来源:中国矫形外科杂志第29卷第16期
作者:魏钰,运行,李众利,刘玉杰,王志刚,张强,李春宝,刘洋,魏民
医院:中国人民解放军总医院骨科
摘要
目的:探讨前交叉韧带(anterior cruciate ligament, ACL)重建失败后翻修进行翻修手术的主要原因。
方法:回顾性2009年3月—2020年3月解放军总医院骨科收治的因重建失败而行翻修术的36例患者的临床资料,其中男31例,女5例,年龄(29.39±6.63)岁;31例于外院行初次ACL重建术,5例于本院初次重建。结合患者临床病例及影像学资料研究分析ACL重建失败的原因。
结果:36例翻修患者中,33例初次重建术移植物使用自体肌腱,2例使用同种异体肌腱,1例使用LARS人工韧带。在患者初次ACL重建失败的因素中,19例为创伤导致的翻修;10例为单纯的技术原因;3例因生物学原因而翻修;7例为组合因素,其中6例同时存在创伤因素及技术因素,1例为生物学因素合并技术因素;另有3例为其他原因。翻修手术中,23例使用自体肌腱,10例使用LARS人工韧带,2例使用同种异体肌腱,1例患者因自体肌腱过细(≤6mm)而使用自体肌腱加同种异体肌腱进行翻修。
结论:导致前交叉韧带重建手术失败的因素包括骨隧道定位错误、移植物选择及合并损伤等,但主要与手术技术有关。
关键词:关节镜,前交叉韧带,重建,翻修
前交叉韧带(anterior cruciate ligament, ACL)损伤是常见的膝关节运动损伤。在美国每年约开展20万例ACL重建手术,其中0.7%~10%的患者因为术后恢复不佳、创伤或关节功能受限等原因而不得不接受ACL翻修手术(约10000~20000台/年)[1~4]。随着我国ACL重建手术的广泛开展和手术例数的增多,需要进行翻修的病例也在逐年增加[5]。了解重建手术失败的主要原因有助于预防和减少因初次手术缺陷而进行的翻修手术,同时对提高翻修手术疗效、规避手术风险也至关重要。本研究的主要目的是利用回顾性分析方法研究总结关节镜下ACL重建手术失败的主要因素。
资料与方法
1.1 纳入与排除标准
纳入标准:(1)ACL翻修重建术者;(2)时间段为2009年3月—2020年3月。
排除标准:(1)初次ACL重建者;(2)其他膝关节翻修手术者。
1.2 一般资料
解放军总医院骨科运动医学中心2009年3月—2020年3月所有因ACL重建失败而进行翻修手术的患者共36例,其中男31例(86.11%),女5例(13.89%),年龄(29.39±6.63)岁。第一次ACL重建至出现临床症状时间为(4.58±3.67)年,翻修手术后随访时间(3.35±2.86)年。共有31例于外院行初次ACL重建术,5例于本院初次重建。所有翻修术前资料为患者住院期间获取,并通过门诊随访及电话联系以确定患者翻修手术后至今的情况。本研究经过解放军总医院伦理委员会审批,所有患者均知情同意。
1.3 数据采集
回顾性分析解放军总医院骨科运动医学中心2009年3月—2020年3月所有ACL翻修手术患者的临床资料,每例患者资料包含以下3部分内容:病历、标准化影像学资料及本次翻修手术的全部关节镜照片与视频。每份病历包含以下数据:患者年龄、性别、BMI、初次ACL重建时间、移植物类型、是否合并的其他韧带损伤、是否存在初次半月板损伤及处理方式及本次损伤类型。由3名具有丰富经验的运动医学医师通过标准化影像学资料及本次术中探查情况对患者初次ACL重建手术技术进行评价。通过本次翻修手术资料获得患者本次移植物类型、本次半月板损伤情况及处理方式、隧道情况及固定方式等本次手术信息。根据患者主诉,将患者本次就诊原因分为外伤(再次外伤)、无明显诱因(初次重建术后恢复不佳)及术后感染三类;结合患者病历资料、前述影像学资料及术中探查情况,将患者ACL重建手术失败原因分层为创伤因素、技术因素、生物学因素、其他因素及组合因素等5种情况[6]。
1.4 统计学方法
采用SPSS24.0.(IBM, Chicago, US)软件对资料行描述性统计分析。使用Kolmogorov-Smirnov检验对数据的正态分布进行检验,正态分布数据以均数±标准差表示,非正态分布数据以中位数(四分位数,interquar-tile range,IQR)表示。
结果
2.1 初次手术情况
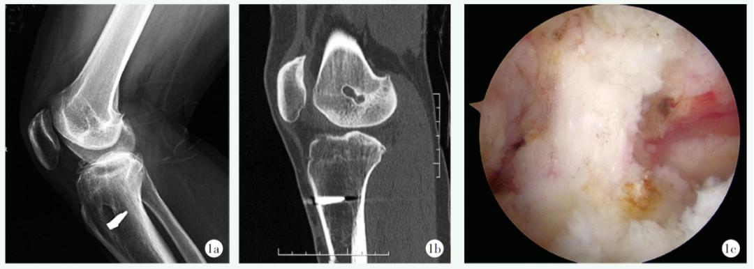
36例患者中,34例(94.44%)为初次进行翻修手术,1例(2.78%)为第二次进行翻修手术,1例(2.78%)为第三次进行翻修手术。33例(91.67%)患者初次重建术移植物使用了自体肌腱,2例(5.56%)使用了同种异体肌腱,1例(2.78%)使用了LARS人工韧带。5例患者合并其他韧带损伤,其中4例(11.11%)为内侧副韧带损伤,1例(2.78%)合并后交叉韧带损伤。共有23例患者同时存在半月板损伤,其中8例(22.22%)合并外侧半月板损伤并进行了修整;13例(36.11%)存在内侧半月板损伤,其中2例进行了内侧半月板切除;2例(5.67%)患者为双侧半月板损伤;5例患者既往病历未明确记录是否对半月板进行了处理。通过对标准化影像学资料进行评估,共有14例(38.89%)患者股骨隧道位置不佳(偏前)(图1a~1c),1例(2.78%)患者股骨、胫骨隧道位置均不佳,1例(2.78%)胫骨隧道位置不佳,17例(47.22%)隧道位置正常,3例(8.33%)患者因间隔时间过长或存在术后感染而无法明确确定骨道位置。对上述资料进行整合归纳,在患者初次ACL重建失败的因素中,19例(52.78%)为创伤导致的翻修;10例(27.78%)为单纯的技术原因;3例(8.33%)患者因生物学原因而翻修;7例为组合因素,其中6例(16.67%)同时存在创伤因素及技术因素,1例(2.78%)为生物学因素合并技术因素;另有3例(8.33%)为其他原因,尚不能根据目前获得的资料对其进行明确分类。
2.2 翻修手术情况
共有20例患者翻修时就诊主诉为外伤(再次外伤),12例主诉为无明显诱因(重建术后恢复不佳),4例就诊时主诉为术后感染。根据骨隧道位置是否正确进行再次分层后发现,17例隧道正常翻修患者的外伤主诉占比最高,共有12例(70.59%),无明显诱因者有3例(17.65%),术后感染患者2例(11.76%);16例骨隧道位置欠佳患者中,6例(37.50%)患者为外伤主诉,无明显诱因者有9例(56.25%),术后感染者1例(6.25%)。所有病例均在关节镜下进行ACL翻修手术及处理合并损伤。镜下见所有重建的ACL均发生了断裂、吸收或松弛失效(图1d~1f)。36例翻修手术中,23例使用了自体肌腱,10例使用了LARS人工韧带,2例使用了同种异体肌腱,1例因自体肌腱过细(≤6mm)而使用了自体肌腱加同种异体肌腱进行了翻修。


图1 患者,男,34岁,于外院初次重建术后3年内逐渐出现活动后绞索等症状,在本次翻修手术中使用了自体肌腱,并选择了全新的股骨及胫骨隧道,ACL翻修的术前影像与镜下所见1a, 1b:右膝侧位X线片及CT矢状位显示初次重建术后股骨隧道位置偏前1c:镜下见LARS人工韧带松弛失效,LARS人工韧带表面覆盖大量滑膜组织1d:镜下见同种异体肌腱松弛失效1e:镜下见初次重建时自体肌腱断裂,断端挛缩并吸收为球状
在翻修隧道的选择上,25例选择了全新的股骨隧道,8例使用了相同的股骨隧道,3例股骨隧道存在交叉或混合,股骨隧道直径中位数为7.5(inter⁃quartile range, IQR 7-8)mm;对于胫骨隧道而言,18例选择了全新的隧道,17例使用了相同的隧道,1例隧道存在交叉或混合,胫骨隧道直径中位数为7.5(IQR 7-8)mm。本组翻修手术的股骨固定方式包括界面钉、横穿钉及Endobutton悬吊钢板三种,其中横穿钉(Rigidfix)18例、界面钉10例、Endobutton8例。下骨道固定方式有15例患者采用了界面钉,8例使用了横穿钉,1例使用了Intrafix,12例使用了加强固定方式,包括界面钉与门型钉、界面钉与界面钉、胫骨固定翼与BICEPTOR等固定方式组合。
4例合并内侧副韧带损伤者在本次翻修手术前经查体和影像学辅助诊断为内侧副韧带重建失效,均再次接受了内侧副韧带缝合或重建手术。本次翻修手术中还探查到共有34例患者合并半月板损伤,18例患者存在外侧半月板损伤并进行了修整,9例患者存在双侧半月板损伤,7例患者存在内侧半月板损伤,仅有2例患者半月板无损伤。
讨论
近年,前交叉韧带重建手术病例数逐年增长,尽管不少长期随访表明ACL重建手术的成功率及患者满意率均较高[7-9],但整体疾病管理对于骨科医师仍然具有一定挑战。总体而言,ACL重建手术失败的原因较为复杂并可能同时受到多种因素的影响,本研究就以下3个方面进行讨论。
手术技术引起的骨隧道位置不良是导致ACL重建失败的最主要原因[7]。股骨隧道的正确定位仍然是降低ACL重建失败率亟待解决的技术问题,目前ACL的重建目标已由早期的等长重建转为解剖重建[11]。经胫骨隧道技术是最常采用的方法,术者可以将两种隧道的定位一次完成,且较股骨由外向内定位方法术后疼痛更小、切口更少。但不少研究指出,经胫骨隧道定位股骨止点与解剖止点吻合较为困难,对胫骨隧道的位置及角度要求更为精确[8,12,13]。同时,在解剖位进行胫骨端止点定位也是避免移植物在髁间窝撞击及后交叉韧带撞击的主要因素[14,15]。尽管一项北美多中心骨科医师评分一致性研究指出,骨科医师对于股骨隧道的理想位置及大小评分总体一致性为77%(PABAK:0.55),远高于对胫骨隧道的一致性评价(58%,PABAK:0.17)[8],但ACL重建骨隧道位置的最佳选择对于骨科医师仍然具有一定挑战。
本研究发现,骨隧道位置正常的ACL重建患者至翻修时主诉以外伤为主(70.58%),无明显诱因(重建术后恢复不佳)仅有3例(17.64%)。骨隧道位置欠佳患者主诉以无明显诱因为主(56.25%),外伤主诉有6例(37.50%),仅为骨道位置正常翻修患者的一半。既往有研究指出,骨隧道位置不佳重建患者术后IKDC及KOOS得分均较低[16],这也能从侧面解释本研究的结果:骨隧道位置正常患者重建术后活动度及运动等级均较高,但这也导致了这些患者更容易受到外伤;而骨隧道位置不良的患者在术后往往因恢复不佳,而不得不被迫降低了运动等级。
目前重建ACL的移植物材料主要有自体肌腱、同种异体肌腱、人工韧带等三种。自体肌腱主要来源于骨-髌腱-骨(BPTB)及腘绳肌腱,BPTB过去曾被广泛使用并认为是ACL重建的“金标准”,但与取材位置及取材技术相关的并发症如膝前疼痛、髌骨骨折等发生率较高,目前已基本被腘绳肌腱取代。尽管近期一项长达12年的队列研究提示使用腘绳肌腱重建ACL后再次断裂的可能性更高[17],但大部分研究仍然认为两者之间没有显著差异[18,19]。
同种异体肌腱近年来得到了越来越多的应用,但目前国内尚无针对同种异体肌腱重建ACL翻修发生率的研究。最近的研究表明初次ACL重建时自体移植和同种异体移植的失败率差异不大(分别约为6.5%~7.7%和6.8%~8.4%)[20,21],但在进行ACL翻修时,自体肌腱翻修患者2年内再次断裂的可能性较同种异体肌腱患者降低了2.78倍[6]。
目前国内ACL重建使用的人工韧带主要以LARS韧带为主,其具有模仿人体韧带的解剖结构和较强的抗疲劳强度,短期可以获得较好的临床效果。因为效费比等原因,目前国内初次ACL重建使用LARS韧带的患者仍然较少。一项LARS韧带重建失效的组织学研究指出,LARS残留物周围存在典型的异物反应,纤维血管向内生长的迹象较差,周围滑膜组织表现为慢性炎症[22]。对使用LARS韧带重建ACL的患者进行中-长期队列研究表明,8.5%~33.3%的患者出现了断裂或失效[23]。基于以上结果,需要谨慎选择LARS作为初次ACL重建的移植物。
ACL损伤常见合并半月板、内侧副韧带等其他组织损伤,ACL重建时的合并损伤对膝关节稳定性、临床效果及骨关节炎的发展至关重要。内侧半月板在ACL缺损状态下起着限制胫骨前移的核心作用,其病变是年轻人多次ACL断裂的显著相关因素,缺损过多可能导致重建手术的失败率上升[24]。本次手术翻修探查时半月板损伤增长到了34例(94.44%)较初次重建明显升高,这一数据可以解释为ACL重建失败患者半月板损伤正在持续加重。既往研究也指出,半月板损伤是引起ACL重建或翻修后IKDC及KOOS评分降低的独立危险因素[16,25]。提示行交叉韧带重建时应对半月板予以更仔细的探查以避免遗漏。
内侧副韧带损伤(MCL)是膝关节最常见的韧带损伤,也是ACL最常见的合并韧带损伤[26]。尽管70%以上的MCL损伤能够在良好的非手术治疗下痊愈,但大量研究结果仍然推荐在ACL重建同时治疗III级MCL损伤[27~29]。对于存在ACL-MCL损伤的患者,同时重建能够显著改善膝关节内侧、矢状面及旋转稳定性,使用非手术治疗合并的MCL损伤可能会增加ACL翻修的风险[29]。
前交叉韧带重建手术失败因素涉及手术时合并损伤的处理、手术技术、重建方法的选择、移植物的选择与固定等多个方面,其中尤其应重视手术技术中对骨隧道位置的选择。正确处理上述影响因素对关节镜下前交叉韧带重建的成功率和治疗效果至关重要。
参考文献
[1] Wright R, Spindler K, Huston L, et al. Revision ACLreconstruc⁃tion outcomes:MOON cohort [J] . J Knee Surg, 2011, 24 (4) : 289-294.
[2] Roos H, Ornell M, Gärdsell P, et al. Soccer afteranterior cruciateligament injury-an incompatible combination? A nationalsurveyof incidence and risk factors and a 7-year follow-up of 310 play⁃ers [J] . ActaOrthop Scand, 1995, 66 (2) : 107-112.
[3] Kaeding CC, Léger-St-Jean B, Magnussen RA. Epidemiologyanddiagnosis of anterior cruciate ligament injuries [J] . Clin SportsMed, 2017,36 (1) : 1-8.
[4] Agel J, Rockwood T, Klossner D. Collegiate ACL injuryratesacross 15 sports: national collegiate athletic association injury sur⁃1465中国矫形外科杂志Orthopedic Journal ofChinaVol.29,No.16Aug.2021第29 卷第16 期2 0 2 1 年8 月veillance system data update (2004- 2005Through 2012- 2013)[J] . Clin J Sport Med, 2016, 26 (6) : 518-523.
[5] 刘凯华, 张文辉, 苏守文, 等. 前交叉韧带重建术后再损伤危险因素的meta 分析[J] . 中国伤残医学, 2019, 27 (17) :89-99.
[6] MARS Group. Effect of graft choice on the outcome ofrevision an⁃terior cruciateligament reconstruction in the Multicenter ACL Re⁃vision Study (MARS) Cohort [J] . Am JSports Med, 2014, 42 (10) :2301-2310.
[7] Yoon KH, Kim JS, Park SY, et al. One-stage revisionanterior cru⁃ciate ligamentreconstruction: results according to preoperativebone tunnel diameter: five tofifteen-year follow-up [J] . J BoneJoint Surg Am, 2018, 100 (12) : 993-1000.
[8] Matava MJ, Arciero RA, Baumgarten KM, et al. Multirateragree⁃ment of the causesof anterior cruciate ligament reconstruction fail⁃ure: a radiographic and video analysis ofthe MARS cohort [J] . AmJ Sports Med, 2015, 43 (2) : 310-319.
[9] Achtnich A, Ranuccio F, Willinger L, et al. Highincidence of par⁃tially anatomic tunnel placement in primary single-bundleACL re⁃construction [J] .Knee Surg Sports Traumatol Arthrosc, 2018, 26(2) : 462-467.
[10] Tejwani SG, Prentice HA, Wyatt RWB Jr, et al. Femoraltunneldrilling method: risk of reoperation and revision after anterior cru⁃ciate ligamentreconstruction [J] . Am J Sports Med, 2018, 46 (14) :3378-3384.
[11] Bhattacharyya R, Ker A, Fogg Q, et al. Lateralintercondylar ridge:is it a reliable landmark for femoral ACL insertion: ananatomicalstudy [J] . Int J Surg, 2018, 50 (1) : 55-59.
[12] Osaki K, Okazaki K, Tashiro Y, et al. Influences of kneeflexion an⁃gle and portalposition on the location of femoral tunnel outlet inanterior cruciate ligamentreconstruction with anteromedial portaltechnique [J] . Knee Surg SportsTraumatol Arthrosc, 2015, 23 (3) :777-784.
[13] Schillhammer CK, Reid JB 3rd, Rister J, et al. Arthroscopy up todate:anterior cruciate ligament anatomy [J] . Arthroscopy, 2016,32 (1) : 209-212.
[14] Forsythe B, Lansdown D, Zuke WA, et al. Dynamic3-dimensionalmapping of isometric anterior cruciate ligament attachment sitesonthe tibia and femur: is anatomic also isometric [J] . Arthroscopy,2018, 34(8) : 2466-2475.
[15] Giron F, Cuomo P, Aglietti P, et al. Femoral attachmentof the ante⁃rior cruciateligament [J] . Knee Surg Sports Traumatol Arthrosc,2006, 14 (3) : 250-256.
[16] MOON Knee Group, Spindler KP, Huston LJ, et al. Ten-yearout⁃comes and riskfactors after anterior cruciate ligament reconstruc⁃tion: a MOON longitudinal prospectivecohort study [J] . Am JSports Med, 2018, 46 (4) : 815-825.
[17] Rousseau R, Labruyere C, Kajetanek C, et al.Complications afteranterior cruciate ligament reconstruction and their relationto thetype of graft: a prospective study of 958 cases [J] . Am J SportsMed,2019, 47 (11) : 2543-2549.
[18] Heijne A, Hagströmer M, Werner S. A two- and five-yearfollowupof clinical outcome after ACL reconstruction using BPTB orhamstringtendon grafts: a prospective intervention outcome study[J] . Knee Surg SportsTraumatol Arthrosc, 2015, 23 (3) : 799-807.
[19] Yang XG, Wang F, He X, et al. Network meta-analysis ofknee out⁃comes followinganterior cruciate ligament reconstruction with vari⁃ous types of tendon grafts [J] . IntOrthop, 2020, 44 (2) : 365-380.
[20] Tian S, Wang Y, Wang B, et al. Anatomic double-bundleanteriorcruciate ligament reconstruction with a hamstring tendon autograftandfresh- frozen allograft: a prospective, randomized, and con⁃trolled study [J]. Arthroscopy, 2016, 32 (12) : 2521-2531.[21] Sun K, Zhang J,Wang Y, et al. Arthroscopic reconstruction of theanterior cruciate ligamentwith hamstring tendon autograft andfresh-frozen allograft: a prospective,randomized controlled study[J] . Am J Sports Med, 2011, 39 (7) : 1430-1438.
[22] Di Benedetto P, Giardini P, Beltrame A, et al.Histological analysisof ACL reconstruction failures due to synthetic-ACL (LARS)rup⁃tures [J] . ActaBiomed, 2020, 91 (4) : 136-145.
[23] Tulloch SJ, Devitt BM, Porter T, et al. Primary ACLreconstructionusing the LARS device is associated with a high failure rate atmin⁃imum of 6-yearfollow-up [J] . Knee Surg Sports Traumatol Ar⁃throsc, 2019, 27 (11) : 3626-3632.
[24] Wyatt RW, Inacio MC, Liddle KD, et al. Factorsassociated withmeniscus repair in patients undergoing anterior cruciateligamentreconstruction [J] . Am J Sports Med, 2013, 41 (12) : 2766-2771.
[25] Ralles S, Agel J, Obermeier M, et al. Incidence ofsecondary intraarticularinjuries with time to anterior cruciate ligamentreconstruc⁃tion [J] . Am JSports Med, 2015, 43 (6) : 1373-1379.
[26] Dale KM, Bailey JR, Moorman CT 3rd. Surgical management andtreatment of theanterior cruciate ligament/medial collateral liga⁃ment injured knee [J] . Clin Sports Med,2017, 36 (1) : 87-103.
[27] Lind M, Jacobsen K, Nielsen T. Medial collateralligament (MCL)reconstruction results in improved medial stability: results fromtheDanish knee ligament reconstruction registry (DKRR) [J] . KneeSurg Sports TraumatolArthrosc, 2020, 28 (3) : 881-887.
[28] Zhang H, Sun Y, Han X, et al. Simultaneousreconstruction of theanterior cruciate ligament and medial collateral ligamentin pa⁃tients withchronic ACL-MCL lesions: a minimum 2-year followupstudy [J] . Am J Sports Med,2014, 42 (7) : 1675-1681.
[29] Svantesson E, Hamrin Senorski E, Alentorn-Geli E, et al. In⁃creased risk of ACL revision with non-surgical treatmentof a con⁃comitant medialcollateral ligament injury: a study on 19,457 pa⁃tients from the Swedish National KneeLigament Registry[J] . Knee Surg Sports Traumatol Arthrosc, 2019, 27 (8) :2450-2459.
声明:此文内容及图片由供稿单位提供,仅供学习交流,不代表骨科在线观点。