
张久丽 副教授
子宫蓄脓是指子宫内积有大量脓液并伴有子宫内膜增生性炎症,是发情后期的一种疾病,特征是子宫内膜异常并出现炎性病理性变化,子宫腔内积有脓液。按子宫颈开放与否分为闭锁与开放两种类型。临床上,由于母猫是诱导排卵型动物,其排卵、黄体形成和孕酮的产生需要交配刺激,因此,母猫的子宫蓄脓的发病率比母犬低。现将笔者在临床上遇到的一例猫子宫残端蓄脓伴腹膜炎病例报告如下。
1病例介绍
猫咪12岁,雌性,3.8公斤,未进行常规免疫。平时在工厂饲养,大约3年前做的绝育手术,但没有摘除东西,主人说当时应该是结扎的,之后猫咪有发情表现,家里还有公猫,没有怀孕,最近几天工人发现猫咪精神状态不好,不爱吃东西,嗜睡,前来就诊。体格检查,患猫消瘦,被毛粗乱,皮肤弹性差,触诊猫腹围膨大。
2诊断
2.1血常规检查:血常规检查白细胞显著增加,白细胞总数(43.37×109/L)及嗜中性粒细胞(37.24×109/L)均显著升高,红细胞数量、血红蛋白、红细胞压积未见异常。
2.2生化检查
生化测定肝肾功能指标。肝功能指标正常,肾功能指标尿素氮肌酐下降,其它未见异常。
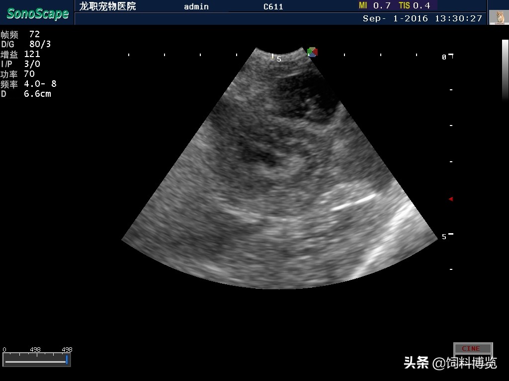
2.3超声检查 腹腔内见大量液性暗区,子宫壁增厚,子宫腔内有液性暗区,其他未见异常。

2.4 X线检查
X线检查发现腹腔模糊不清,右侧肾脏位置改变,脏器轮廓不清,如毛玻璃状。


结合以上检查,诊断为子宫蓄脓并发腹腔积液。
治疗
决定对猫咪进行手术治疗,切除子宫。术中采用安全的吸入麻醉,术中常规切开,打开腹腔,腹腔内大量腹水,子宫明显增粗,型态不规则,并与周围多个脏器黏连,子宫颈与膀胱黏连。在一侧子宫角尖端发现卵巢,卵巢上有卵泡。子宫角与肠系膜黏连。对腹腔进行冲洗和剥离黏连,切除残存的子宫和卵巢,闭合腹腔。术后常规输液6天后,恢复较好。

讨论
一般临床上认知的子宫蓄脓为孕酮所引发,而孕酮对于子宫的作用包括有抑制子宫内白细胞的反应,降低子宫肌层的收缩,刺激子宫内膜腺腺体的发育,这些都是为了怀孕而准备的作用,但如果怀孕没有成立,或根本没有配种是,这些作用就可能变成有危害,使得细菌逆行性感染容易发生子宫蓄脓。子宫蓄脓在影像学的诊断上还是以腹腔超生波扫描为主。本病例中,腹腔超生波扫描可见到膨大的官腔样影像,官腔增厚,不规则,内有低回声性的液性暗区,并有腹腔积液表现,白细胞数及中性粒细胞数目显著升高,确诊子宫蓄脓。诊断结果提示需要尽早手术并进行对症及支持疗法,建立输液管道来补充脱水及纠正离子平衡。经手术打开腹腔,发现子宫与周围脏器发生多处黏连,确诊为子宫残端蓄脓并发腹膜炎。手术切除卵巢和残存的子宫,并进行腹腔冲洗,术后恢复较好。