
我们收治了一例宫颈腺癌病人,在外院治疗近两年,已经耐药,在我学科化疗亦未能获益,改行免疫整合治疗,初期疗效也不理想,但是在PD-1抗体等免疫治疗基础上加用红色诺卡氏菌细胞壁骨架胸腔和皮下多次注射后,肿瘤终于获得缓解。
【外院诊疗】
患者女,35岁。诊断:宫颈腺癌术后复发转移(胸膜、肺)。
2018-09宫颈赘生物活检病理:颈管粘膜示鳞状上皮下及宫颈固有腺体下方见中-低分化腺癌,伴灶性肿瘤性坏死。
2018-09行“紫杉醇脂质体+奈达铂”静脉化疗2周期。
2018-10行“全子宫切除术+淋巴结清扫术”。病理:宫颈中-低分化腺癌,肿物5*4*3cm,浸润全子宫颈管壁切面,右侧盆腔淋巴结(1/5)枚见癌转移。
2018-11开始行“紫杉醇脂质体+奈达铂”静脉化疗4周期。
2019-02行放疗。
2019-11发现阴道前壁可触及1cm左右质硬肿物,行“阴道病损切除术+阴道成形术”
2019-11行“紫杉醇脂质体+卡铂”静脉化疗2周期。
2020-05查腹部CT示右下肺膈肌上方小结节较前增大。
【我科治疗】
2020-05查胸部CT示:两肺胸膜多发结节。
2020-06行“伊立替康+替吉奥”化疗2周期。两肺病灶部分略缩小,部分略增大,部分无变化,胸膜有新增小结节。
2020-08行“新抗原纳米疫苗+PD-1抗体”治疗,完成新抗原纳米疫苗皮下注射,PD-1抗体治疗3次,没能控制疾病进展。CT提示右侧胸腔大量胸腔积液,两肺胸膜多发结节较前明显增多。
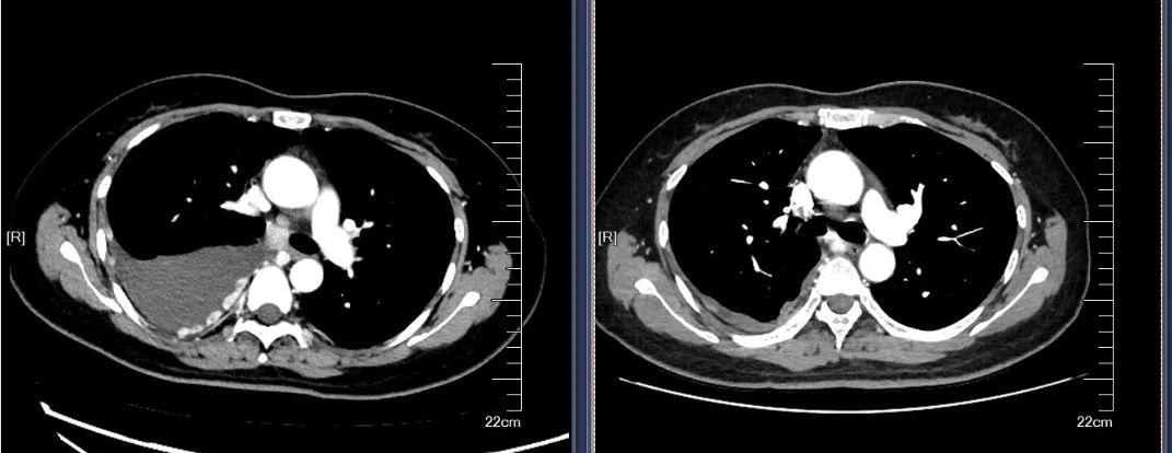
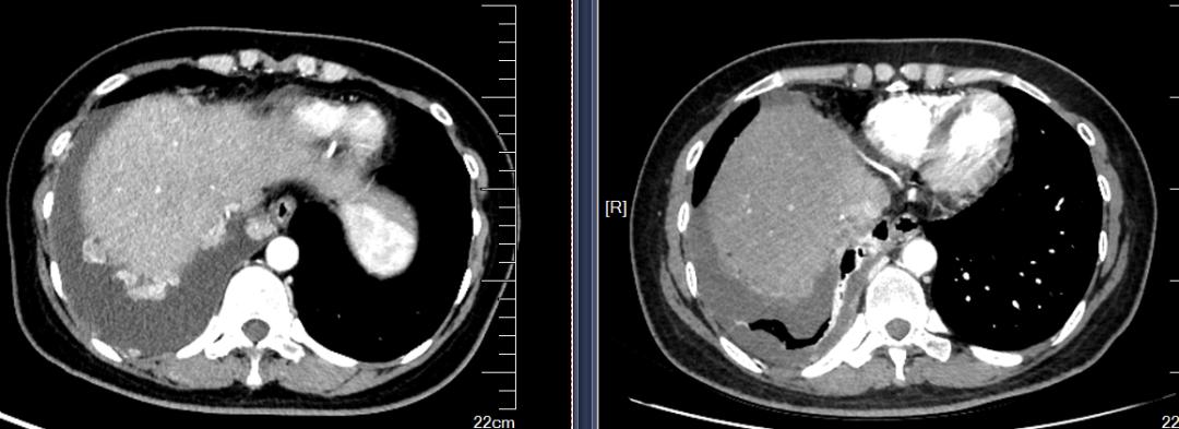
2020-10开始行PD-1抗体联合抗血管生成治疗3周期,顺铂60mg胸灌,继予红色诺卡氏菌细胞壁骨架600ug胸腔灌注2次。予红色诺卡氏菌细胞壁骨架200μg每周一次皮下注射6次。2020-11查CT胸水较前大幅减少,肿瘤标志物较前下降,原有咳嗽、胸痛症状减轻。


左图(2020-10-09), 右图(2020-12-22)

CA125下降

CA153下降
【分析】:
宫颈腺癌的治疗难度较鳞癌大,通常放疗敏感性较差,化疗也易耐药。该患者肿瘤发展迅速,化疗已经用到二线仍然无法控制肿瘤生长。采用PD-1抗体、治疗性疫苗、抗血管生成药物以及红色诺卡氏菌细胞壁骨架多次治疗,终于艰难地将肿瘤生长的势头压了下去。此例的一个体会是后期发挥作用的应该是以红色诺卡氏菌细胞壁骨架反复治疗对身体免疫系统的激活为主要机理。
近年来国外有一种新的免疫治疗模式正在悄然兴起,即通过STING激动剂或TLR激动剂来激活病人的非特异性免疫系统,遏制肿瘤的生长。最近几年在临床广泛应用的PD-1抗体本身也是靶点明确的非肿瘤特异性的泛免疫增强剂。由此可以理性推断,细菌类提取物作为一种非肿瘤特异性免疫增强剂,在免疫治疗备受瞩目的今天,通过免疫整合治疗模式,应该可以发挥其应有的作用。
供稿:朱丽晶(*京大南**学医学院鼓楼医院肿瘤中心 主任医师 南大博士)
修撰:刘宝瑞(*京大南**学医学院鼓楼医院肿瘤中心 主任医师 南大博导)