文章来 源 于 熊猫放射
Radiographic Anatomy X线解剖
Contrast Studies 造影
Gastrointestinal System 消化系统
1 Anterior-Posterior View of the Hypopharynx 下咽部( 前后位 )


1 Pharynx 咽腔,2 Lateral glossoepiglottic fold 舌会厌外侧襞,3 Vallecula 会厌谷,4 Epiglottis 会厌,5 Piriform recess 梨状隐窝,6 Esophagus 食管
2 Lateral View of the Hypopharynx 下咽部( 侧位 )


1 Uvula 悬雍垂,2 Cervical spine (axis) 颈椎,3 Tongue 舌,4 Oropharynx 口咽,5 Mandible 下颌骨,6 Vallecula 会厌谷,7 Larynx 喉咽,8 Hyoid bone 舌骨,9 Piriform recess 梨状隐窝,10 Ventricle of the larynx 喉室,11 Esophagus 食管,12 Trachea 气管
3 Esophagus 食管


1 Uvula 悬雍垂,2 Lateral glossoepiglottic fold 舌会厌外侧襞,3 Epiglottis 会厌,4 Piriform recess 梨状隐窝,5 Upper esophageal sphincter 食管上括约肌,6 Body of the esophagus 食管体部,7 Aortic arch 主动脉弓,8 Bronchial and aortic segment 支气管及主动脉段,A Paratracheal segment 气管旁段,B Aortic segment 主动脉段,C Bronchial segment 支气管段,D Interbronchial segment 支气管间段,E Retrocardiac segment 心后段,F Epiphrenic segment 膈上段
4 Esophagus and Stomach 食管和胃


1 Distal esophagus 食管远段,2 Gastroesophageal angle 胃食管角,3 Abdominal esophagus 食管腹段,4 Esophageal hiatus 食管裂孔,5 Cardia 贲门
5 Stomach 胃


1 Fundus 底,2 Abdominal esophagus 腹段食管,3 Cardia 贲门,4 Lesser curvature 小弯,5 Duodenum 十二指肠,6 duodenal bulb 十二指肠球部,7 Gastric folds (posterior wall) 胃皱襞(后壁),8 Pylorus 幽门,9 Body of the stomach 胃体,10 Angular notch 角切迹,11 Greater curvature 大弯,12 Pyloric antrum 幽门管,12 + 13 Antrum 胃窦
6 Stomach and Duodenum 胃和十二指肠


1 duodenal bulb 十二指肠球部,2 Pylorus 幽门,3 Pyloric antrum 幽门管(窦),4 Descending duodenum 十二指肠降段,5 Papilla of Vater 十二指肠乳头
7 Stomach and Small Bowel 胃和小肠


1 duodenal bulb 十二指肠球部,2 Pyloric antrum 幽门窦,3 Duodenojejunal flexure 十二指肠空肠曲,4 Colon 结肠,5 Body of the stomach 胃体,6 Descending duodenum 十二指肠降段,7 Ascending duodenum 十二指肠升段,8 Horizontal part of duodenum 十二指肠水平段,9 Jejunum 空肠,10 Ileum 回肠
8 Small Bowel 小肠


1 Jejunum 空肠,2 Junction of the ileum and jejunum 回肠和空肠的连接部,3 Ileum 回肠,4 Cecum 盲肠,5 Appendix 阑尾
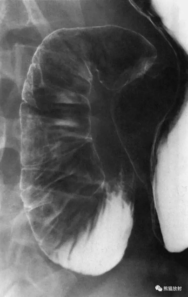
9 Spot Film of the Ileocecal Region 回盲部( 点片 )


1 Haustra of the colon 结肠袋,2 Ascending colon 升结肠,3 Ileum 回肠,4 Ileocecal valve 回盲瓣,5 Terminal ileum 末端回肠,6 Cecum 盲肠
10 Colon 结肠


1 Splenic flexure of the colon 结肠脾曲,2 Hepatic flexure of the colon 结肠肝曲,3 Ascending colon 升结肠,4 Transverse colon 横结肠,5 Descending colon 降结肠,6 Haustra 结肠袋,7 Ileocecal valve 回盲瓣,8 Cecum 盲肠,9 Sigmoid colon 乙状结肠,10 Appendix 阑尾,11 Rectum 直肠
11 Rectum 直肠


1 Rectosigmoid junction 直肠乙状结肠连接部,2 Sacrum 骶骨,3 Retrorectal space 直肠后间隙,4 Transverse rectal fold 直肠横襞,5 Femoral head 股骨头,6 Rectal ampulla 直肠壶腹部,7 Coccyx 尾骨,8 Anorectal junction 肛门直肠交界处




系统解剖图











来源:熊猫放射
【版权声明】本平台属公益学习平台,转载系出于传递更多学习信息之目的,且已标明作者和出处,如不希望被传播的老师可与我们联系删除
【版权声明】本平台属公益学习平台,转载系出于传递更多学习信息之目的,且已标明作者和出处,如不希望被传播的老师可与我们联系删除