说医院是见识奇葩人物最多的地方了,像背后插把刀的大叔,身上流着血光着膀子走到大雪里面,就为了抽根烟,也有人把灯泡塞进嘴里面拿不出来的,还有随便往体内塞东西的人,像把勺子和茄子往*体下**塞等等,不知道这些人是怎么想的,自己的身体就这么好玩吗?

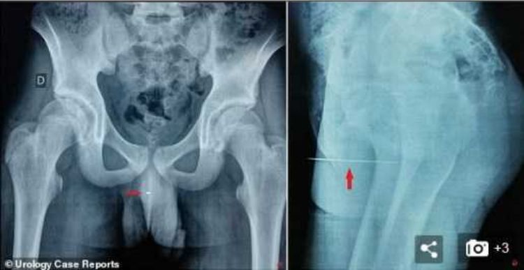
就在前段时间突尼斯某家医院又迎来了一位奇葩事情,十四岁小男孩有三天没有正常排尿了,下面很痛,医生就先让病人拍个片检查一下,当医生看到X光片的时候,医生都被眼前的一幕吓傻了,X光上面显示男孩的尿道里面有一根长达九厘米的缝衣针,据该男孩说当时只是为了好奇和得到快感才做出这样的事情。

据报道,该男孩在家里无聊,发现有家里的一根缝衣针,由于青春期的原因,大家都懂得,受到网络上各种东西的影响,男孩对下面充满了好奇,于是就打算学网上说的那样往尿道里面塞东西,可是这一塞却让男孩痛苦了好几。

刚开始男孩说确实是有些快感,可是最后不小心整根针都一下滑进了尿道里面,男孩剧痛不已,想到用磁铁把缝衣针给吸出来,可是并没有什么用,就这样痛苦了三天,没有办法正常排尿,膀胱也是痛到不行,最后实在是坚持不住了,就把实情告诉了父母,父母立刻就带他去了医院。

在医生的帮助下,在小男孩的尿道5厘米处找到了那根9厘米的缝衣针的位置,然后对小男孩用了全身麻醉用镊子把针给取了出来,这次的手术非常的顺利,男孩在第二天就能出院了,然而医院方面却觉得这个小男孩可能有特殊性癖好才做出这样的事情。

因此又把男孩给送到了精神科检查,最后诊断结果显示男孩没有任何精神病,父母把孩子带回去之后又找来了心理咨询师给男孩做心理矫正辅导。

像这样的事情在这个社会上发生的还少吗?青少年把异物给插入尿道或者菊花里,厉害的还把小动物给放进去,这样是很不对的,不要为了一时的爽快,就让自己的身体被感染,到时候就算是神仙也救不了你了。朋友们对这件事情是怎么看的呢?欢迎留下自己的观点。也希望大家能多支持小编的文章,多帮小编点点赞和回复一个评论。大家的支持就是小编的动力,哪怕是一个支持也好。