——战支医学中心口腔医院"口腔健康日"系列科普(7)

李建军,战略支援部队特*医色**学中心(原306医院),全军口腔疾病诊治中心
医研部医学科普中心 编辑
前牙"反合"俗称"地包天",即下颌前牙位于上颌前牙前方,形成与正常前牙覆盖相反的状态。这种状况通常很多原因造成,可大体归类为先天遗传因素以及后天环境因素。 父母或隔代遗传所致的下颌骨发育过度或(和)上颌骨发育不足,呈现的反合则为先天遗传所致。如不良哺乳姿势或乳尖牙磨耗不足所致的下颌功能性前移位,咬上唇等不良习惯所致的下颌前突,乳前牙滞留或早失造成的上恒前牙腭侧移位,全身性疾病所致的上前牙位置受限等皆可归为环境因素所致。

反合牙的影响主要体现在对功能和面部美观的损害方面。由于反合违反了正常咬合的标准,上、下牙弓受力失去平衡状态,而呈现出某些牙齿因咀嚼受力过大而根吸收变短,以及下前牙缺乏生理性受力而萌出过度等异常状态。由于反合牙无法形成正常咬合,造成咀嚼功能降低,将引发消化功能不良及胃肠道的疾病。这类患者大多中面部呈凹陷状,而下面部前突,也即"地包天"面容。对于生长发育期的孩子,"地包天"在影响孩子美观的同时也往往导致孩子自信心的不足。

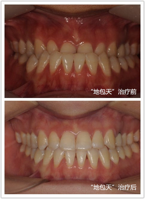
"地包天"的预防和治疗
对于非遗传因素的生长发育期孩子,预防"地包天"的最主要方法是避免过度哺乳喂养,并及早训练正常的咀嚼功能和进食习惯,以避免下前乳牙的磨耗不足。父母对于孩子的咬上唇等不良习惯应及早发现、及时阻断将大有裨益。此外,对于张口呼吸的孩子,应及时治疗其鼻咽部疾病,使他们建立正确的"鼻呼吸"功能,避免"长面型地包天"等严重状况的出现。对于,存在遗传因素的"地包天"患者,则根据其情况严重与否,以决定用单纯正畸或者正畸正颌联合的方式进行纠正。

对于大都数"地包天"的情况,通过牙齿正畸当然是最好的*器武**。
1. 对于婴幼儿期患儿:通过活动式颌垫矫正是针对前牙"地包天"行之有效的方法。这种方式的主要原理在于以上后部牙齿为固位点,通过腭侧的多曲弹簧缓慢力学释放引导上前牙逐次唇侧移位,最终形成良好的上下乳前牙覆盖关系,解除"地包天"。这种方式灵活性好,成本低,婴幼儿熟悉后可自摘自戴,通常3~5个疗程可以将乳牙期反合问题纠正。
2. 对于替牙期患儿:如存在骨性遗传因素,宜尽早通过前方牵引的方式进行上颌骨性生长引导,尽早形成利于正常咬合的功能和肌肉反馈模式,这对于防止后继遗传性的"地包天"复发将有较大益处。上述方式的原理在于替牙时期下颌骨未至发育高峰期而上颌骨将在9岁后到达。根据患者的配合情况以及"地包天"的严重程度,前方牵引的方式可选择活动方式或固定方式进行。通常对于存在遗传因素的患者,还会增加上颌快速反复扩弓、缩弓的步骤,以增加患儿对于前方牵引的骨改建效应。对于非骨性因素的前牙"地包天",宜8岁半之后,上、下颌各四颗门牙萌出完善后进行颌垫式的纠正;这种方式简单、快速,成本低,但治疗完成后,只有破除某些不良习惯等环境因素,才会阻断再次"地包天"的复发。
3. 对于恒牙期的青少年:"地包天"患者,通过牙齿矫正进行反合问题解除,将带给他们一个灿然的微笑和自信的内心。这个时期的最大特点在于颌骨将经历生长发育高峰期,丰富的血供和快速的骨改建对于"地包天"的纠正带来极大的促进效应。此时期,对于单纯牙齿"地包天"的问题,通过传统的方丝弓或直丝弓交互施力的方式进行上、下颌牙齿整体唇向、舌向移动,效果卓著。对于合并轻、中度骨骼反颌状况者,上述方式再配以矫形力量对于骨改建的正向效应,通常亦会获得不错的效果。但是对于严重遗传性的骨性反合情况,如:长面反颌综合征,颅骨锁骨不全综合征,家族性下颌骨重度前突等,可至患者生长发育高峰期后,也即17、18岁之后进行正畸正颌联合治疗才会彻底有效纠正。
4. 对于成人的"地包天":如是牙源性前牙反牙合或轻度的骨性前牙反牙合,通过正畸非整形力的矫正方式,可得到较好的牙齿矫正或代偿效果。如果患者为合并明显骨骼畸形的"地包天"状况,则需要进行正畸-正颌外科的联合治疗,以取得彻底的反合纠正效果。