有时候,真的想秃头也不明白,凭什么广东菜那么出圈,广东人厨艺那么神?明明对于他们来说——

小姑娘花1个钟,把妆化成别人看不出来的样子(简称“伪素颜妆”),而 广东人则硬要花1个钟,把一道菜做成没做的样子。

你若问,他们就会搬出“原汁原味”4个字,让你自己体会去。(“原汁原味”在广东的地位跟“热气”差不多)

尤其这两大门派,看上去毫无烹饪技术可言,却是广东人yyds—— 顺德鱼生,潮汕生腌。 一片鱼生,晶莹似雪,薄如蝉翼,轻可吹起,鲜甜爽滑,挑起老饕们的味蕾高潮;

一份风花雪月的生腌海鲜,将潮汕人哄得五迷三道,被称为潮汕的“毒药”。

手口并用,十指流油!好吃到根本停不下来!

但别说我泼你们冷水, 吃醉虾、醉蟹、鱼生这些美食相当于吃“虫窝”, 不少人吃了后, 体内长出乱跑的“活虫”! 尤其最近又到了吃蟹的季节, 唔熟唔食啊大佬!
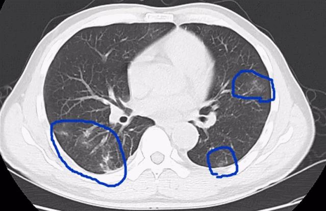
深圳一家3口过了“醉蟹”瘾1个月后齐齐发病,差点连命都不保
去年9月,深圳的一家3口先后发热、腹痛、腹胀、乏力、食欲下降、干咳等。去医院检查发现,3人的血常规中嗜酸性粒细胞明显升高。医院给他们做了寄生虫抗体、CT检查后,发现这一家人得的是“肺吸虫病”。

细问才知道,因为9月是吃螃蟹的季节,这家人迫不及待品尝了“头啖蟹”,而且是味道最鲜的醉蟹。结果,1个月后病发,一家人全部进了医院......
“肺吸虫病”是个啥?
这病还有个名字,叫并殖吸虫病,由并殖吸虫寄生在人体脏器导致。人一旦生食或半生食(腌吃、醉吃或烤吃)被并殖吸虫囊蚴感染的淡水蟹或蝲蛄,或喝了被污染的生水,就会被感染。

被感染后,你会感觉到:
肺部不舒服。并殖吸虫寄生在肺部,会引起 咳嗽、胸痛、咳出铁锈颜色的痰 ;有虫子在腹腔脏器间“跑来跑去”,让你 腹痛、腹泻、恶心、呕吐等 ,还可能侵犯肝脏导致 肝功能异常; 如果虫子侵入大脑,会 头痛、头晕、癫痫 等;看到皮肤下有 结节或包块。 而且这包块还会“乱跑”,可能今天出现在背部下面,明天就游到背中部了。

示意图,图文无关
但在众多寄生虫家族中,肺吸虫就是个渣渣,只能算青铜,大佬们还在后面。
深圳女子爱吃鱼生医生从她体内取出生猛“活虫”
深圳的程女士患有胆囊结石,但一直不当回事。2020年3月,程女士突然病发,腹部疼痛,同时伴随恶心、呕吐等。医院给程女士做了微创手术,成功将结石取出,还在她体内放了一个“鼻胆管”,引流胆汁。本以为程女士这样就可以康复,万万没想到,手术后第三天,医生在她鼻胆管中发现两个 又扁又小的粉色“肉片”,长度1cm,还在胆汁之中还会自由伸缩。

经过病理科检验,这个会伸缩的“肉片”,是一种存在于淡水鱼虾体内的寄生虫, 华支睾吸虫(肝吸虫)。 而程女士的胆结石,很可能是死去的寄生虫尸体形成的。原来病发前不久,程女士曾一次性大量食用生鱼片!更巧的是,程女士查出胆结石是在2019年12月,而同样是12月的几天前,她曾和家人一起吃过生鱼片。
“肝吸虫”寄生虫圈的黄金大佬
这位大佬是我国感染率最高的寄生虫之一,它可以寄生在人体的肝胆系统,引起肝脏反复的炎症、器官衰竭等症状,可能发展为肝硬化,严重时可能导致肝癌。

它能感染很多淡水鱼类,比如青鱼、草鱼、鲢鱼、鲫鱼、鲤鱼等等。不少广东人爱吃鱼生,所以广东地区的肝吸虫病感染率一直居高不下。而且它们特能生,每次能产 1400到2000个卵 ,而且可存活 20到30年 ,子子孙孙在你的体内疯狂肆虐....

吃嫩肉生肉总可以吧?4-8米的长虫随时塞满你肚子
肉片在滚汤里随便涮一涮,烫一烫,老了就不好吃了,

人类这么想,旋毛虫、包虫和绦虫很高兴。 还有牛带绦虫虫卵,发育成成虫后可达4~8米,寿命可达20~30年甚至更长。这么长的虫子,多繁殖些的话,足以塞满你的肚子了...

蛇肉蛙肉不煮熟虫子在你眼皮子底下游来游去
裂头蚴的幼虫,寄生在蛙和蛇的体内(因为蛙可能会被蛇吃掉)。人吃了没有煮熟的蛇和蛙,幼虫就有机会进入人体,到处游窜。

而且这场“旅游”并不是悄无声息的,是明目张胆的。你会看见你的皮肤上有个小包,但是一会儿就消失了,不好意思,裂头蚴到此一游,然后往下一站去了。下一站是 眼睛、脑子 还是 尿道 ?随缘吧。

听说泡酒,蘸醋或芥末能杀虫?别傻了,能杀虫的只有它!
很多人以为酒可以杀菌消毒,所以也有办法干掉寄生虫,但其实 哪怕醉上一个星期,这些虫还活得好好的。

高度酒、酱油、芥末、醋等调味料腌制都不能有效杀灭寄生虫,生食海鲜后喝烈酒、白醋,也不能起到杀灭寄生虫和细菌的作用。但是,如此“刀枪不入”的奇生虫或病原体,却可以 被100℃的开水“一枪爆头”。
