胃部的不舒服很容易被忽视
但等到扛不住的时候
往往就很严重了……

所以 胃肠镜检查 尤其重要
能发现“潜伏”在身体里的异常
案例
忽视胃病,十二指肠长巨大肿物
一年前,40岁的许女士开始出现 胃胀痛, 经常会有 反酸、烧心 的感觉,她觉得可能是常见的胃病,自己在药店购买了一些胃药服用,服用后症状有所缓解。
但是没多久就复发了,再吃药缓解,再反复…… 一直反反复复,让她十分烦心。今年3月初,许女士终于决定到本地医院做全面体检,找出胃病困扰的源头。

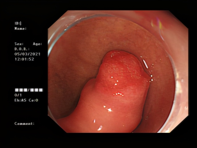
做胃镜检查时,在许女士的十二指肠发现一个大肿物, 形状类似手指,占据了十二指肠球部1/2空间。如果肿物持续存在,可能出现出血、梗阻等风险,必须手术切除。
案例
转我院,内镜下肿物切除
因为肿物巨大,十二指肠里的操作空间小,穿孔、出血等风险大, 手术难度较大。 该医院医生告诉许女士风险后, 介绍许女士转至我院消化内科就诊。
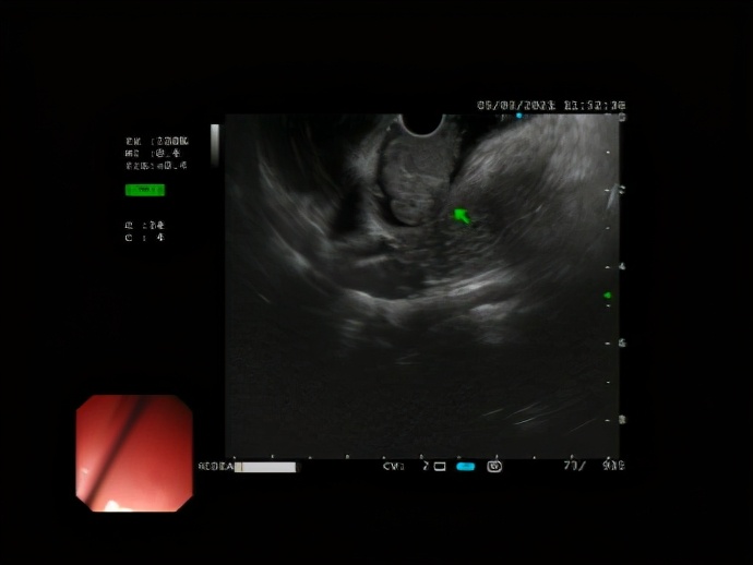
在南方医科大学南方医院帮扶专家、我院副院长兼消化内科学科带头人李跃副主任医师带领下,消化内科诊疗团队高效率运转,完成术前检查及术前评估,在许女士入院第二天完善超声内镜检查,并在 内镜下行肿物切除术, 大小约4.0x2.5cm,术中出血0ml。

△ 超声胃镜提示十二指肠粘膜下层来源肿物

△ 内镜下表现

△ 术后标本
术后次日,许女士恢复良好, 即可出院回家。
案例 十二指肠腺瘤症状隐蔽
十二指肠球部Brunner腺瘤
术后病理确诊为十二指肠球部Brunner腺瘤,是 十二指肠腺瘤的一种。 十二指肠腺瘤发生于黏膜下层,临床上极其罕见, 且发展缓慢,多见于中年患者, 好发于十二指肠球部,直径大多为1~2cm,大于3 cm的腺瘤较少见。

目前有关本病的 病因尚不明确, 可能与长期胃酸分泌过多和幽门螺杆菌感染有关。 临床表现也不典型, 瘤体较小时,可无任何症状,随着瘤体的逐渐增大,可表现为 轻微上腹胀、隐痛、恶心、反酸、烧心等消化道症状。
当瘤体表面出现糜烂、溃疡或合并十二指肠球部溃疡则可出现消化道出血, 表现为大便潜血阳性、黑便,严重的甚至可能呕血。

由于本病早期无临床症状及体征, 早期诊断困难,胃镜是主要诊断手段。
案例
内镜下切除,安全、有效、微创
以往本病多行外科手术治疗,近年来,随着内镜技术的发展,内镜下腺瘤切除具有安全、有效、微创的优点 ,已成为当前首选的治疗方法, 十二指肠球部Brunner腺瘤术后预后良好、 不易复发。

