维生素是猫猫维持身体健康所必需的一类有机化合物,在猫猫生长、发育、代谢过程中发挥着重要作用。
大多数维生素猫猫自身都是不能合成的,需要从食物中摄取。当猫猫摄入的维生素不足、机体出现维生素缺乏时,身体就会出现各种异常,这些都是各位铲屎官都知道的道理。
但是你是否清楚, 有些维生素补充过量,也会引起猫猫中毒出现异常表现?
今天我们邀请到的是 河北动物医院猫病专科医生王思喜
由他来为大家分享各种维生素与猫咪健康之间的关系

哪些维生素摄入过量可能蓄积引发中毒?
脂溶性维生素,能在体内蓄积,可能因过量摄入而导致维生素中毒。而水溶性维生素,摄入过量的部分一般会经尿液排出体外。

维生素D

作用:促进小肠对钙、磷的吸收,提高血液的钙磷浓度,骨骼钙化, 促进骨钙进入血液,维持血钙水平。
缺乏:幼龄宠物: “佝偻病”,运动困难、反应迟钝、成长迟缓。成年宠物: “软骨症”,骨干脆弱、骨质疏松、容易骨折。猫可以在日光下合成维生素 D,少有缺乏现象。

维生素D过量的危害
维生素D中毒是指毒性水平的维生素D的蓄积,几乎总是由于摄入含有维生素D的灭鼠剂或猫主过量补充这种维生素(高于60000Iu/kg)所引起,这种疾病也称为胆钙化醇中毒。中毒可由于从胃肠道的吸收、骨再吸收及肾小管对维生素D的吸收增加而引起维生素D病理性增加,增加的结果是引起高钙血症及软组织营养不良性钙化。典型的临床症状包括多尿、多饮、呕吐、腹泻、厌食及沉郁。肾脏触诊时有痛感,可发生胃肠道及肺脏出血。临床症状出现在摄入后的6-12小时之内。
海鱼肝脏中含有大量胆钙化醇,畜禽肝脏、蛋、奶中也同样含有。

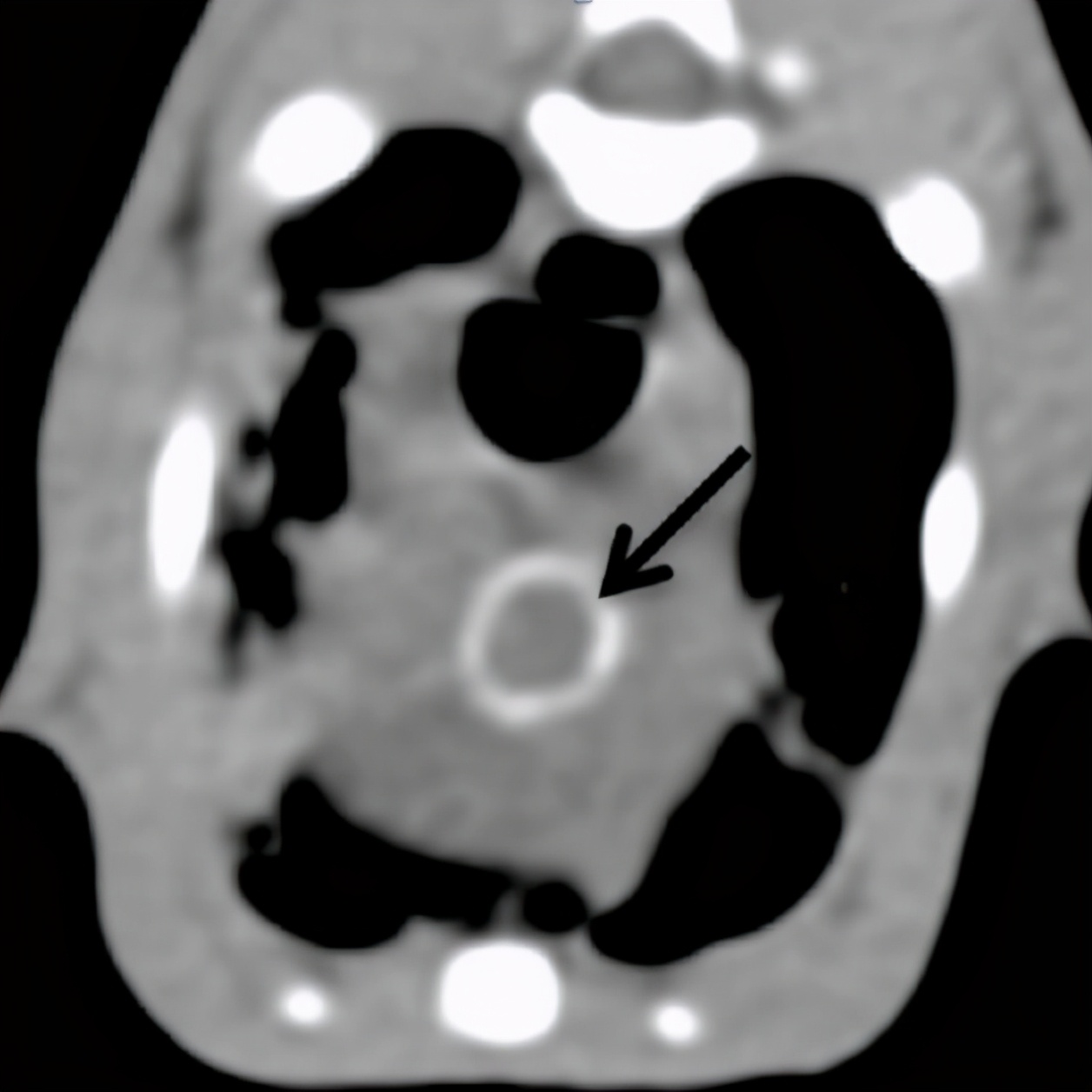
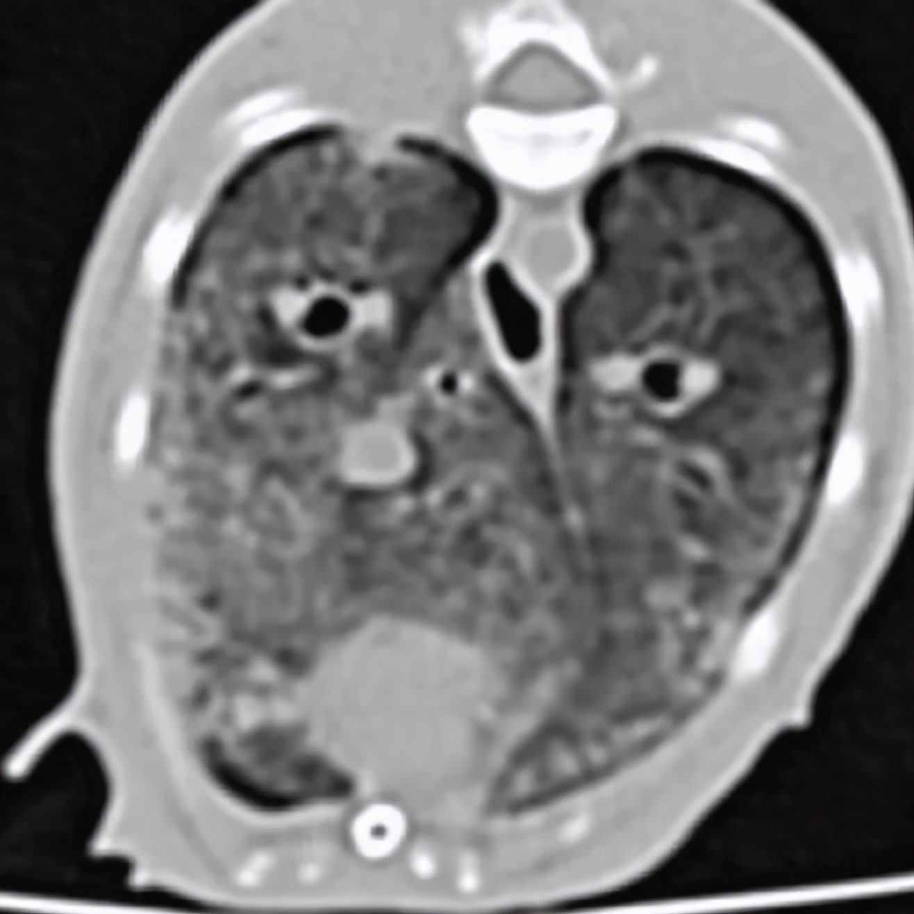
案例


4个月大的家养短毛猫,咳嗽、干呕。
疱疹病毒等检测隐形,抗生素治疗不敏感,血液检查发现高钙血症,CT显示主动脉弓、主动脉根部矿化,肺部表现与矿化、纤维化或炎症表现一致。
经详细病史排查及第三方机构检测,发现主人饲喂的罐装零食存在维生素过量,诊断为高维生素D中毒。

维生素A

作用:改善视力、促进生长、保持上皮组织健康、维持骨骼正常发育、参与性激素形成、提高机体免疫力、增加对胰岛素的敏感度。
缺乏:肠道黏膜屏障完整性下降,黏膜的通透性增强,肠道受感染的机会增加。
过量:犬:骨质松软、容易骨折,行动不便,牙齿脱落、 发炎,皮肤干燥,掉毛。猫:骨骼松软,容易形变,颈椎骨分离,生长受阻,体质下降, 皮肤受损、先天性畸形。
维生素A的获取途径
动物机体需要的维生素A,均来自植物合成的类胡萝卜素的转化。
但与狗狗不一样的是, 猫猫不能利用类胡萝卜素来转化成自身需要的维生素A (期望通过给猫吃胡萝卜和蔬菜补充维生素A是不可能的),所以需要在日粮中直接 添加维生素A 。

维生素A过量的危害
猫在食物营养的需求上是需要既成维生素A的这些既成维生素A主要是动物来源的可以直接被身体吸收利用,并不需要经过代谢转换过程,所以猫咪如果饲喂以蔬菜为主的食物时,是无法存活的。维生素A富含于动物肝脏内及鱼肝油中,是一种脂溶性维生素,若给予过量时,是会堆积在身体内的,如果猫咪饲喂大量这类食品,且同时也喂予牛奶或另外添加维生素A制剂时,就可能会导致维生素A中毒。

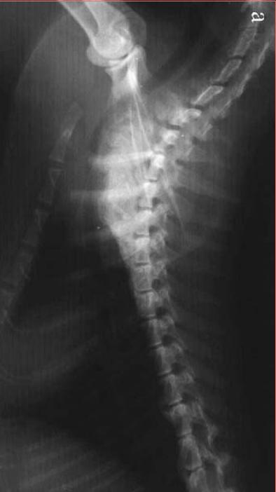
案例


九岁 去势 公猫,长期以猪肝为主喂食自制食物。就诊时左前肢跛行,后出现霍纳氏综合征,两个月发展成瘫痪。
经病史检查,血液和影像学分析和以及血清维生素A浓度的测定,诊断为维生素A过量继发 臂 神经丛压迫。


尾颈椎和颅胸椎腹侧新骨形成

维生素E

作用:抗氧化功能,对繁殖和泌乳有重要作用。
缺乏:犬:骨骼肌营养不良,繁殖性能下降,*丸睾**生殖上皮变性、母犬不易妊娠。猫:厌食,精神抑郁,肌肉萎缩、营养退化,久坐不起。
维生素E的作用
维生素E是具有α-生育酚活性的生育酚和生育三烯酚衍生物的总称,是重要的脂溶性抗氧化剂,可以清除体内自由基,具有 抗氧化损伤的作用 。

维生素E过量的危害
维生素E目前被认为是毒性最小的脂溶性维生素,过量摄入可 拮抗其他脂溶性维生素;且可能会延长凝血时间 。


中毒情况虽较罕见报道,但因在人过量摄入维生素E时可引发免疫功能下降、出血性卒中等风险,AAFCO将成猫推荐量定为30IU每千克干物质。
维生素K

作用:参与凝血。
缺乏:凝血时间延长,致胃肠道出血。犬猫的肠道微生物可合成维生素 K,通常情况下,不会缺乏。但任何改变肠道菌群的因素,如抗生素治疗,都会导致维生素K缺乏。

维生素B1(硫胺素)

日粮成分、代谢特点、遗传因素以及疾病,会影响宠物对维生素B1的需求。宠物受疾病感染,日粮含抗硫胺素因子、受念珠状镰刀菌侵袭等,机体对维生素B1的需要量增加。
缺乏:犬:神经炎,消瘦、虚弱,声音消失,肌肉疼痛。幼犬患脚气病、前肢肿胀和心脏扩张。老年犬出现雄鸡状步态,无食欲,失声。猫:学习能力严重缺失。生的淡水鱼中,含硫铵酶,可快速破坏猫粮中的硫胺素。
日常维生素补充建议
1、最简单的方法是购买人用的复合维生素B族,6元一瓶,每天放到水盆里一片,猫咪自由饮用,喂一周停一周。
2、有些猫舍会给猫咪做辅食的时候添加复合维生素,比如21金维他、金施尔康或者善存(儿童用),大家担心会不会有副作用,从实践上看没有,记住不能过量,基本上10只猫每天一粒。
3、维生素A在猫粮中不稳定,可以偶尔给猫喂煮熟的动物肝脏,但是不能过量会引起维生素A中毒,每周不要超过两次。每次半个鸡肝。
4、可以给猫购买宠物专用的复合维生素,方便省事,贵。
5、不能给猫喂生的淡水鱼,会大量破坏维生素B。不要长期喂鱼或鱼的内脏,会导致维生素D过量中毒,会出现维生素不均衡。
6、量少多样,鸡蛋、奶粉、蔬菜、肝脏、复合维生素。作为普通饲养者,没法精准测量各种维生素的含量,所以经常换换有好处,但是不要长期大量饲喂单一的食物或者营养品,容易出现不平衡。
河北动物医院猫病专科医生王思喜 提示很重要的一点:如果您给猫咪饲喂的是全价的好猫粮,不用特意补充维生素,因为好的猫粮里面已经包含了,可以偶尔补充维生素A,维生素B族,对猫癣有好的预防效果。
结语
最后简单总结一下,水溶性维生素,如B族维生素和维生素C在肠道中吸收,摄入过多的部分则经尿液排出,一般不会蓄积在体内出现中毒的情况;
而脂溶性维生素(主要是维生素D和维生素A)的补充就要注意啦,一定要适量哦!
日常均衡饮食也非常重要,动物内脏即使是猫主子喜欢,也不能过于纵容哦~

河北动物医院 是石家庄市成立最早的宠物医院之一。随着宠物诊疗行业的改革和发展,现成为河北动物医院一所规模最大、专业性最强的宠物诊疗机构,诊疗面积达300多平方米。