病例介绍
患儿为足月的新生儿,其母38岁,G5P5。母亲因子痫前期无严重症状而接受择期引产。产前血清学检查除B组链球菌定植外,其他呈阴性,故接受充分的产前抗生素预防。分娩过程平稳,1分钟和5分钟时阿普加评分分别为9分和9分。出生体重为3270g(适合胎龄);身长52cm;头围33cm。
在出生后的最初24小时内,婴儿奶瓶喂养耐受良好。腹部柔软,无腹胀。
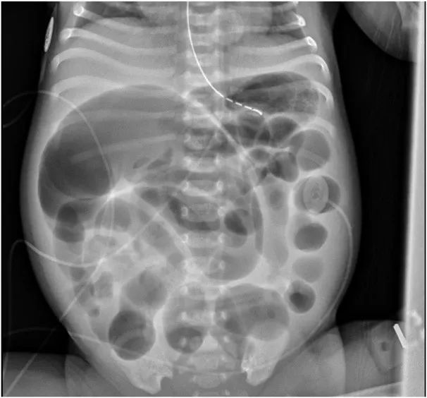
在产后第2天,患儿吃奶减少,腹部变得坚实和膨胀,呕吐,呕吐物为非血性和非胆汁性的。24小时内未排胎粪。腹部X光照片显示多个扩张的肠环,远端没有空气,符合远端肠梗阻的特征(图1)。

需要紧急的外科会诊,并放置鼻胃管,在接下来的几个小时内,鼻胃管引流物似胆汁。
该婴儿的同父异母的姐姐患有先天性巨结肠症,进行了分流环回肠造口术。
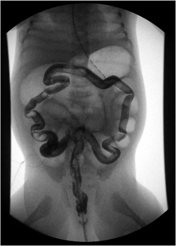
考虑到婴儿患有先天性巨结肠疾病,胎粪延迟排出超过24小时,以及远端肠梗阻的腹部影像学改变,进行了灌肠对比剂造影检查(图2)。

问题
根据上图(图2),影像学诊断是什么?
向上滑动阅览
先天性细小结肠症
(congenital microcolon)
又称胎儿结肠,是新生儿肠梗阻所引起的继发征象。因结肠细小幼稚,管径<1.0 cm而得名,由一组先天性消化道畸形引起,常见于肠闭锁、胎粪性畅梗阻和全结肠型无神经节细胞症,属于一种少见的新生儿先天性肠道畸形。

胎粪延迟排出的鉴别诊断
1.先天性巨结肠 先天性巨结肠是新生儿低位肠梗阻最常见的原因,表现为胎粪延迟排出、腹胀、呕吐及喂养困难。X线腹部平片表现为低位肠梗阻征象,直肠指检可觉出直肠内括约肌痉挛和直肠壶腹部的空虚感,并有大量胎粪、气体随手指拔出而排出,腹胀随之缓解,但此后又反复出现排便困难。目前主张采用直肠黏膜吸引活检的方法来诊断新生儿先天性巨结肠,诊断符合率较高。
2.肠闭锁 肠闭锁表现为完全性肠梗阻。不论闭锁部位的高低,患儿均无正常的胎粪排出,但少数病例会有闭锁远侧肠段黏膜分泌物及脱落细胞混合物排出,颜色略淡,不要误认为是胎粪。十二指肠及空肠近段的高位闭锁于24h内出现呕吐,可不伴腹胀。空肠远段及回肠的低位闭锁呕吐出现较晚,多伴有明显的腹胀。腹部直立位平片双球征提示存在上消化道梗阻,钡剂灌肠盲肠在上腹部即可确诊。
3.小左结肠综合征原因不明,考虑可能与患儿合并低血糖(抑制降结肠和乙状结肠的运动功能)和高血糖素(导致迷走神经的兴奋性抑制)有关。(1)临床表现:①患儿母亲多为糖尿病患者。②生后24-48小时无胎粪排出。③有低位肠梗阻症状。钡剂灌肠提示特征性改变:乙状结肠、降结肠明显狭窄,直肠扩张,横结肠从左侧开始扩张。
4.胎粪性肠梗阻 胎粪性肠梗阻是由胰腺囊性纤维变所致,由于过分浓缩黏稠的胎粪不能通过回肠末端而引起肠梗阻。本病在我国极为罕见。多见于低体重儿或早产儿,可有家族史。患儿生后1~2天内即开始呕吐,进行性加重,呕吐物中含有胆汁。腹部膨隆,右下腹能扪及结实的块状物,无胎粪排出,直肠指诊可触及干粪块,肛管及直肠一般细小,可误认为肛管直肠狭窄。腹部平片显示被胎粪充填而扩张的肠,但由于胎粪稠厚而罕见液平。钡剂灌肠结肠管腔细小为其特征性表现,可与胎粪延迟排出和巨结肠相区别。
5. 功能性肠梗阻见于早产、败血症、呼吸窘迫、肺炎或电解质紊乱的情况。
6. 母亲因素 分娩时服用的药物(硫酸镁、阿片类药物或神经节阻滞药)或甲状腺功能减退。
治疗
视疾病类型而异:
对于患有典型(直肠乙状结肠)或长段疾病的新生儿患者,通过灌洗以及随后的确定性手术来治疗,通常是在出生后几天内手术。如果患者表现出小肠结肠炎,应积极地进行洗肠,并使用静脉输液和抗生素(例如甲硝唑)来改善临床情况。在罕见的病例中,洗肠无法改善腹胀,需要分流造口。
使用全结肠切除术、回肠-直肠吻合术以及保护性回肠造口术来治疗全结肠型无神经节病。只有在患者经过如厕排尿训练且可以接受直肠灌洗之后,才可关闭回肠造口。
神经节细胞缺乏症的超短型或短段型(即小于 2 cm)的治疗具有相当的争议性;在是否存在此类型的先天性巨结肠方面,存在争论。此外,用于治疗特发性便秘的相同治疗(例如:轻泻药)对这些患者有效。
手术治疗已从 6 到 8 个月内的 3 阶段手术方法变更为在新生儿时期完成的单阶段手术。应当由对这种治疗方法有经验的外科医生进行一期手术。