
case 1
【病史】男性,4岁。头部外伤。
【影像学检查】头颅CT检查:

【影像学表现】头颅CT平扫(图A、B)示右侧颞顶部颅骨内板下见新月状密度增高影,邻近脑实质轻度受压、内移。
【影像学诊断】右侧颞顶部急性硬膜下血肿。
【最后诊断】右侧颞顶部急性硬膜下血肿。
case 2
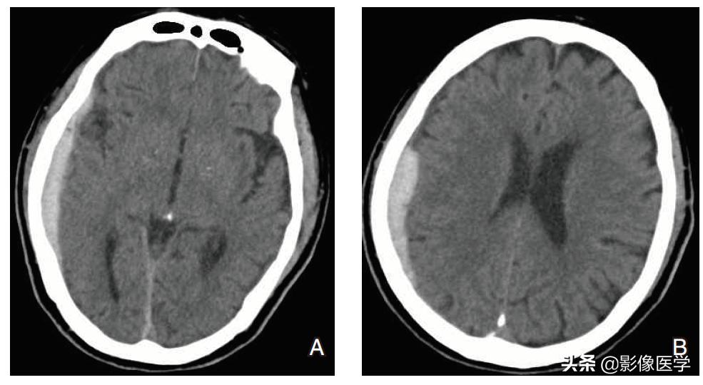
【病史】女性,87岁。1月前跌伤枕部。
【影像学检查】头颅CT检查:

【影像学表现】 头颅CT平扫(图A、B)示双侧额、顶、枕部颅骨内板下方见新月形等皮质密度影,双侧额顶叶灰白质界面可见内移。
【影像学诊断】双侧额、顶、枕部亚急性硬膜下血肿。
【最后诊断】双侧额、顶、枕部亚急性硬膜下血肿。
case(3)
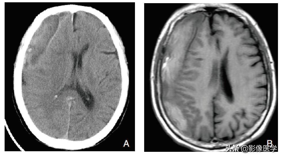
【病史】男性,68岁。间断性头痛头晕6月入院。
【影像学检查】头颅CT和MRI检查:


【影像学表现】头颅CT平扫(图A)右侧颅骨内板下方见新月形低等高混杂密度影,边界清楚,邻近脑实质受压内移,右侧脑室受压变形,中线结构向左侧移位。MRI平扫T1WI(图B)、T2WI(图C)及DWI(图D)示右侧额顶部病灶在T1WI上呈等高混在信号,T2WI上呈低等高混杂信号,DWI弥散未见受限。
【影像学诊断】右侧额顶部慢性期硬膜下血肿。
【最后诊断】右侧额顶部慢性期硬膜下血肿。
讨论
硬膜下血肿(subdural hematoma)指颅内出血聚集于硬脑膜与蛛网膜之间。可分为急性期(3天之内)、亚急性期(4天至3周)、慢性期(3周以上),常为减速性头外伤所致,无颅骨骨折或骨折仅位于*力暴**部位,多为伤处静脉、小动脉或大脑矢状窦汇入的桥静脉撕裂出血,血肿范围较广,可掩盖整个大脑半球。急性期、亚急性期病程短、症状重发展迅速,多为持续性昏迷,进行行加重。慢性期于3周以上逐渐出现颅内压增高症状。
急性期硬膜下血肿CT平扫表现为颅板下新月形高密度影,亚急性和慢性硬膜下血肿,可表现为高、等、低或混合密度。血肿范围广泛,占位征象显著。少数慢性硬膜下血肿,内部可形成分隔。亚急性或慢性期硬膜下血肿,增强扫描血肿包膜可表现为连续或断续的线状强化,有助于等密度硬膜下血肿的诊断。双侧等密度硬膜下血肿CT容易漏诊,下列征象可有助于诊断:双侧脑室对称性缩小;双侧侧脑室前角内聚,夹角变小,呈“兔耳征”;皮层脑沟消失;灰白质界面内移。
硬膜下血肿的MRI信号改变,随血肿期龄而异。急性期T1WI为等信号,T2WI为低信号;亚急性早期T1WI为高信号,T2WI为低信号;亚急性晚期和慢性早期T1WI、T2WI均呈高信号。
病例整理自《住院医师规范化培训-影像病例精读》 郝金钢 余晖主编

