打针,而是需要按周期来。一个周期化疗通常在21到28天,这段时间包括治疗和休息(使身体从一些副作用中稍稍恢复到较好的状态)。
大多数化疗方案包含2种药物组合(称为联合治疗)。目前已有证据推荐的效果最好的药是顺铂,但它的副作用可能相比它的同族药物卡铂稍微大一些。大部分的化疗药物需要静脉注射。一般非小细胞肺癌辅助化疗的治疗时间为3个月左右。
常见的非小细胞肺癌化疗药物副作用:
1.白细胞减低(可能会增加感染的几率),产生危及生命的感染几率大约在1%-2%
2.白细胞降低引起的发热
3.恶心呕吐
4.排便习惯改变(便秘或腹泻)
除了以上常见副作用,不同的化疗药物会有不同的副作用。不过,大多常见的副作用都是暂时性的。
( 四 )靶向治疗(个性化精准治疗)
某些非小细胞肺癌可以用特定的药物来针对性的治疗,效果比普通的治疗方法要好。在很多病例研究中,发现了分子水平的变异,这些变异可以将非小细胞肺癌分成不同“类型”。可以通过对活检的肿瘤组织进行DNA分析(分析突变基因)来确定。如果有某种变异,可以采用一些新药(靶向药物)针对性的治疗;如果没有发现变异,使用化疗效果会更好。
靶向治疗,顾名思义就是首先取出一块肿瘤组织(活检或手术切除的样本),进行突变基因分析。如果有突变的靶点,那么选用靶向药物治疗效果好于常规的放疗和化疗。
常见的突变类型有EGFR(表皮生长因子受体)突变,ALK基因异常,ROS-1突变,其他突变(如HER2、BRAF、MET、RET)。
1. EGFR (表皮生长因子受体)突变
当EGFR有特定突变时,会加速肿瘤生长和转移。厄洛替尼(特罗凯)和吉非替尼(易瑞沙)是靶向药物,抑制这些突变的肿瘤细胞。如果发现有EGFR的突变,那么一般会推荐使用上面两种靶向治疗药物,要优于传统的化疗药。厄洛替尼和吉非替尼的常见副作用是皮疹和腹泻。但是不论易瑞沙还是特罗凯都容易耐药,耐药后患者可能产生T790M突变,此时患者可以选用第三代EGRF*制剂抑**奥希替尼(AZD9291)继续进行治疗。

图片10
虽然靶向治疗疗效好、副作用相对较轻,但也有其自身的弊端,比如说易产生耐药。以EGFR敏感突变患者为例,使用一代EGFR-TKI药物就可以获得良好的疗效,但一段时间后基本都会出现耐药,这就需要二代(阿法替尼)、三代(奥希替尼,即AZD9291)药物进行及时补救。
对EGFR突变最新进展,易瑞沙联合培美曲塞可以极大延缓耐药时间。新的研究发现化疗联合靶向治疗可以延缓靶向治疗耐药的出现。一项纳入192名患者的2期随机临床试验(NCT01469000)显示,在EGFR敏感突变的非小细胞肺癌患者中,使用培美曲塞联合易瑞沙进行治疗,可以显著的延长疾病无进展期(也就是我们经常说的耐药时间)。

图片11
相关临床数据显示,单用吉非替尼组的疾病无进展期(耐药平均时间)为10.9个月,而使用培美曲塞联合易瑞沙组为15.8个月,相当于把耐药的出现延缓了50%的时间。值得一提的是,虽然培美曲塞联用易瑞沙组出现的副作用大,但其副作用是可以管理和控制的,所以这对于晚期非小细胞肺癌患者具有重大意义。
EGFR突变肺癌患者,常常在服用药物10个月左右发生耐药,这个时候,一般来说需要进行基因检测来确定下一步的治疗方案。但是是继续穿刺进行标本活检还是可以使用其他办法进行基因检测,往往让很多患者为难,一方面是担心活检带来的疼痛和不适,另一方面又担心其他检查不准确。
医学研究者利用AZD9291(奥希替尼)药物的成名研究AURA临床试验数据进行回顾性研究,结果发现不管是使用外周血检查还是使用标本穿刺检查T790M是否突变,临床效果相似(总体反应率分别为63%和62%,疾病无进展期均为9.7个月)。换句话说,发生一代EGFR-TKI药物耐药后,如想对T790M突变进行检查,首先可以利用外周血进行基因检测,如果外周血检查为阴性,再考虑将穿刺生物活检当做补充检查。这样对于患者来说,就可以在一定程度上避免穿刺活检。
1) 耐药后 产生 的 T790M 突变
根据相关临床经验,绝大多数有EGFR突变的肺癌患者在使用易瑞沙或特罗凯半年到一年后会产生耐药,据不完全统计耐药的可能性至少有63%。一旦发生耐药,大多数患者会产生T790M突变,患者必须尽快换用第三代EGFR*制剂抑**,即AZD9291(奥希替尼)。
EGFR突变发生在10%-15%白人NSCLC患者和40%的亚洲NSCLC患者中。很多病人在起初对第一代和第二代EGFR*制剂抑**厄洛替尼(特罗凯)和阿法替尼反应良好,但最终会开始抵抗这些治疗,一般在10-14个月内。很多病人是因为另一种突变,即T790M突变出现耐药性。AZD9291为这一类患者提供一种新的有效治疗方案,同时还对皮肤副作用小,而目前的第一代和第二代EGFR*制剂抑**通常都具有较大的皮肤毒性。
2 ) AZD9219 (奥希替尼)
在一项新药AZD9291研究中,199名EGFR突变晚期NSCLC病人,在经历过一种或多种标准EGFR治疗后疾病出现进展,接受不同剂量的AZD9291治疗。所有剂量水平、所有亚组人群包括脑转移人群都会观察药物疗效。
研究表明,51%患者的肿瘤缩小,在确认T790M突变的89名患者中,64%的患者对AZD9291有效,T790M阴性患者为23%,总体疾病控制率高达96%。在数据截止期,几乎所有患者仍持续有反应,最长持续8个多月。仍需要更长期的随访去确认这种治疗如何延长总生存期。
AZD9219(奥希替尼)作用原理

图片12
如图12所示AZD9291和易瑞沙、特罗凯一样,结合到肿瘤细胞表面的EGFR(表皮生长因子受体)细胞内侧关键位点,阻止其磷酸化导致肿瘤细胞无法增殖并凋亡。AZD9291可选择性靶向肿瘤细胞的EGFR,比已批准的第一代和第二代EGFR TKI药物造成更少的皮肤毒性。因为之前的药物会同时阻断肿瘤突变的EGFR和皮肤(和其他器官)中的正常EGFR,通常导致严重的皮疹或*疮痤**,而AZD9291主要作用于肿瘤的突变EGFR。
AZD9219(奥希替尼)的疗效

图片13
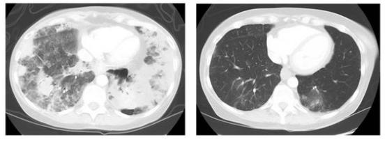
如图所示,在易瑞沙特罗凯耐药患者中,完全缓解和部分缓解占比达60%左右,效果非常显著。
左图为服用AZD9291之前的肺部CT影像,右图为服用八周AZD9291之后的CT影像,可以看到肺部的肿瘤细胞明显收缩凋亡,患者情况极大好转。

图片14

图片15
服用AZD9291的注意事项:
1. 有间质性肺炎的患者不宜使用,服药过程中需要监控呼吸症状是否恶化。
2. 心电图显示QTc延长超过正常值的患者不宜使用,服药过程中心脏的状况也需要经常监测。
3 ) 服用孟加拉仿药与服用原料药 的区别
根据国际通用的制药行业准则,作为药品生产,整个过程一定要在GMP环境中进行,避免污染和混淆。孟加拉BEACON制药厂作为孟加拉国最大的制药企业,是著名的仿制药大厂,全球销售超过40亿美金,其仿制AZD9291已经获得孟加拉药监局(DGDA)批准上市,是目前全球唯一合法生产的仿制AZD9291。整个生产过程在完全满足GMP环境要求的洁净车间中进行,质量管控非常严格。
在成品药中,不仅包含原料成分,辅料的应用也非常重要,除了赋形、充当载体、提高稳定性外,还具有增溶、助溶、缓释控制等重要功能,直接影响到药物有效成分的溶解与吸收,跟药品的安全性与有效性有关。而直接服用原料药,既无法控制药品的安全性,更无法解决溶出与吸收的问题,导致进入循环系统的药品有效成分出现偏差,容易引发用药安全问题。
而国内所谓的“原料药”,并非正规药厂在GMP环境下生产制造,而是在小作坊中私自合成的,环境、用水、文件都没有监控,容易引入一些危险杂质,比如重金属等,极易发生用药事故,导致重金属中毒或诱发感染,大大增加了用药风险。

图片16
AZD9219(奥希替尼)于2015年底正式被美国FDA批准上市,为肺癌尤其是易瑞沙特罗凯耐药后的患者提供了重获新生的机会。但正版药上市后价格一直居高不下,甚至在一些*市黑**渠道被卖出了天价,市场一直期待印度和孟加拉AZD9291仿制药的出现。2016年6月,AZD9291仿制药正式在孟加拉获批上市,为广大患者带来了希望。如何获取相关信息请咨询吉利德康医院管理咨询(北京)有限公司。
2. KRAS 突变
KRAS突变肺癌患者在整个非小细胞肺癌患者中占到15%-25%,这类患者的肿瘤细胞对其他靶向治疗不敏感,而且KRAS突变的肿瘤细胞相比较其他肿瘤细胞更容易存活,所以针对KRAS突变的肺癌治疗一直是医学界的一个难题。目前针对KRAS突变患者的治疗还是以传统放化疗为准。
一篇发表在BJC杂志的文章显示,在一项体外试验中发现利用Trametinib来阻断MED同时联合AZD2014来阻断m-TOR,可以使KRAS突变的肿瘤细胞停止生长。这也许是KRAS突变肺癌患者的一种新的治疗方法,但是目前该研究还处于体外阶段,离临床应用尚有距离。
3. ALK 基因异常
ALK基因和EML基因常常有融合突变(即两者一起突变),会导致非小细胞肺癌生长。克唑替尼是针对ALK阳性的靶向药物,抑制这一种突变的肿瘤细胞,相比传统化疗要好。所以有ALK阳性的患者通常首选用克唑替尼。常见的副作用包括恶心、呕吐、腹泻。克唑替尼通常服用一年到一年半后依然会耐药,耐药后患者可以选用第二代ALK*制剂抑**色瑞替尼或艾乐替尼继续进行治疗。
4. ROS-1 突变
克唑替尼在这一种突变中也有效果。
5. 其他突变 (如 HER2 、 BRAF 、 MET 、 RET )
目前针对其他突变的药物在积极研制中,大部分国内还未上市。针对相应的基因突变,可根据基因检测报告选用相应的靶向类药物。比如有BRAF突变患者可选用威罗非尼等。
靶向药物几乎是100%会产生耐药的(时间长短因人而异)。如果靶向药物对患者的肺癌无效或者最初有效但后来又继续发展,医生会根据患者的情况再推荐其他治疗如第二代第三代靶向药或化疗或免疫检查点疗法。
注意: 不是所有人都适合用靶向药物,盲目使用可能 会导致 生命缩短!
( 五 ) 化疗
化疗可以减慢或阻止肿瘤细胞生长。如果您进行化疗,不需要每天用药,而是按照周期来。一个周期通常为21天,包括治疗和休息(让身体有时间慢慢缓解化疗可能的副作用)。大部分的化疗方案包含2种药物(联合方案)。最常用的方案包括顺铂或卡铂,加另外一种或几种药物(培美曲塞、紫杉醇、吉西他滨、长春瑞滨)。
大多数的药物是通过静脉注射,每三周注射一次。有些情况下,医生会推荐联合使用贝伐单抗(血管内皮生长因子*制剂抑**)。一般医生会推荐进行4到6个周期的化疗,依据化疗的反应和效果。如果化疗效果很好,医生可能会在化疗结束后,再用单药一段时间。如患者初始化疗效果不好,或者有效果但癌症又开始继续进展,医生可能会建议其他治疗方法(免疫疗法、其他化疗组合、靶向药物、放疗等等)。
1. 副作用
严重的副作用包括暂时性的全血细胞下降,这可能会增加感染的风险。血细胞计数下降通常发生在使用化疗药物的7-14天后。如果在化疗周期中间出现了寒战、高热(38度),请及时联系医生就诊。
其他常见副作用有:
1.暂时性的脱毛发
2.手指脚趾麻木(神经损害)
3.恶心呕吐
4.皮疹
注意:有些患者发现癌症时身体情况已经较差,无法接受化疗,包括一些老年人或一些疾病较严重的患者。在这些情况下,可能会用单药的化疗方案或使用靶向药物。单药化疗的副作用相对联合化疗的副作用较小。
(六) 免疫疗法
人体的免疫系统对肿瘤有一定的对抗能力,免疫疗法是帮助人体的免疫系统来准确识别肿瘤细胞。免疫疗法目前主要指PD-1免疫检查点疗法,对一些化疗效果不好的晚期非小细胞肺癌患者可以缩小肿瘤、改善生存期。FDA已经批准的PD-1*制剂抑**主要有Opdivo和Keytruda。短短两年时间,PD-1*制剂抑**治疗实体肿瘤已经成为抗癌领域最重要的手段之一,FDA相继批准PD-1*制剂抑**用于黑色素瘤、非小细胞肺癌、肾癌、霍奇金淋巴瘤、头颈鳞癌、膀胱癌,接下来很可能迅速获批的还有肝癌、胆管癌、胃癌等等。免疫疗法已经成为继手术、化疗、放疗后的第四种最有效的手段。
免疫疗法的副作用与它对抗肿瘤有关,药物也会激活人体免疫系统对抗人体正常组织。包括皮肤病、结肠炎、肺炎、内分泌系统疾病如甲状腺疾病。

图片17
1. PD-1 治疗相关肺炎更容易发生在非小细胞肺癌患者中
PD-1(Opdivo或Keyturda)治疗相关性肺炎虽然比较罕见,但是一旦出现,临床症状比较严重甚至会危及生命。由JAMA Onco发表的一篇文章显示,在黑色素瘤、肾细胞癌以及非小细胞肺癌患者中,非小细胞肺癌患者更容易出现PD-1治疗相关的肺炎。
在一项研究中,共回顾了21项PD-1相关的肿瘤试验,包括12个黑色素瘤试验、5个非小细胞肺癌试验以及3个肾细胞癌试验,总共涉及4496位患者。结果发现PD-1单药治疗引起的肺炎发生率约为2.7%,但是将非小细胞肺癌与黑色素瘤患者人群对比发现,非小细胞肺癌患者发生PD-1治疗相关肺炎的风险远远高于黑色素瘤患者。

图片18
由此可见,非小细胞肺癌的患者接受PD-1治疗时,更需注意肺炎的发生;一旦出现临床症状应立即引起重视。
2. PD-1 作用原理
PD-1(programmed death 1)程序性死亡受体1,是一种重要的免疫抑制分子。PD-1主要在激活的T细胞和B细胞中表达,功能是抑制细胞的激活。肿瘤微环境会诱导浸润的T细胞高表达PD-1分子,肿瘤细胞会高表达PD-1的配体PD-L1和PD-L2,导致肿瘤微环境中PD-1通路持续激活,T细胞功能被抑制,无法*伤杀**肿瘤细胞。PD-1单克隆抗体可以阻断这一通路,恢复T细胞的功能,使这些细胞能够继续*伤杀**肿瘤细胞。
下图简单描述了PD-1抗体作用机制。
