牙齿缺失之后镶个什么假牙好?有什么优势?最好的假牙是哪种?

患者姓名:朱XX
性别:女
年龄:26岁
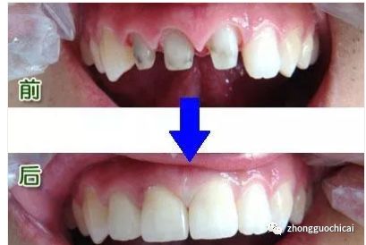
既往史:之前做过烤瓷牙(前牙6颗),效果不理想,想拆掉重做全瓷牙
患者有话说:
这次主要想咨询一下全瓷牙的有关知识和问题,两年前在老家做了6颗烤瓷牙,前牙的,但是现在效果不太好,可能也跟我平时护理不当有关系吧,现在牙龈边缘黑黑的,特别影响美观,听说全瓷牙不错,所以想拆掉重做。
因此,在这里向咨询一下护齿家的口腔医生,全瓷牙保质期多久?哪种材料最好?对牙龈有没有什么损害?哪种全瓷牙最好?……谢谢啦,希望给些建议哈~
什么是全瓷牙
全瓷牙,是覆盖全部牙冠表面,且不含金属内冠的瓷修复体。因为采用与牙齿颜色相近的高强度瓷材料制成,所以相比金属基底烤瓷修复体更美观,半透明度与天然牙近似,修复后牙龈边缘表现更加自然,可达到仿真效果,且具有对周边组织无刺激等。

镶个全瓷牙能用多久
一般来说,全瓷牙大体分为两个大类:玻璃陶瓷类全瓷牙和氧化铝、氧化锆全瓷牙。
①玻璃陶瓷类全瓷牙。如:热压铸瓷冠,玻璃渗透瓷冠,及采用CAD/CAM技术研磨完成的玻璃陶瓷冠等。
②氧化铝、氧化锆全瓷牙。通过应用CAD/CAM技术研磨完成氧化铝、氧化锆内冠,再通过分层堆瓷技术添加外层饰瓷,制作完成的全瓷牙或无外层饰瓷的全锆冠。
不管是哪种全瓷牙,共同的特点就是材料坚固、稳定性强,再加上经过专业医师严格规范的操作,全瓷牙的寿命要比普通烤瓷牙的长。有数据显示,65%左右的全瓷牙能使用20年以上,如果平时细心呵护,全瓷牙的寿命会更长。
哪些因素会影响全瓷牙的寿命
1、全瓷牙的材料。细分的话,全瓷牙的材料也有很多种,不同的材料特性、价格都会不同,一般来说,价格贵一点的肯定使用的更久一点。不过也不能太绝对,适合自己的才是最好的,坚决杜绝劣质的全瓷牙。
2、医生的操作水平和技术手法。毕竟材料是一回事,医生的操作也同样重要,因此我们经常说,做牙科手术一定要选择正规的医疗机构,找技术过硬临床经验丰富的专业牙医最靠谱。
3、患者自身牙齿条件。如果患者本身牙齿是属于那种缺损少炎症小的,那么一般情况下做了全瓷牙以后使用的时间就长一些。

4、日常使用及护理。
日常使用中,每天喝稀饭和每天用它啃骨头那肯定是不一样的,就算是我们本身的牙齿也要忌讳过度磨耗,更何况是全瓷牙,因此用户的一些不当的用牙习惯一定要改正,譬如:开酒瓶、口撕包装袋、嗑坚果等,该借助工具的还是要用工具啊~
另外,平时的清洁护理也要做到位,每天至少两次的刷牙不能省,定期的口腔维护(比如洗牙、口腔检查等)不可少,维护牙周健康,营造一个健康清洁的口腔,对于延长全瓷牙的使用寿命起着关键性的作用。
当然,维护口腔健康也不需矫枉过正,譬如:刷牙太狠,牙线、齿间刷、水牙线、漱口液等频繁使用等等。
哪些牙齿情况适宜全瓷牙修复
1、牙齿发黄发黑:这类人包括四环素牙、氟斑牙、死髓牙等类型牙齿疾病。

2、牙齿发育异常:对于不正常的牙齿发育,如过小牙,牙间隙宽,个别牙不齐,釉质发育不全等,都可以通过全瓷修复后可以将牙齿的形态、颜色恢复到理想状态。
3、龋齿或牙齿缺损较大:牙齿变色呈灰色或黄褐色,需要通过全瓷牙手术恢复美观和咀嚼功能。
4、牙齿治疗后修复:很多牙齿治疗后会留下牙齿问题,如牙髓治疗后易造成牙齿变色,补料脱落及牙齿折裂,选用全瓷全冠修复可避免。
5、因外伤而折断的牙齿或残留的牙根:如牙根有足够的长度,牙周情况又较好时,经过完善的根管治疗,可进行全瓷牙修复。

6、镶复缺牙:对于缺少的牙齿,利用缺牙左右的牙齿做固位牙,加上缺牙将全瓷牙冠连在一起,将其粘固在固位牙上,便可以镶复缺牙。
为什么很多医生建议做二氧化锆全瓷牙
1、密度大、强度高
虽然没有金属支撑,但是二氧化锆全瓷牙具有较高的强度,边缘密和精度高。
①具有很高的抗弯强度,目前通过国内注册的材料强度值都达到了900MPa,而国家牙科材料的标准为100MPa。
②因为其强度上的优势,使医生不用过多磨除患者的真牙。
2、美学效果好
全瓷牙色泽近似于天然牙,生物相容性良好,不刺激口腔组织,容易清洁,既能恢复牙齿的功能,又有美容的作用。

最主要的是全瓷牙具有良好的透明性和折光性,不会在牙颈部出现黑线,使牙颈部也能达到良好的美观效果,这是金属烤瓷牙无法比拟的。
3、可靠性强
无金属异味,与空气、水或其它任何电解质接触时会迅速产生微氧化膜,不仅避免金属腐蚀,更能防止金属异味的产生。
另外,非金属的二氧化锆对X线却无任何阻挡,镶复二氧化锆烤瓷牙,日后做头颅X线、CT、核磁共振检查时都不会影响成像,不需要拆掉假牙,省去很多麻烦。
4、生物相容性良好
二氧化锆是一种很优秀的高科技生物材料,生物相容性好,优于各种金属合金,包括黄金。二氧化锆对牙龈无刺激、无过敏反应很适合应用于口腔,避免了金属在口腔内产生的过敏、刺激、腐蚀等不良反应。


可以说,除了贵点,与其他同类修复方法相比,基本上没有别的缺点了。因此二氧化锆材料制作的烤瓷牙目前被称为国内国际最好的烤瓷牙选择。
【此内容由龙江口腔名医工作室整理发布】
