#非常病例#
最近诊治了一位老病人。她两年前曾在我之前工作的上海市第十人民医院做过手术,症状没有缓解,反复多家医院就诊没有效果后又赶到我现在就职的上海市中医医院来。
【故事从两年前开始】
她两年多来一直反复胸闷气喘,2021.11到上海十院就诊,我们初诊发现是个房颤,并且2018.2仍然有窦性心律心电图,提示是个短程持续性房颤(持续超过1周但不超过1年的房颤)。患者又有腔梗病史,因此我们当时考虑可能是心律失常引起的。虽然当时心超已经提示“右心房很大”。而且不到一年的持续房颤已经心率不快了。

两年前的心超

两年前的动态心电图
2018.11短程持续房颤做了房颤冷冻+左心耳封堵术(入组Leftear全国多中心临床研究),其中冷冻过程中发现肺静脉已经变细并且电位已经不太明显(提示这个房颤不是肺静脉相关,属于比较少见的10-20%比例),消融完后也没有去电复律。后来的左心耳封堵过程发现开口超大而且很浅,难度很大。因为我是Leftear封堵器的主要发明人之一,对这个性能比较了解。通过重新房间隔穿刺并且回收调整,并且最后用的25/37mm的特殊型号才成功封堵的(微量残余分流)。



封堵器植入
术后随访一年(所以病人存了电话),其中术后三月复查的食道心超提示左心耳封堵器封堵成功(残余分流不超过3mm。术后仍为房颤。

术后常规随访
患者诉术后胸闷症状仍然没有缓解,反复在多家医院做了心超、肺CT、肺功能等,“没发现有问题”,使用药物治疗后也不明显。甚至曾有医院建议她“做起搏器”。
后来她电话联系我,我第一反应还以为是房颤消融的罕见并发症(肺静脉闭塞或膈肌麻痹),后来调了资料才发现做消融那会已经有“右心扩大,肺动脉高压(中度)”。心电图除了房颤外,还有R波递增不良,请病人再次入院,排除下心脏缺血:

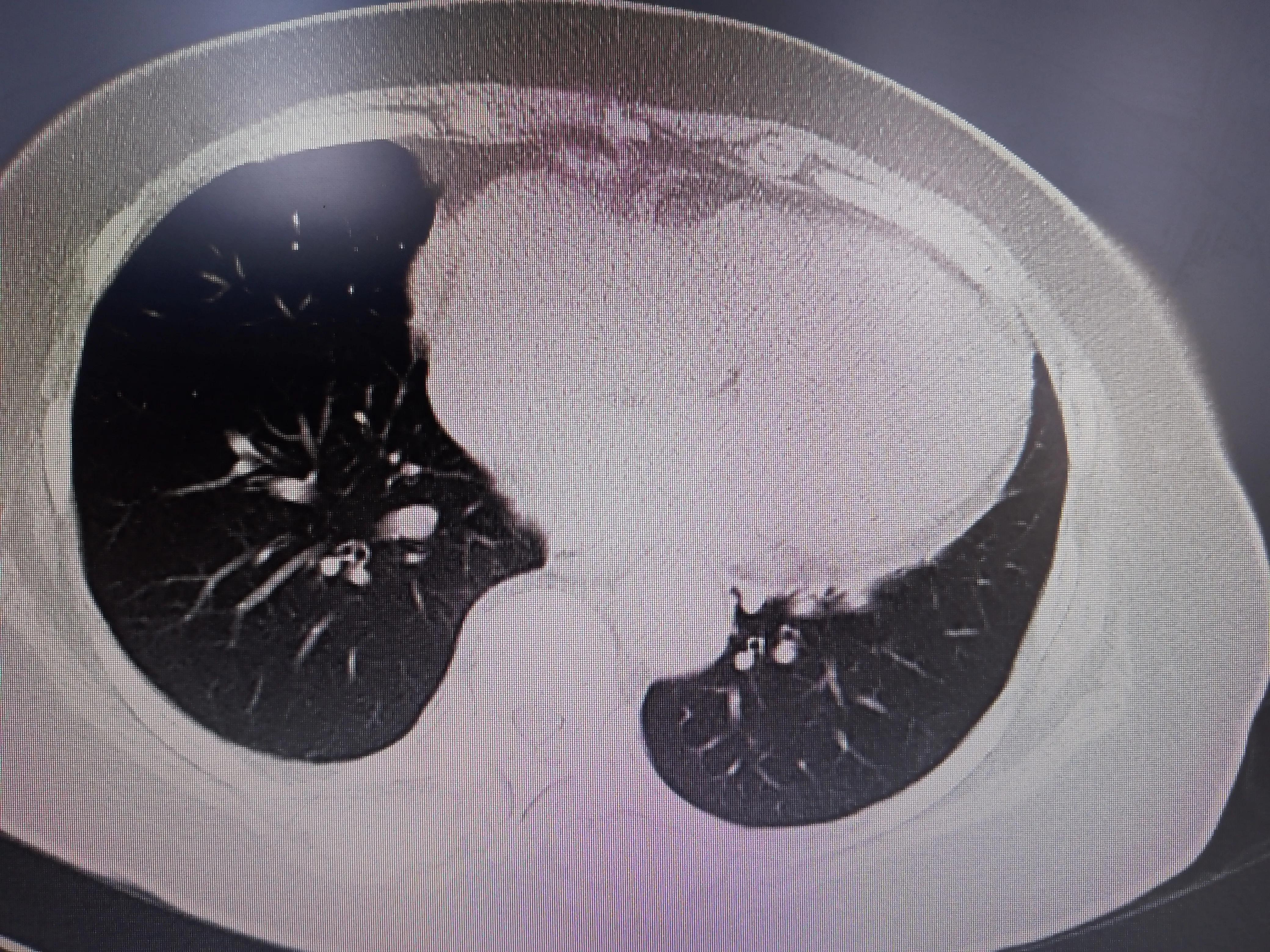
体检可基本排除膈肌麻痹,做了肺静脉CT,排除了肺静脉狭窄或闭塞



左心耳封堵尚可,边缘微量残余漏;

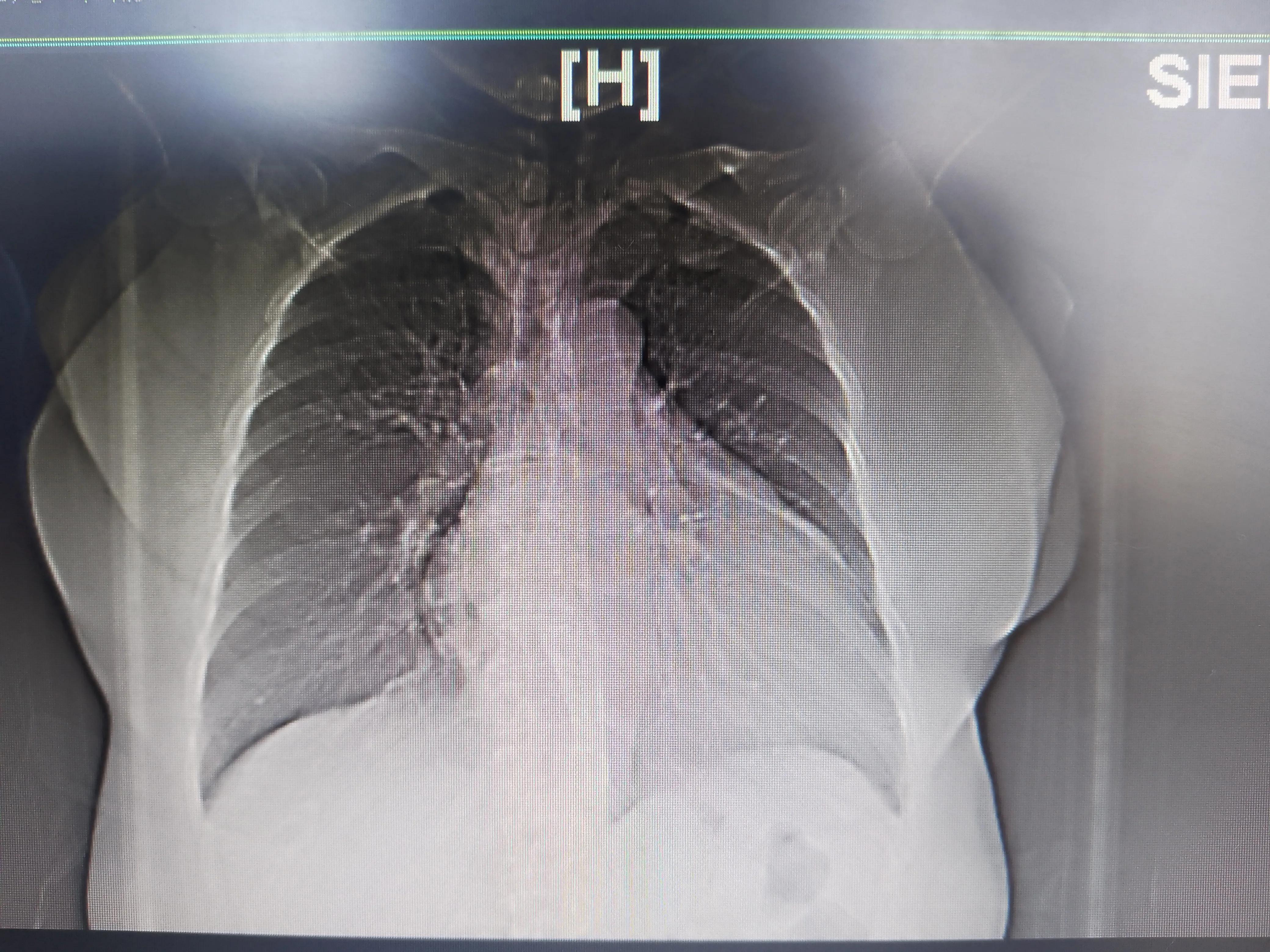
同时肺静脉CT里面发现肺里很干净,没有结节也没有明显的急性或慢性炎症;右心明显扩大导致心尖上翘。

右心明显扩大

右心明显扩大,肺挺干净的

做了冠脉造影排除了冠脉明显狭窄


做了右心功能检查,发现确实肺动脉、右心室、右心房压力升高,另外排除了明显的肺栓塞。


做了血气分析,后面电解质考虑利尿利的,已经纠正:

住院期间的血生化、心肌酶、甲功、肿瘤等未见明显异常。
现在可能导致反复胸闷原因可能被迫考虑“原发性肺动脉高压”,比较少见的一个病,治疗需要药物比较少。
【肺动脉高压】
定义为平均肺动脉压在静息时大于25mmHg, 或在运动时大于30mmHg, 其特征通常是肺血管阻力的持续性和渐进性增加, 最终可能导致右心室衰竭。
【治疗】
目前常用药物有:波生坦/安立生坦、西地那非和贝前列素等。我院目前只有凯那和西地那非。西地那非,更有名的叫“伟哥”,是一种广为人知的“love”药。

顺便科普下,“伟哥”最开始是个心脏药物,而且是用于抗血小板的(PDE5*制剂抑**)。不过,抗栓效果不咋滴,没想到却有神奇的那方面特效。


今天刚开始使用,期待效果。