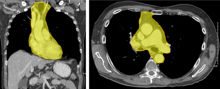
纵隔,是胸廓内的一个解剖部位,指两侧肺脏层胸膜间的胸内空间。如果用文字描述纵隔的边界:即上界为胸廓入口,下界为横膈,前为胸骨、后为脊柱,两侧为脏层胸膜如图一。

图一,胸部CT上看,黄色部分为纵隔的区域
纵隔内容物包括心脏、大血管、胸腺、淋巴组织和神经,以及气管和食管。
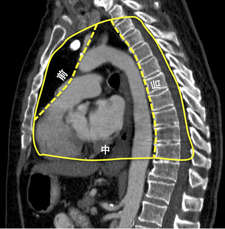
纵隔通常分为前纵隔、中纵隔和后纵隔(如图二)。

图二、黄色实线为纵隔的界线,虚线是人为划分的纵隔区域
更为详细的纵隔内结构见下图三。
纵隔肿瘤可能源自这些结构中的任何一个脏器或组织。也可以来源于胚胎时期残留的细胞。

图三、纵隔各区域的内容解构
纵隔是多种良性和恶性肿瘤的好发部位,见下图四。
其中胸腺肿瘤和神经源性肿瘤(神经瘤)是最常见、常是需由胸外科医师手术治疗的肿瘤。

图四、各区域好发肿瘤
好发于前纵隔的肿瘤,包括胸腺源肿瘤、生殖细胞肿瘤(囊肿、畸胎瘤、畸胎癌、精原细胞瘤和绒毛膜癌)、血管和淋巴肿瘤、纤维脂肪瘤等。
好发于中纵隔的肿瘤,包括气管或肠源性囊肿、心包囊肿、副神经节瘤、嗜铬细胞瘤、淋巴瘤、心脏肿瘤和支气管肿瘤(后者常并入肺癌,不计入纵隔肿瘤)。如下图五

图五、纵隔各区域常见肿瘤
后纵隔肿瘤包括各种神经来源的肿瘤(神经鞘瘤、神经纤维瘤、节神经细胞瘤)、肠源性囊肿和食管癌(食管癌属单独病种,不计入纵隔肿瘤),淋巴肿瘤。
淋巴瘤也属单独病种,但因其常表现为发生在纵隔的肿块,非手术活检不容易与其他纵隔肿瘤鉴别清楚,故(手术前)往往被诊断为纵隔肿瘤而收治在胸外科。