抗癌治疗一直都是一个长期的过程, 3年是一个大坎,5年是一个大关。 对于术后患者来说,应该最怕听到医生说:“你的肿瘤复发(或转移)了”。
研究表明,肿瘤术后3--5年没有发生复发,再次复发的几率会大大降低。医学上也经常采用3年,5年生存率来研究癌症的治疗效果。但是并不是说安全度过3--5年就不会复发,只能说复发转移的概率小了。患者都存在异质性,每人情况都不太一样。
下面我们分享一个术后超过4年出现复发转移的胃间质瘤病例。
病例情况:患者男性,58岁,因“上腹部隐痛半月余”于2015-08-20入院。患者于入院半个月前开始出现上腹部隐痛,进食后明显,自服护胃药物后稍缓解,无发热、恶心呕吐。查体:左上腹可触及巨大包块,大小约15×20cm,质硬,边缘不清,表面尚光滑,固定,有轻压痛,无反跳痛。肝脾肋下未及,肝肾区无叩击痛,移动性浊音阴性,肠鸣音正常。胸腹部增强CT:1.左上腹巨大占位病变(11.7×15.1×21.3cm),与胃、降结肠、横结肠及胰腺分界欠清,考虑胃肠道间质瘤可能;胃镜:1.慢性非萎缩性胃炎伴糜烂;2.胃多发隆起肿物(间质瘤?)。初步诊断:腹部巨大肿物,胃间质瘤可能。

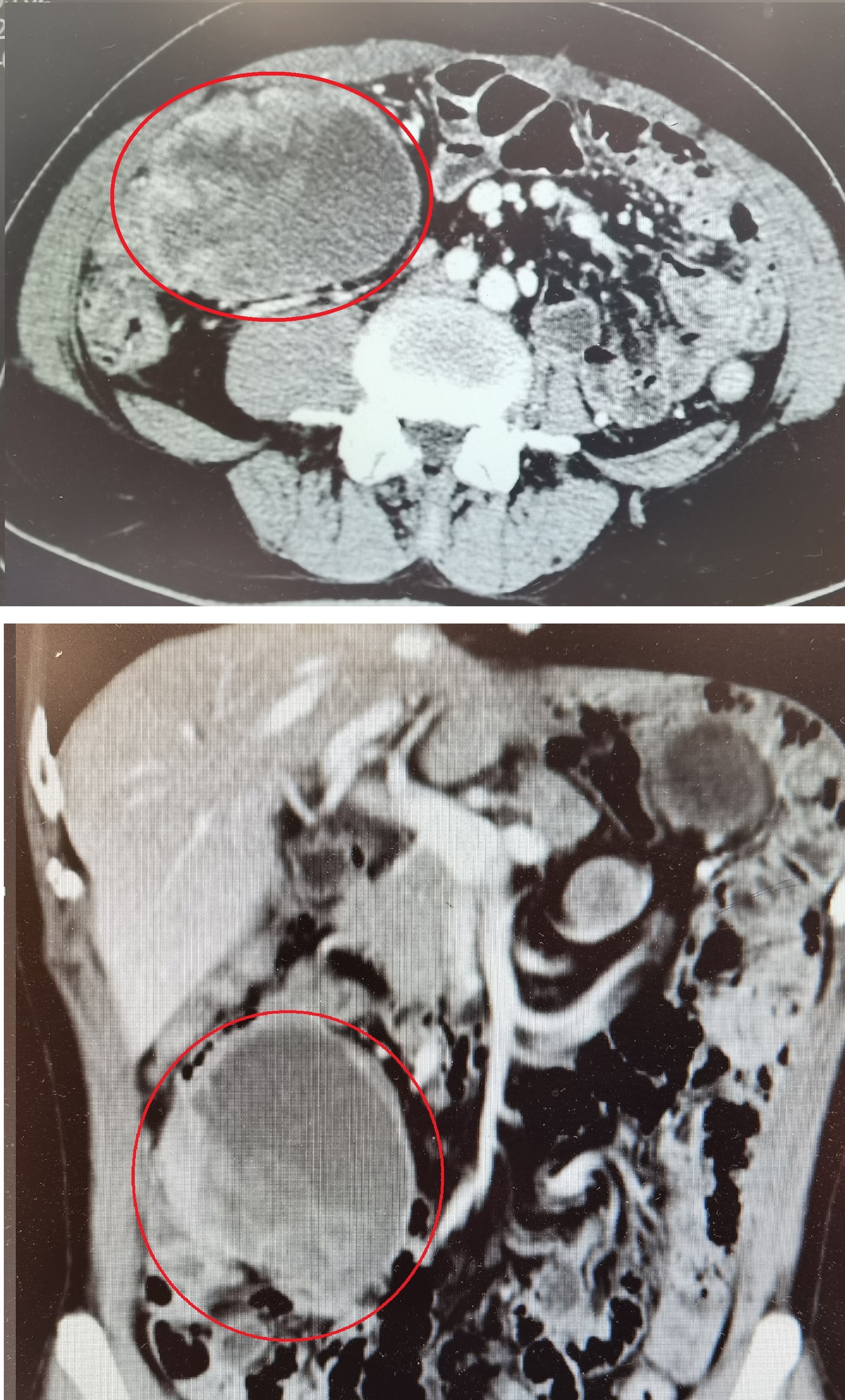
术前腹部CT:左上腹巨大肿块
治疗过程:完善术前检查,排除手术禁忌后,于2015-08-26行剖腹探查术。术中见左上腹部巨大肿物,大小约18×15cm,质韧,内可触及液化,与胃后壁、胰腺体尾部、横结肠、脾脏粘连紧密,肿物周围可见种植小结节,胆囊壁稍厚,内可触及质硬结石,直径大小约1.5cm。我们结合术前检查决定行胃间质瘤根治(全胃切除)+胰腺部分(体尾)切除+脾切除+食管-空肠吻合术+胆囊切除术 。术后病理报告(全胃+胰体尾+脾+横结肠):胃后壁胃肠道间质瘤(长21×横19×纵10cm),核分裂象数:5/50/HPF,肿瘤包膜不完整,神经浸润,肿瘤性坏死约占10%,手术切缘:胃窦侧切缘阳性,胰腺、脾及横结肠未见肿瘤侵犯。术后诊断:胃间质瘤(肿瘤直径大,分级属于高风险)。

术后腹部CT:病灶已切除
术后治疗:术后3年规律服用格列卫400mg/日治疗,至2018年复查胸腹部CT未见复发迹象。2019年10月(术后4年)查全腹CT发现腹腔多发肿块,较大者位于肝内下缘(约8.7×6.25×3.6cm),考虑转移,对比前片为新出现病灶。继续口服格列卫400mg/日。6个月后复查腹部CT提示肿瘤缩小,较大者位于肝内下缘(约3.5×3.2cm)。但口服格列卫12个月后(术后5年)复查腹部CT显示部分较前增大,较大者位于回盲部(约8.3×4.7cm)。进一步查PET/CT提示“胃间质瘤术后”改变,术区未见异常糖代谢增高灶;肝S6下缘结节及腹腔肿块(肝S6下缘及腹腔见软组织结节,大者直径约2.22cm)、盆腔肿块(盆腔见低密度肿块影,大小约8.8×6.5cm,边界欠清。),糖代谢增高,考虑转移。2020年12月底再次入院,自觉右下腹时有隐痛,未见恶心呕吐、排便困难等。住院期间请介入科会诊,行超声引导下腹腔肿块穿刺活检术,完善活组织分子病理检查:(腹腔肿物)梭形细胞肿瘤,结合临床病史和免疫组化结果,符合胃肠道间质瘤术后复发转移,伴片状坏死。

2019年复查CT提示肿瘤复发转移
集思广益
我科为患者组织了多学科诊疗(MDT),经胃肠肿瘤外科、肿瘤科、影像科、放疗科、病理科等多位专家线上及线下讨论,明确诊断,为患者提供了进一步治疗方案。总结如下:
病人初次就诊时发现左上腹肿物,无特异性病史。CT检查表现为左上腹巨大占位病变,与周围脏器关系不清,此时通过影像学检查考虑胃间质瘤可能,但也不能除外胰腺来源肿瘤或原发腹膜后肿瘤。恶性胃肠道间质瘤多表现为边缘不规则的较大肿块、不均匀强化、并发溃疡、瘤周及瘤体内簇状或线状排列的扩张血管影。本例病人的CT影像未表现上述特征,给术前诊断造成了困难。
经手术探查,确诊胃肠间质瘤后进行手术切除,术后持续予以伊马替尼治疗,病人对药物反应良好,期间复查未见复发。术后4年发现新发病灶,继续予以伊马替尼治疗,6个月后肿瘤明显缩小,伊马替尼治疗12月后发现肝脏、盆腔新发病灶,完善活检明确病灶源于胃。胃间质瘤绝大部分发生在胃底和胃体,比小肠等其他部位间质瘤预后好。此种情况下进一步选择治疗方案存在分歧。
可供选择的方案包括:(1)伊马替尼增加剂量是可选择的方案之一。 该病人对伊马替尼的初始治疗是敏感的,此类病人发生继发耐药的发生率相对较低,目前情况增加剂量有50%以上的病人可以获益,有循证医学证据,经过伊马替尼增加剂量治疗后再手术,姑息切除+药物治疗效果优于单纯药物治疗,而且经过增加剂量的治疗可能使肿瘤缩小,再行手术可以降低手术难度和风险。(2)经过术前评估后先手术切除病灶,用新的手术标本组织来做基因检测,指导下一步用药治疗。不选择伊马替尼增加剂量的治疗方案主要是考虑病人用药期间复发,增加剂量治疗需要观察3~5个月,如果治疗无效病变进一步进展可能失去手术机会。(3)病人在伊马替尼治疗期间出现新病灶,可以选用二线药物舒尼替尼治疗。但其对酪氨酸激酶受体、血管内皮生长因子受体等均有抑制作用。血管内皮生长因子受体*制剂抑**可以影响组织修复,可能会增加术后肠漏等并发症,术前应用应注意这个问题。
结合患者新发病灶位置、大小等,综合讨论,选择了第1种方案,考虑增加伊马替尼剂量,等待时机接受姑息手术治疗,手术减瘤一方面可以改善病人症状,另一方面减轻肿瘤负荷,取得更好的内科治疗效果。
本例胃肠间质瘤并腹腔、盆腔、肝转移,病程长,病情反复复杂,治疗方案多变,需多学科深入研究探讨,集思广益,长期抗战。

图片来源于网络
广东省中医院胃肠外科,守护您的胃肠健康。
我是胃肠肿瘤外科王伟医生,和大家一起关注胃、肠、疝、肥胖和糖尿病等医学知识。更多精彩医学内容敬请关注微信公众号和*今条头日**“胃肠肿瘤外科王伟医生”。