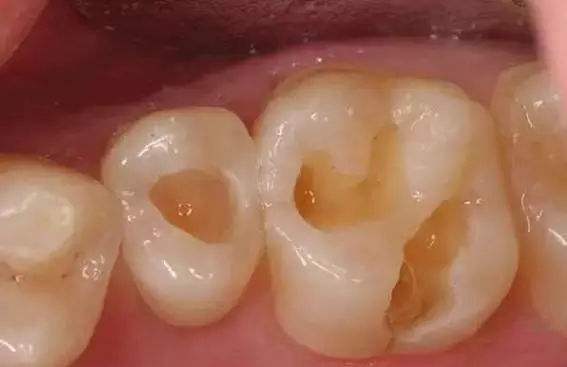
有一个来补牙的患者问我:"医生,我牙齿以前根本没那么大的洞,怎么补个牙反而把原本都看不太出来的牙洞磨大了。"
今天我就把补牙这个事情专门说一说,让准备去医院补牙的患者了解一下补牙到底是怎么操作的。

补牙是我们平时进行的最多的工作之一。很多患者都以为补牙就是简单的用医学材料把出现问题的牙齿修补好,说起来没问题,其实很不全面。严格地讲补牙属于牙齿修复的一种,所有的补牙操作都有一套流程。

第一步,当患者来到医生面前的时候,医生首先需要根据患者的描述和自己的观察来判断牙齿的龋坏程度。
有的龋坏程度比较浅的,操作相对简单,如果龋坏比较深入已经接近牙神经,那这样的牙齿是不能轻易地说补就补的。

第二步,如果患者的牙齿龋坏程度不深,我们就要首先对牙齿龋坏的部分进行处理。
利用专门的机器将已经龋坏发黑的部分清理出来。这就是很多人困惑的磨牙洞的过程。因为如果我们不这么做,龋坏的部分还停留在牙齿上,看不见的细菌依旧存在。
只有将它们彻底去除了,同时将原本完全不规则的牙洞内部变的相对比较平整光滑,才更加有利于下一步的操作。
如果我们判断患者的牙齿龋坏程度已经波及神经,那么会告知患者具体情况,先做根管治疗,然后再进行补牙或者带牙套的后续操作。

第三步,将补牙的材料填充进制备好的牙洞当中,确保材料和牙齿的接触紧密,然后调整形状,恢复患者的对咬牙高低。
一般来补牙的适应症基本和蛀牙脱不开关系,所以请各位朋友平时一定要注意定期到医院去检查一下牙齿。因为如果发现的早,只需要补牙就可以解决问题。等到牙痛才去医院的,基本上治疗起来就比较麻烦价格也相对高一些了。

补牙完成之后并不是一劳永逸的,还有一些需要注意的地方。
- 第1, 有的患者在补牙之后会出现咀嚼时牙齿不适,如果短时间内没有消除,那么需要回到医院请医生重新调整补牙材料的高低位置。
- 第2, 补牙材料的完全凝固需要一定的时间,所以在补牙结束之后的两个小时不要吃任何东西,2小时之后再逐步恢复正常饮食。
- 第3, 在吃东西的时候,尽量不要选择很坚硬的食物,这既是对补牙的保护也是正确的用牙习惯。
- 第4, 注意保持口腔的清洁卫生,定期回到医院复查牙齿情况,防止补牙材料和牙齿之间出现缝隙自己却不知道。

现在我们使用的补牙材料基本上以树脂材料居多,这种材料坚硬耐磨所以能满足绝大多数情况下的口腔使用要求。当然,还有更先进的嵌体修复技术,如果经济上可以承受,也可以进行选择。
不论是用何种补牙手段,制备牙洞都是不可避免的步骤,所以请广大的患者在进行补牙的时候,心中要有数。为了更好的祛除腐坏物质,制备牙洞是不能俭省的过程。

作为牙医,我们每一个人都希望患者使用的是自己的天然牙齿,因为到现在为止即便是种植牙这样成熟的技术也不能和我们自己的天然牙相提并论。所以为了保护好自己的牙齿,提前检查提前治疗好好养护就是我们平时要树立的良好意识。

我是牙科医生黄征难,35年从业经历,如果你有任何口腔问题,欢迎在主页私信咨询,或评论留言!可以私信牙片,我来帮你免费问诊!