不知道大家有没有养宠物的想法?比如养只小狗,二哈呆萌、萨摩可爱、金毛威武······比如养只小猫咪,大大的眼睛温柔可爱。这不我最近总是刷到小猫咪的视频,内心的欲望被点燃,一定要养只小猫咪。
满怀期待的相识
第一步先征求老公和儿子的意见。毕竟老公喜欢狗狗,曾经想养萨摩我没同意,原因是城市楼房太小,高楼小房没有空间。这次我养猫咪没想到老公同意了,儿子也同意了。那一刻我的双脚像踩上了哪吒的风火轮,春风得意。

第二步领养猫咪。我的弟弟是个十分合格的铲屎官,他12岁就自己养猫咪,我妈妈不同意,他还在外面偷着养。曾经有一次回老家过年,表姐看上弟弟的猫咪,我妈和弟弟商量送给表姐,商量了一个星期弟弟答应了。没想到表姐来抱猫咪的那天,弟弟一人躲在屋里大哭,那时候弟弟已经18岁了。我妈开玩笑说:“不知道我死时能不能哭得那么大声”。于是表姐的三轮车刚开出我家1000米,我妈又追上我表姐,把猫咪要了回来。所以领养猫咪找弟弟准没有错。
给我弟弟打电话,说明我的想法。弟弟十分细心,问我养猫的目的,想怎么养,有没有品种要求,问了二三十个问题,总算通过了弟弟的考验。我弟弟办事效率刚刚的,隔天就把猫咪图片发给了我,我也十分满意。

第三步领回家。期待猫咪赶紧到我家了,由于我在郑州,弟弟在北京,原本我开车去北京,可是郑州有疫情,北京本地宝有弹窗去,禁止我入京。怎么办?宠物托运吧,一问价钱1000多,着实有点贵。恰好还有10天国庆节,我弟告诉我有村上的邻居国庆从北京开车回老家,你回老家拿吧。能省1000元,还是要省的。为迎接猫咪的到来,我买了猫屋、猫爬架、猫砂盆、猫砂、猫粮、猫罐头、猫零食·····七七八八加起来花了1050元。内心满是欢喜,等待着这个小可爱的到来。
热烈的相见欢
盼望着,盼望着国庆黄金周终于来了,我开着车载着儿子回到了商丘老家。回想起上次养宠物还是家里面的土狗——毛毛。小的时候家里养过很多只狗,每只都叫毛毛,每个毛毛都很好,不过小时候没有宠物的概念,狗是用来看家的。也养过猫,奶奶说猫是用来抓老鼠的,猫咪没有名字,它喜欢吃鸡蛋不喜欢抓老鼠。

10月3号,我的猫咪终于从千里之外的北京来到了河南老家,接到猫咪的那一刻感觉开启了一段新的生活,立誓一定做一个合格的铲屎官。
“咦,你的笼子里装的什么?看着那么吓人“大伯母说。
“这个猫吗?看着咋这么好”二伯母说。
“姑姑,这是从北京拉回来的吗?看着好可爱”侄子说。
“妈妈,我们给他起个什么名字好呢?”儿子说。
······
猫咪成了小明星,亲戚朋友都围着我的猫笼子看,尽管外面下着小雨,还有邻居小孩子用衣服盖着头,跑到我家来。这是一只英短蓝猫,大大的眼睛,一身灰色的毛发,看上去威风凛凛。
猫咪从北京来,我家排行老四,想起弟弟说猫咪已经做过绝育手术,于是我给他起名字——京城四小姐,这是一个多么贵族的名字啊,民国范十足,我是多么的有才华啊,一种莫名的骄傲从心而生。

由于父母都不在家,这次也是我自己带着孩子回去,所以老家也没猫砂。网上都说猫咪害怕抛弃,内心十分敏感,特别是到了陌生的环境,内心很脆弱。为了减少猫咪内心的落魄感,就没有把它从笼子里放出来,导致它2天吃住都在笼子里,尿也在笼子里,弄了一身的猫尿,那味道真是100米都能闻到,5号带着京城四小姐回郑州,儿子一路上都捂着鼻子。
5号下午两点一进郑州首先到宠物店给猫咪洗了一个藻。本以为这是我与京城四小姐新生活的开启 ,我计划着我们度过十分美好的时光,可是没想到这我俩EMO 的开始。
梦碎了一地
刚开始几天一起都很顺利,上班和见朋友我就给他们看猫咪的图片,向他们炫耀我是一个有猫的人,可是好景不长,噩梦开始了。
刚开始我的婆婆发现猫咪有点尿血, 此时正赶上郑州静默,我们小区恰在其列,不进不出,快递、外卖一律不能接收。于是我打电话问宠物医生,宠物医生问我公猫还是母猫,我斩钉截铁回答母猫。医生说可能是肠胃不好,让我多喂些益生菌。由于缺乏经验,我没有准备益生菌,医生像我推荐了APP说晚上可以送到。花了200多,买了4盒益生菌。
15号我婆婆发现猫腻尿在了她的床上,16号又尿在了儿子床上。怎么回事,猫咪有猫砂盆很听话,这是怎么回事,于是我们都把卧室门关上,京城四小姐只能在客厅活动。
17号儿子跑道我跟前说:“妈妈,猫咪吐了,满地都是。”
这是怎么回事?有干劲给宠物医生打电话,医生说可能是肠胃问题,也可能是吃到猫毛了,还有就是不喜欢猫粮,医生给开点药,晚上隔着栅栏给我。一片药,一个化毛膏,一盒益生菌 ,一袋猫粮,算一算500多。此时我感觉到了给宠物看病真不便宜。没想到后面还有大地等着我。
18号,猫咪一天没吐,也没怎么吃饭,医生说没事,只要不吐就差不多好了,猫咪吃饭不定时。19号一天很平静,京城四小姐不是睡觉就是睡觉。
20号,早上八点我还在睡懒觉,婆婆把我叫醒,说京城四小姐趴在地上一动不动,腿也打颤。我赶紧从床上爬起来,只见四小姐双腿*底卧**,在我门前一动不动,我把它抱起来,它站也站不住,看着奄奄一息额的四小姐,此时我慌了。
赶紧给宠物医生打电话,奈何医生不接,我就一直打一打,直到上午9点半,医生终于打电话,向医生说明了状况,医生建议抱走,做检查,我马上同意,焦急的等待着医生的带来。11点医生终于来了,物业帮我把猫腻送给医生。
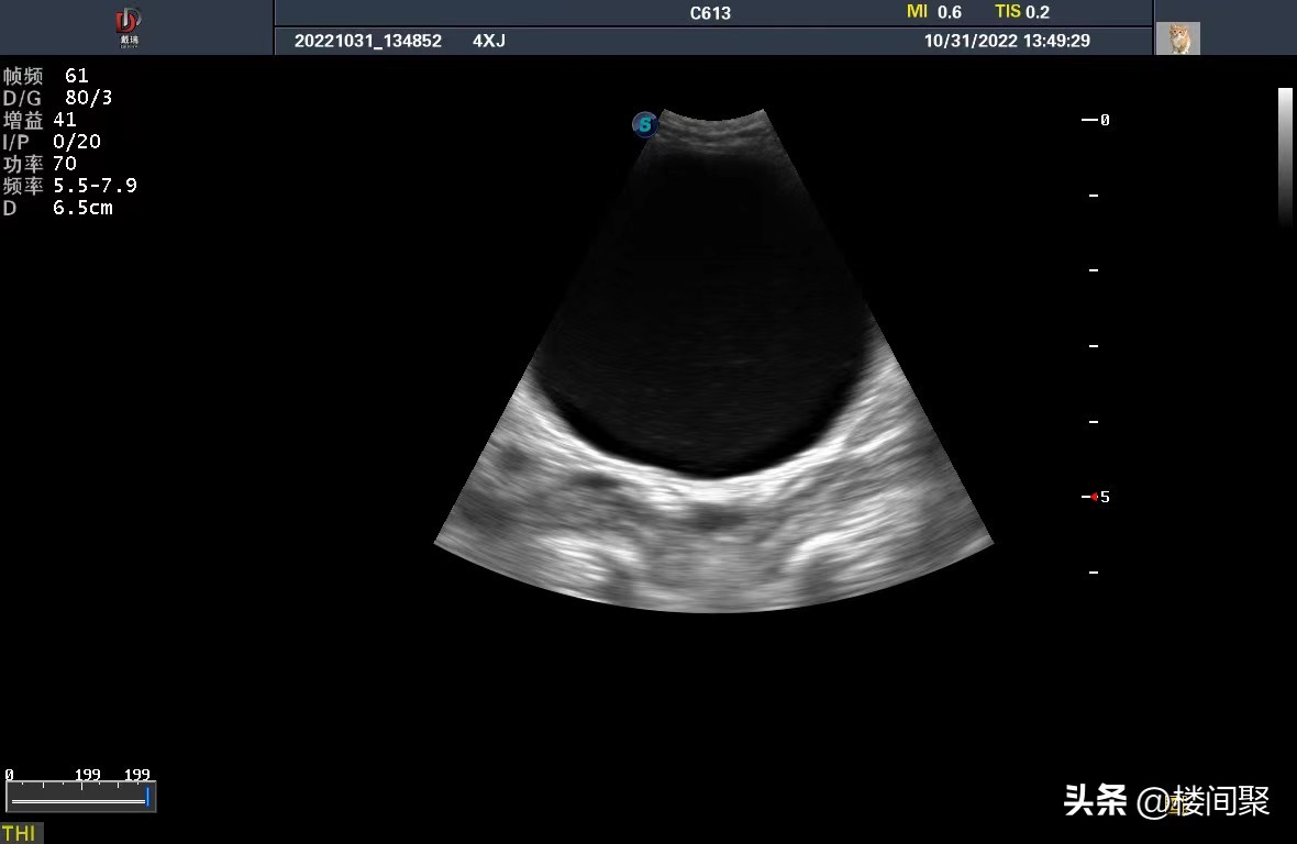
医生说不能确定是什么病,必须做检查。既然这样就做吧,医生给我列了检查清单B超、抽血、生化、CBAC+SAA四项检查一共1030元。下午结果出来,京城四小姐是公猫(我觉得我受到了刻板印象的影响,在人类的世界里女性是绝育手术的主要人群,男性掌握着生育的权利,作为一个女性我也是这么认为的,作为一个女性我觉得在潜移默化中放弃了选择权。)。

检查结果京城四小姐没有结石、是特发性膀胱炎,引起原因不明,现在需要导尿,必须住院,至少四天。一切听从医生。
25号,医生说京城四小姐可以出院了,从住院到出院一共5天,花费4708。天呢,此时我内心只有一个声音,宠物的病比人贵。但还需要持续吃药,膀胱炎是公猫的病,以后还可能复发,此时此刻我们的内心EMO了,曾经捧着一刻热忱的心,现在稀碎。我想京城京城四小姐也EMO了,碰到了一个新的主人,来时8斤,现在7斤,还差点命丧黄泉。

燃起新的希望
这是我人生第一次养宠物,也是第一次养猫,算一算从开始领养猫咪到现在,差不多一个月的时间,花了7853元,一个月的工资都给了京城四小姐,说不心疼是假的,毕竟每月车贷房贷压着我,为了省钱我三个月没涂护肤品,没有买衣服了,但是猫咪怎么都是一条生命,既然把它领到了家也不能看着它死。
小小的牢骚,记录我和京城四小姐相遇的这23天,希望它快点好起来,给我省省钱,这样我们都能好好生活,也希望准备养宠物的小哥哥小姐姐,一定弄清猫咪的性别,这很重要。