肺栓塞是最危险的急症之一,其临床表现缺乏特异性,易与其他疾病相混淆,以至临床上漏诊与误诊极高。本例患者一开始考虑心肌梗死可能,后结合患者临床表现及相关检查等,仔细剖析病情,确定肺栓塞诊断。经过积极治疗,患者病情好转。一起来看下吧!
【病史】
男性,44岁,因“发作性头晕、心悸1个月,加重23小时”于2014年11月3日17:58入院。
现病史
患者自2014年10月初开始,无明显诱因出现头晕、心悸,自觉心动过速,具体心率不详,无胸闷、胸痛、呼吸困难、黑矇、晕厥,不伴恶心呕吐,无出汗乏力等症状,休息后约10分钟左右可缓解。
10月8日开始,患者无明显诱因出现与运动无关的胸痛,伴胸闷,放射到后背部,且疼痛与体位变换有关,休息后约5~6分钟症状可缓解,未在意。
11月3日7:00左右,患者再次出现头晕、心悸,伴胸闷,持续不缓解,急就诊于当地医院,症状未见缓解,来我院急诊科。心电图示:窦性心动过速,出现SⅠQⅢTⅢ,V1~V4导联T波低平倒置;心肌酶示:CK 275 U/L(↑),CK-MB 18 U/L,*NTT**-HSST 0.289 ng/ml(↑);D-二聚体0.8 μg/ml(↑)。诊断为急性非ST段抬高型心肌梗死,给予阿司匹林300 mg、替格瑞洛180 mg后收入院。
既往史
既往高血压病史6年,血压最高达150/110 mmHg,服用硝苯地平缓释片60 mg bid,血压可控制在130/100 mmHg左右;糖尿病病史1年,血糖最高20.08 mmol/L(空腹),行胰岛素治疗(重组人胰岛素注射液,20 U bid),空腹血糖控制在7.7 mmol/L左右。
个人史及家族史
吸烟史20余年,7~8支/日,无饮酒史。否认药物、食物过敏史。无猝死及早发心脑血管疾病家族史。
【体格检查】
P 110次/分,R 22次/分,BP 134/103 mmHg,体重80 kg,平卧位,口唇、颜面及四肢末梢略发绀。双肺呼吸音粗,双肺下野可闻及湿性啰音。心前区无隆起及凹陷,心界不大,心率110次/分,律齐,肺动脉第二心音亢进,各瓣膜听诊区未闻及病理性杂音,未闻及心包摩擦音。全腹无压痛、反跳痛及肌紧张,肝脾肋下未触及,双下肢无浮肿,双股动脉搏动好,无血管杂音,双足背动脉搏动正常,生理反射存在,病理发射未引出。
【诊疗经过】
入院后完善相关检查:(1)血气分析:pH 7.503(↑),二氧化碳分压 (PCO2)24.8 mmHg(↓),氧分压(PO2)67.7 mmHg(↓),氧饱和度(SO2)92.5%(↓),肺泡动脉氧分压差 [(PO2(A-a)]53.0 mmHg(↑);(2)D-二聚体(D-Dimer)0.9 mg/L(↑);(3)血浆纤维蛋白降解产物(FDP)20 mg/L(↑);(4)N端B型钠尿肽原(NT-proBNP)4175 pg/ml(↑);(5)糖化血红蛋白7.8%;(6)血常规、肝肾功能、甲状腺功能、血脂未见异常。
入院诊断:(1)冠状动脉粥样硬化性心脏病 急性非ST段抬高型心肌梗死;(2)高血压2级(极高危组);(3)肺栓塞不除外。
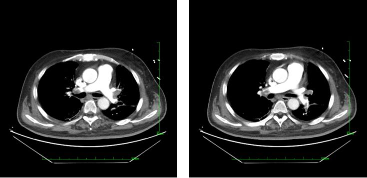
入院后,给予阿司匹林肠溶片100 mg po qd、替格瑞洛 90 mg po bid、瑞舒伐他汀钙片10 mg po qn、依诺肝素40 mg ih q12h、酒石酸美托洛尔25 mg po bid、硝苯地平缓释片30 mg qd。2014年11月4日行肺动脉CTPA示左、右肺动脉主干及其分支肺栓塞(图1)。超声心动图示右心增大,肺动脉频谱异常,注意肺栓塞。

图1.肺动脉CTPA示左、右肺动脉主干及其分支肺栓塞
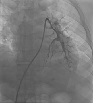
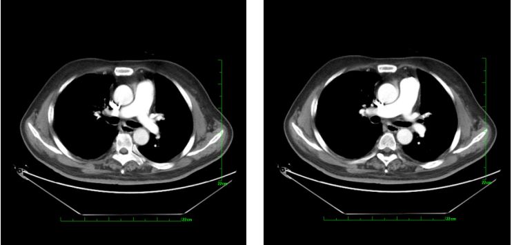
修正诊断:急性肺栓塞。给予阿替普酶50 mg静脉溶栓,之后依诺肝素80 mg ih q12h。复查血气分析:pH 7.5(↑),PCO225.2 mmHg(↓),PO264.9 mmHg(↓),SO294.5%(↓),PO2(A-a)50.0 mmHg(↑)。患者仍觉活动后胸闷,于2014年11月5日行肺动脉造影、肺动脉血栓导管碎解及血栓抽吸,术中测肺动脉压为60/27 mmHg,手推造影剂,可见肺动脉近段多处充盈缺损,先后送入7F长鞘,反复捣碎、抽吸,抽出大量新鲜血栓。再次造影后见肺动脉充盈缺损明显减轻(图2)(图3),测肺动脉压为47/8 mmHg。其后给予阿替普酶50 mg+生理盐水50 ml,2小时静脉泵入。泵入完毕后给予依诺肝素80 mg ih q12h,加用华法林抗凝。术后1周复查肺动脉CTPA示左、右肺动脉主干血栓消失,远端分支少许血栓(图4)。病情好转出院。

图2.左肺动脉造影见明显充盈缺损

图3.捣碎、抽吸后造影肺动脉显影

图4.术后1周复查肺动脉CTPA左、右肺动脉主干血栓消失,远端分支少许血栓
病例提供:沈阳军区总医院 陈火元 朱鲜阳
心在线 专业平台专家打造
编辑 刘倩┆美编 柴明霞┆制版 刘倩